
- Startseite >
- >
- Lernsituationen
Lernsituationen
Aus- & Fortbildung
Unsere Rubrik "Lernsituationen: Strukturierte Beschreibung & Maßnahmen" zeigt Fallbeispiele für Auffälligkeiten im Mundbereich sowie Lösungsvorschläge. Darunter finden Sie eine Auflistung verschiedener textbasierter Lernsituationen.
Lernsituationen: Strukturierte Beschreibung & Maßnahmen
Die folgende Anwendung zeigt sichtbare Auffälligkeiten und Handlungsanlässe. Betrachten Sie die einzelnen Lernsituationen, versuchen Sie diese einzuordnen und überlegen Sie sich, wie Sie im Ernstfall darauf reagieren würden bzw. sollten.
In der Lösung werden jeweils Beobachtungen, Diagnosen & Maßnahmen dargestellt und Verlinkungen zur Vertiefung der dargestellten Probleme runden das Angebot ab. Sie können die Anwendung mit dem folgenden Button starten.
1. Ausbildungsdrittel
Situation: Mensch mobil, kooperativ, selbst zur Mundhygiene fähig
Lernsituationen:
- Andauernde Schmerzen im Mund-Kiefer-Gesichts-Bereich werden geäußert oder fallen auf / Sichtbare Schwellung
- Aggressives Verhalten / Hand schlägt immer wieder gegen den Kiefer
- Ständiges Knirschen oder Grimassieren
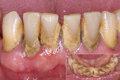
- Ungepflegte Zähne / ggf. Mundgeruch
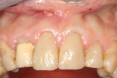
- Defekte oder braune, schwarze Stellen an den Zähnen, Kronen oder Brücken / Verweigerung von Essen wegen Heiß-/Kaltempfindlichkeit oder Empfindlichkeit süß-sauer / „Fährt rein!“
- Scharfe Kanten an den Zähnen / Verletzungen an Zunge oder Schleimhäuten fallen auf oder werden beklagt / Ständiges Spielen der Zunge an den Zähnen
- Ein abgebrochener Zahn oder eine Zahnlücke wird beklagt oder fällt auf / Ständiges Spielen der Zunge an den Zähnen
- Blut im Waschbecken nach der Zahnpflege oder beim Ausspülen
- Gerötetes oder "zurückgegangenes" Zahnfleisch / Essen hängt ständig zwischen den Zähnen
- Zahnfleisch sieht entzündet (gerötet) aus / ggf. fällt Mundgeruch auf
- Schlucken fällt schwer / Speisen sind nicht vollständig abgeschluckt / „Der Mund ist so trocken, ich kann gar nicht schlucken!“
- Borken im Mund fallen auf / Löffel klebt beim Essen eingeben an den Schleimhäuten
- Trockene Lippen / Risse, Verfärbungen an den Lippen / Rissige, entzündete Mundwinkel
- Bläschen an den Lippen / Risse oder Verfärbungen fallen auf
- Veränderungen, Verfärbungen der Zunge fallen auf / Zunge sieht ungepflegt aus / ggf. fällt Mundgeruch auf
- „Ich habe mir auf die Zunge gebissen!“
- „Das brennt im Mund!“ / „Im Mund fühlt es sich komisch an!“ / „Schlucken tut weh!“ /
- Veränderungen an Schleimhäuten,
- Weichteile insgesamt oder Knochen fallen auf
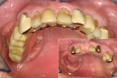
- Es fällt auf, dass ein oder mehrere Zähne stark wackeln oder eine Brücke lose ist
- Eine Krone oder Brücke ist aus dem Mund gefallen
- Prothesen werden nicht mehr getragen
- Prothese wird nicht regelmäßig herausgenommen
- Prothesen und Schleimhäute zeigen weißliche Beläge bzw. Haftcreme-Reste
- Prothesen lösen sich immer wieder unkontrolliert beim Sprechen, häufiger fallen die Prothesen einfach aus dem Mund / Sprache ist undeutlich und Person spricht auffällig wenig
- Essen wird verweigert / Teilprothesen bzw. Totalprothesen vorhanden
- Feste, harte Kost wird verweigert / Gesicht bei fester Nahrung häufiger schmerzverzerrt
- Zahnbürste fehlt, Borsten sind weit gefächert und abgenutzt!
- Zahnpasta lässt sich nicht mehr auspressen / Zahnpasta abgelaufen oder ausgetrocknet
- Nach der Mundpflege sind die Wangen gerötet
- Reinigungstabletten für Prothesen sind sehr schnell wieder leer
- Haftcreme ist sehr schnell wieder leer
- Nur Außenflächen der Zähne werden geputzt
- Zahnzwischenraumbürstchen wird nur wischend eingesetzt
- Elektrische Zahnbürste funktioniert nicht mehr / Zahnbürste laden hilft nicht
2. Ausbildungsdrittel
Lernsituationen wie im 1. Ausbildungsdrittel
Situation: Mensch nur bedingt mobil, bedingt kooperativ oder bedingt selbst zur Mundhygiene fähig
- Geht an Stöcken bzw. mit Rollator
- Sitzt im Rollstuhl
- Hat leichte kognitive Einschränkungen bzw. reagiert etwas verzögert
Alternativ: Kind
- Mit herausnehmbarer Zahnspange oder festsitzender kieferorthopädischer Multiband-Apparatur
- Mit ausgeschlagenem Frontzahn
- Mit Verletzung der Lippe oder anderer Weichteile im Mundbereich
- Mit schwerer Kopfverletzung
3. Ausbildungsdrittel
Lernsituationen wie im 1. Ausbildungsdrittel
Situation: Mensch nicht mobil, kooperativ oder selbst zur Mundhygiene fähig
- Im Pflegerollstuhl
- Dauerhaft im Bett: Kann sitzen, auf der Seite oder nur auf dem Rücken liegen
- Unkooperativ bzw. abwehrend
Alternativ: Kleinkind
- Mit lockerem Milchzahn
- Mit ausgeschlagenem Frontzahn
- Mit Verletzung der Lippe oder anderer Weichteile im Mundbereich
- Mit schwerer Kopfverletzung
Diese Seite wurde zuletzt am 23.02.2026 geändert.