
- Startseite >
- >
- Auffälligkeiten im Mund >
- Gaumen, Wange & Zunge >
- Fleck & Belag: nicht abwischbar
Fleck & Belag: nicht abwischbar
Gaumen, Wange & Zunge
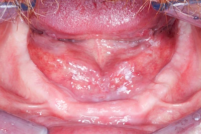
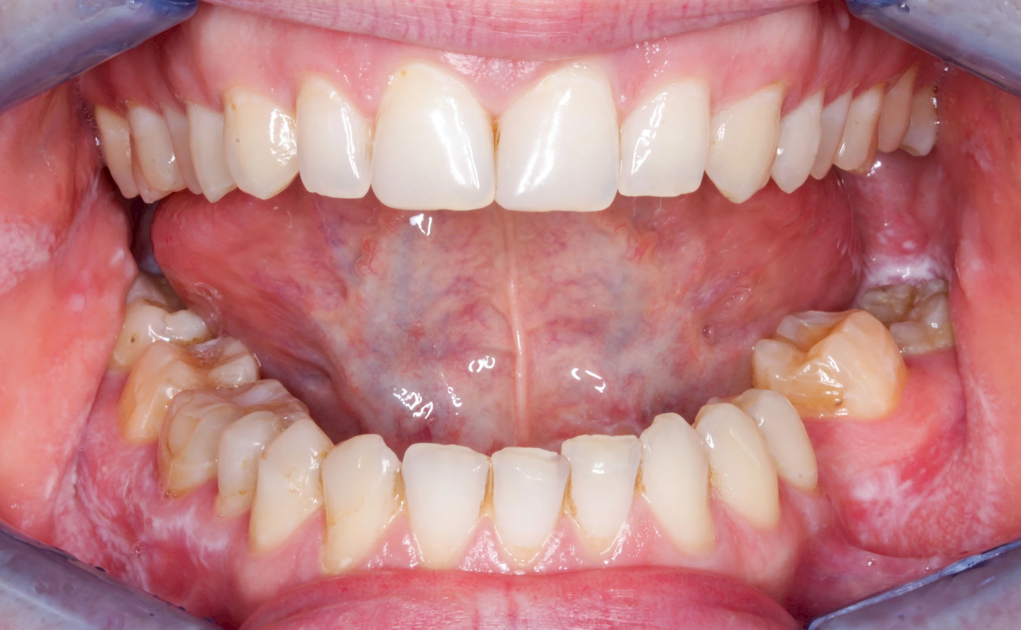
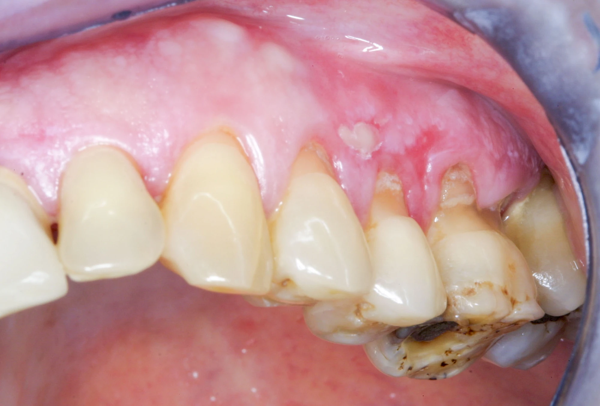
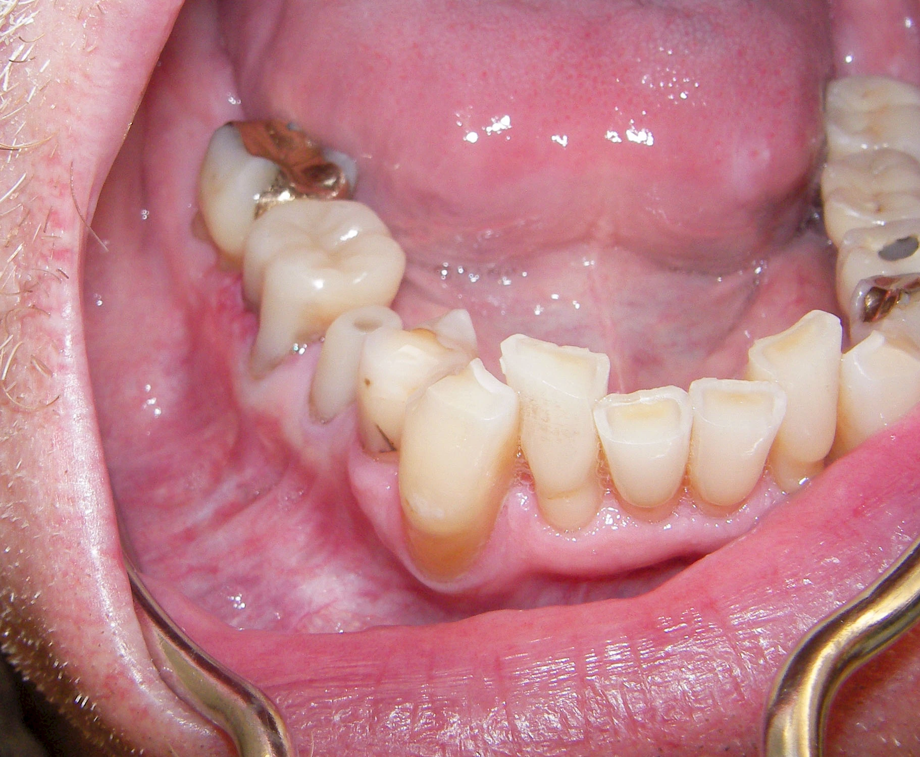
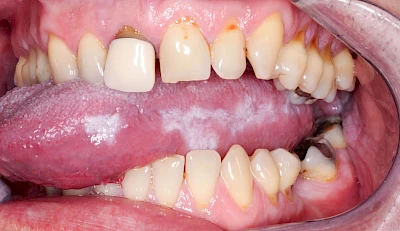
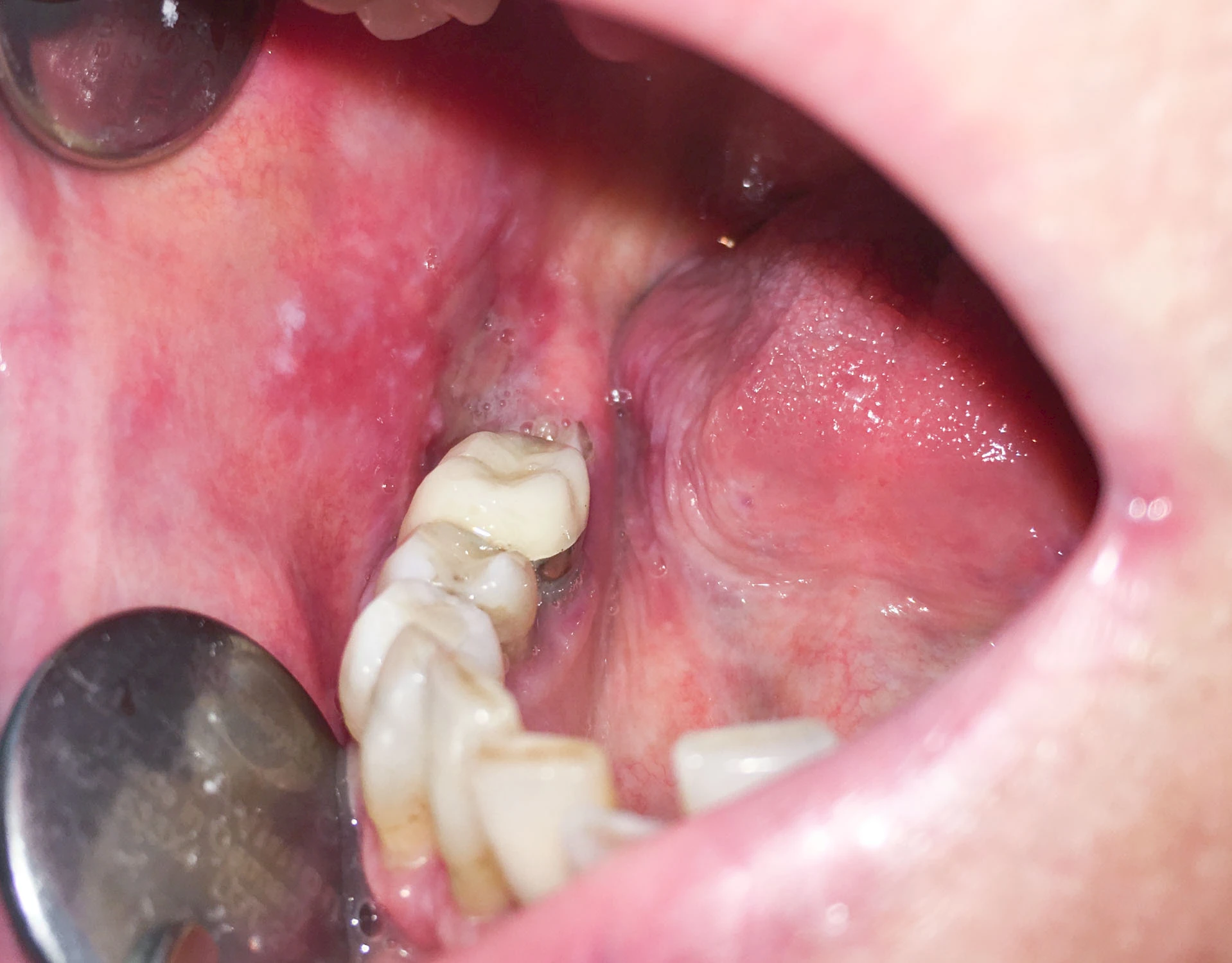
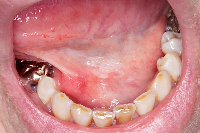
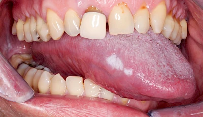
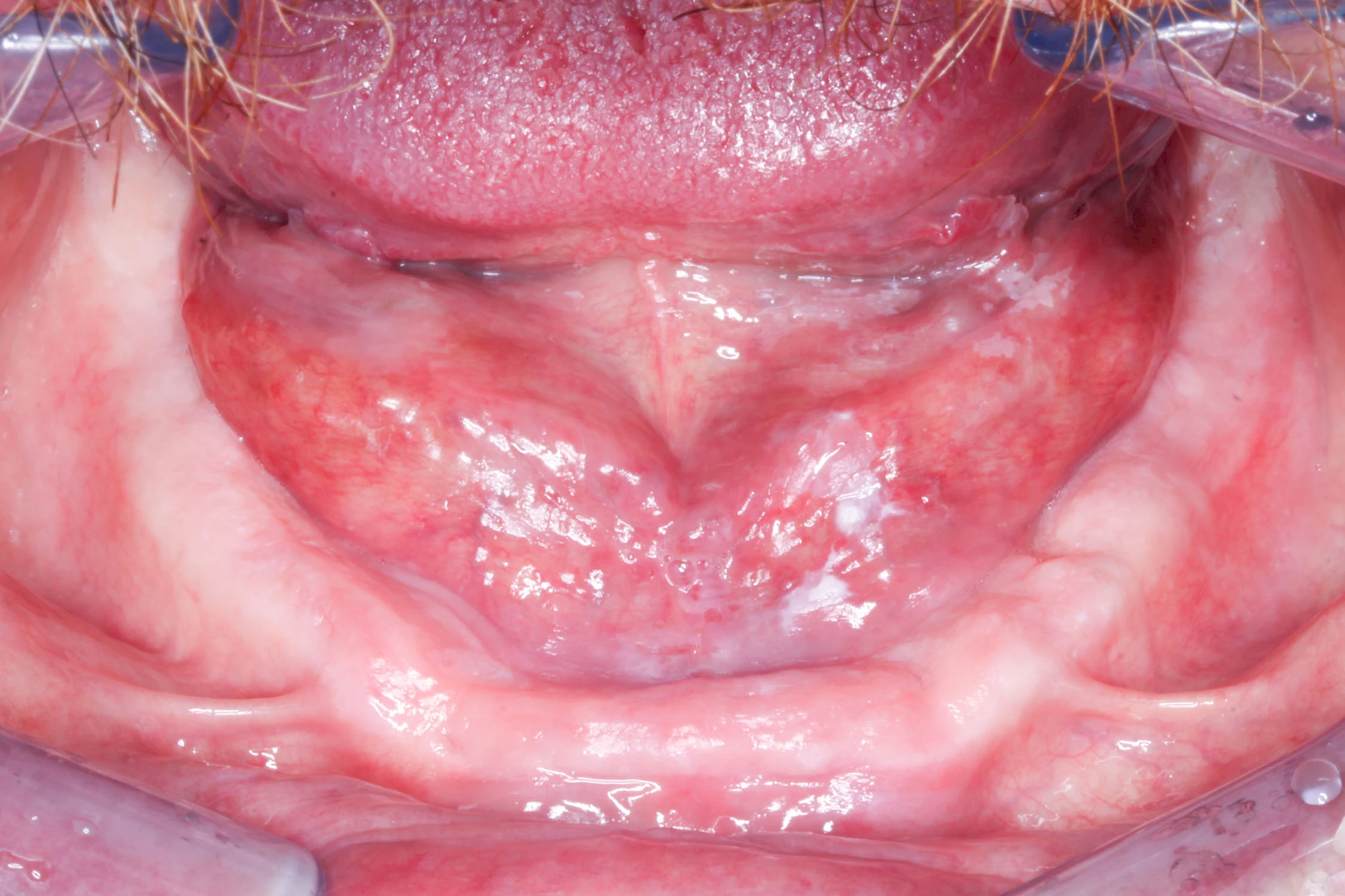
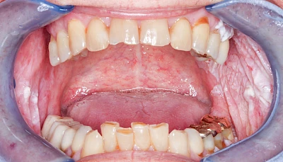
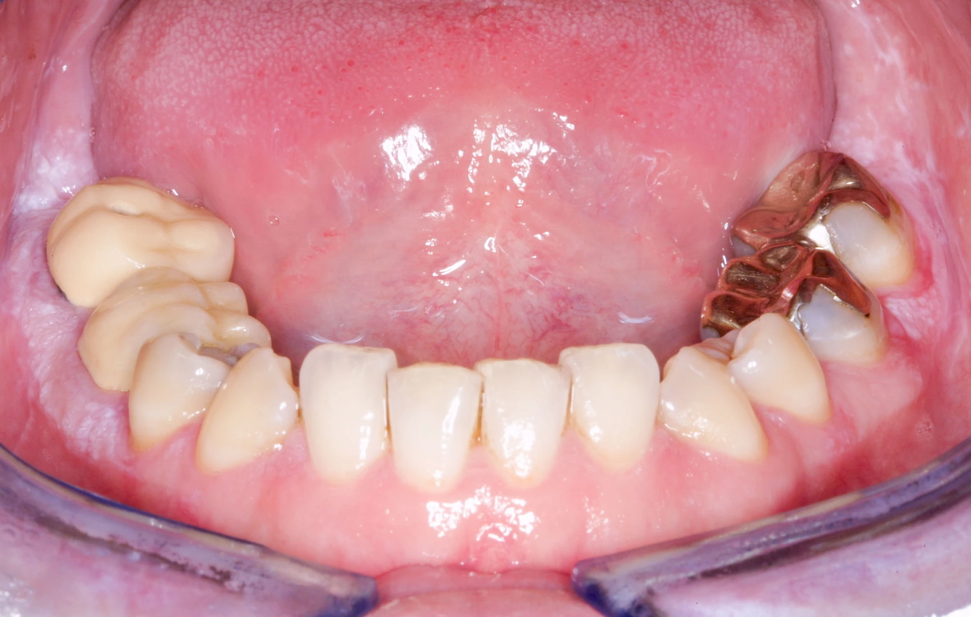
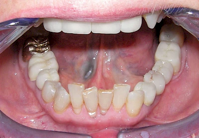
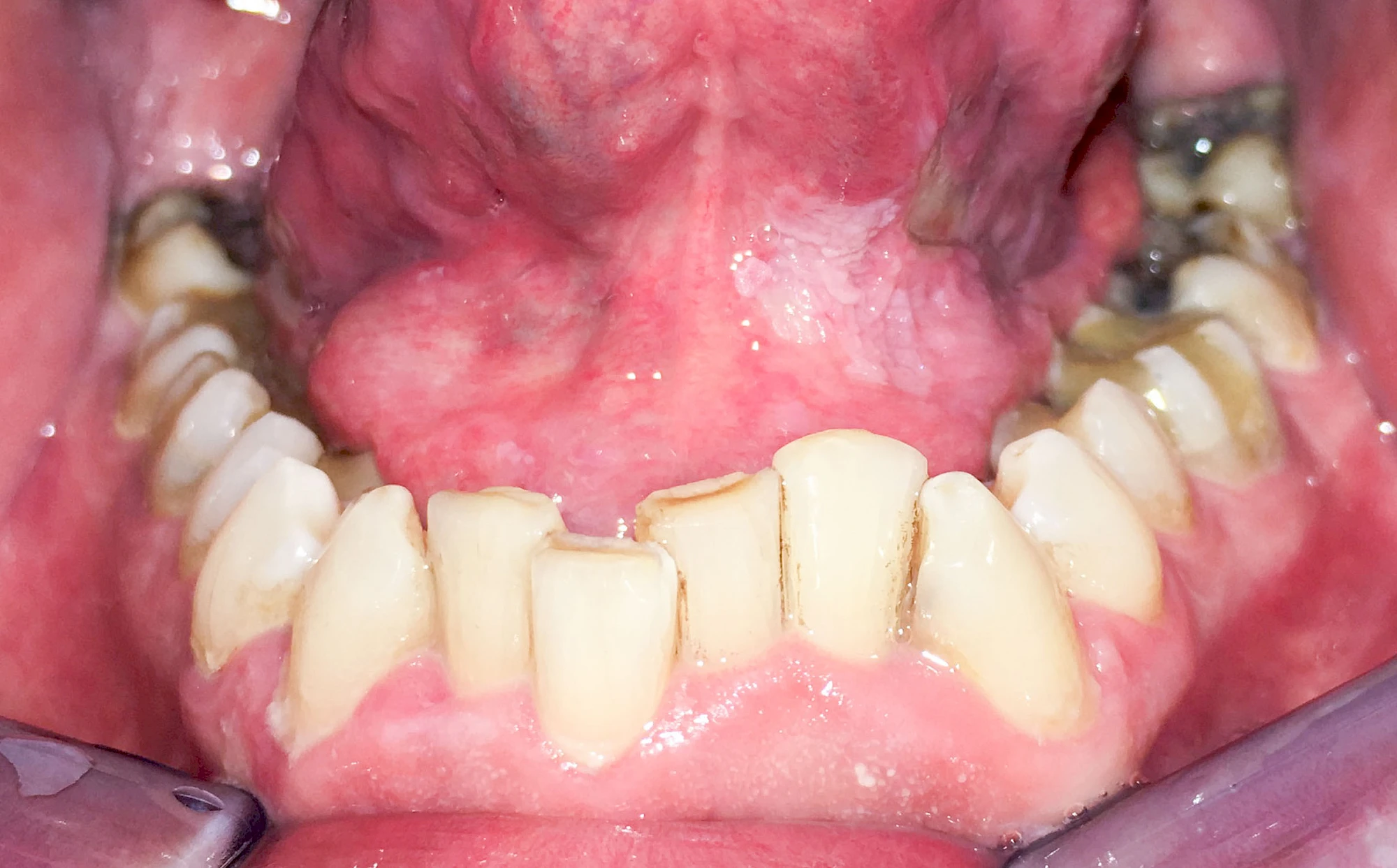
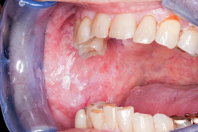
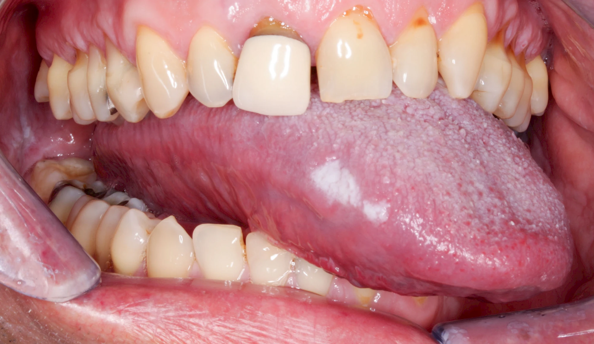
Schleimhäute können nicht-abwischbare Flecken, Beläger oder Verfärbungen zeigen – mal weißlich, mal rötlich, mal bräunlich-schwarz, mal kombiniert. Die Oberfläche der Schleimhaut kann dabei glatt oder rauh, erhaben oder insgesamt "unruhig" erscheinen.
Können die Veränderungen einer gesteigerten mechanischen Belastung z. B. beim Kauen auf Zunge, Wangen oder Lippen zugeordnet werden, sollte darauf hingewiesen und geachtet werden, diese Belastungen zu reduzieren. Teilweise können Rauchen, Kautabak, Alkohol, … eine Rolle spielen.
Es gibt aber auch Fälle, wo eine klare Zuordnung bzw. Ursache nicht besteht.
In jedem Fall sollten die Pflege angepasst (intensiviert), die Veränderungen aufmerksam beobachtet und zeitnah der Zahnarzt kontaktiert werden. Zahnärzte können heute mittels einfacher Bürstenbiopsie ohne chirurgischen Eingriff, also ohne Spritzen und Schneiden, zu Lasten der Krankenkassen bzw. Krankenversicherungen einmal jährlich im Sinne eines Screenings Proben entnehmen.
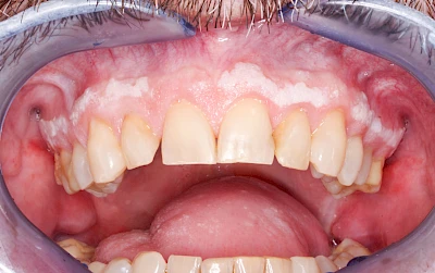
Leukoplakie, Erythroplakie
Die Auffälligkeiten sind zurückzuführen auf gestörte bzw. überschießende, z. T. entzündliche Stoffwechselvorgänge im Bereich der Schleimhäute.
Bei der sogenannten Leukoplakie handelt es sich um eine Hyperkeratose (Hornhautbildung), die auch entarten kann (fakultative Präkanzerose).
Nach dem Erscheinungsbild werden verschiede Typen unterschieden:
- Plan (Leukoplakia simplex bzw. plana): homogen-weiß, meist klar begrenzt, Oberfläche glatt. Entartungsrisiko 0–3 %
- Warzenartig (Leukoplakia verrucosa): homogen-weiß, meist klar begrenzt, Oberfläche warzig. Entartungsrisiko 11–20 %
- Erosiv (Leukoplakia erosiva): inhomogen weiß mit roten Anteilen. Entartungsrisiko ca. 30–38 %
Demgegenüber hat die Erythroplakie als homogen-rötliche Erscheinung (häufig mit einem weißlichen Anteil im Randbereich) ein deutlich erhöhtes Entartungsrisiko, weshalb man hier auch von einer obligaten Präkanzerose beziehungsweise einem Carcinoma In Situ (CIS) mit invasivem Wachstum ausgeht – vor allem, wenn die Veränderung am Mundboden, am Zungenrand oder an der Zungenunterseite lokalisiert ist.
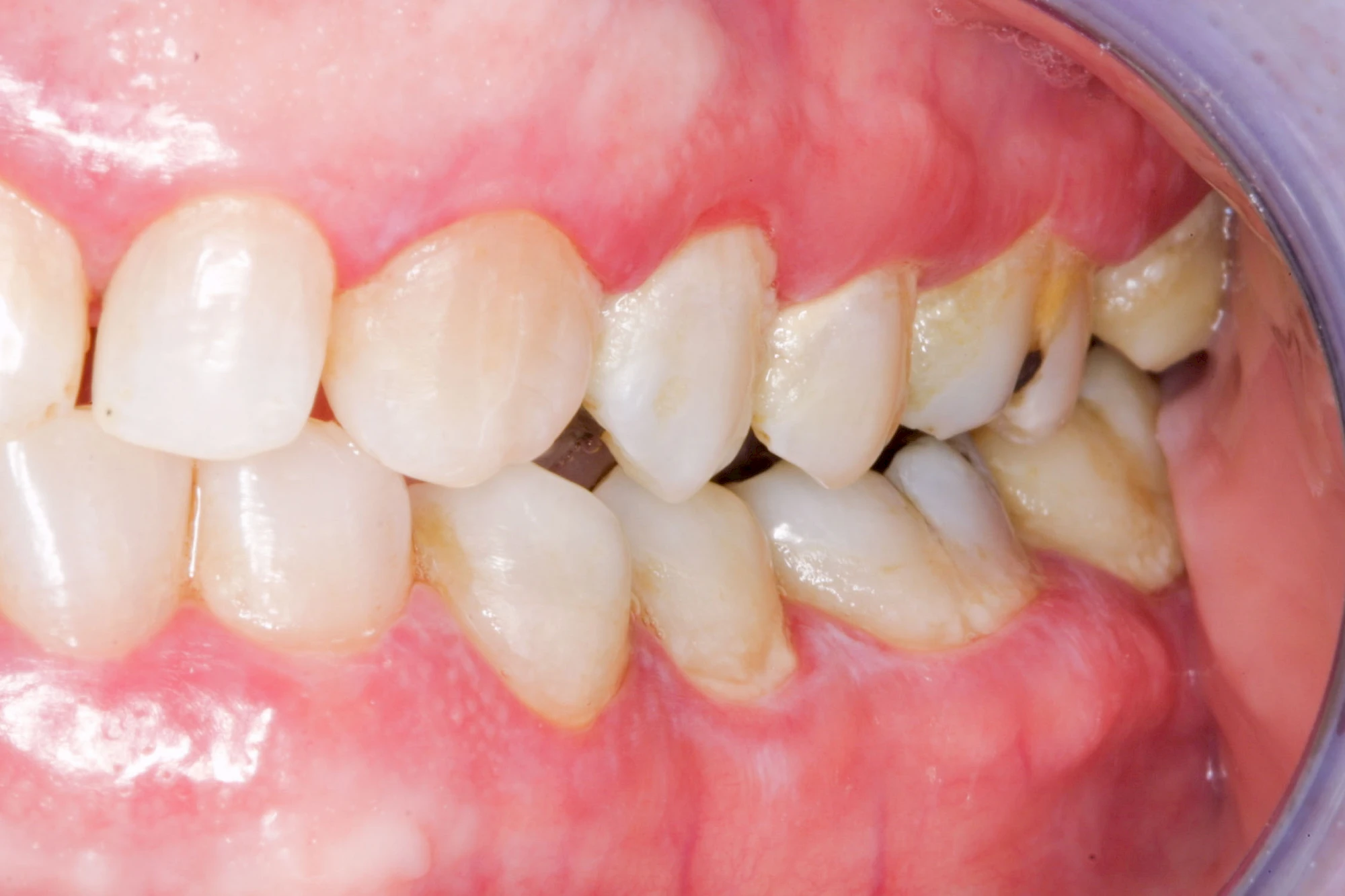
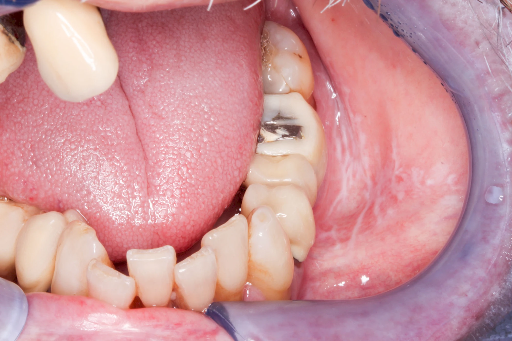
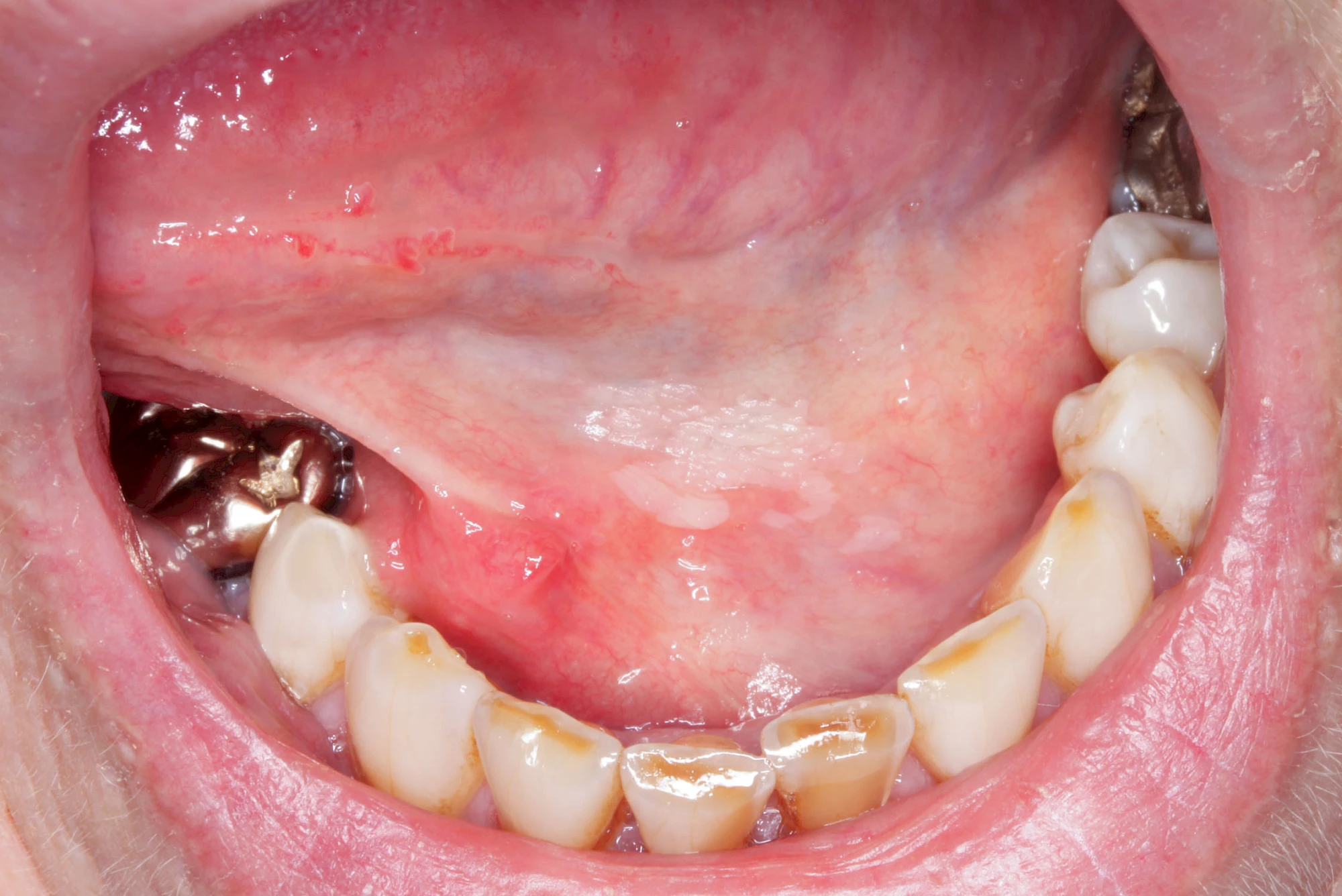
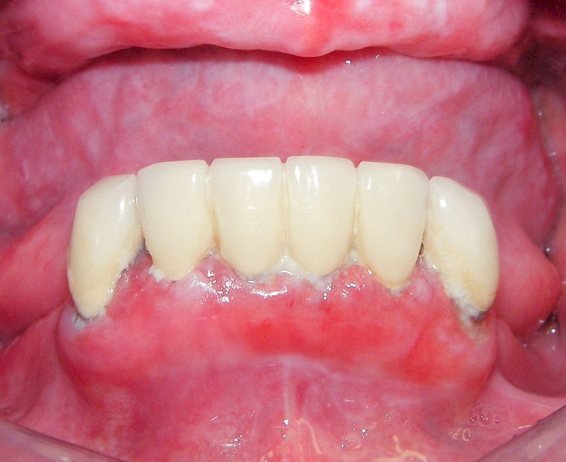
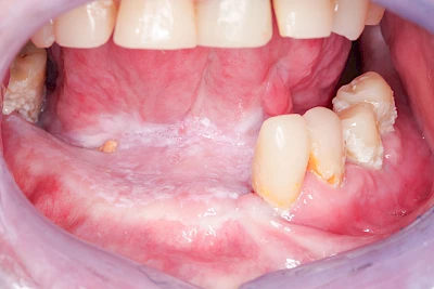
Neben mechanischen Reizen zählen auch Rauchen und Alkoholkonsum zu den möglichen Ursachen. Manchmal sind diese Veränderungen, etwa wenn die Auffälligkeit im Bereich der Wange oder auch der Zunge auf Höhe der Zahnreihe im Zubiss (Okklusionsebene) zu liegen kommt, auch auf Wangen- bzw. Zungenkauen als Ursache zurückzuführen. Die beobachtbaren Veränderungen reichen hier von diskreten homogen-weißlichen Strichen (Linea alba) bis hin zu erosiv "unruhigen" Schleimhautarealen. Je nachdem, wie intensiv und wie ausdauernd und mit welcher Kraft diese Habits ausgeführt werden. Auch hier sollte auf eine Verhaltensänderung hingewirkt und ein Zahnarzt verständigt werden.
Hinsichtlich der Pflege sollte auf eventuell bestehende gesteigerte Empfindlichkeiten in den betroffenen Schleimhautbereichen Rücksicht genommen werden. Auf diese Ursachen sollte hingewiesen werden und die Veränderung aufmerksam beobachtet werden.
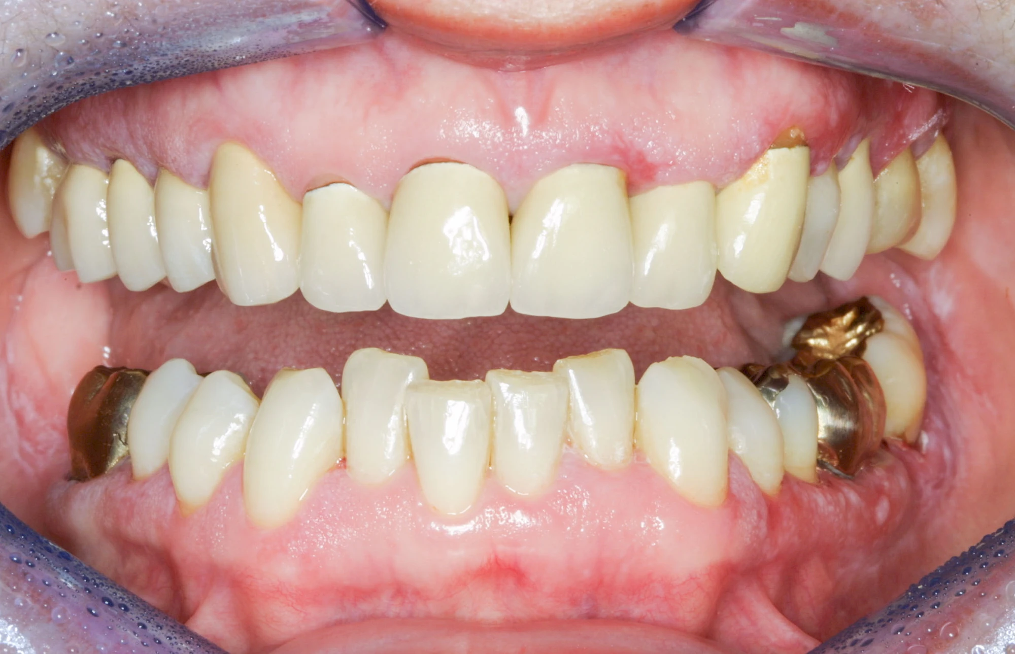
Lichen
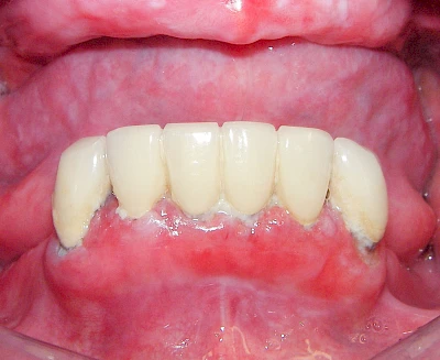
Oraler lichen mucosae ist eine chronische, nicht-ansteckende Entzündung der Schleimhaut, wahrscheinlich autoimmun bedingt. Sie kann Wochen bis Jahre bestehen und sich spontan zurückbilden. Es werden zwei Formen unterschieden:
- Retikulär (netzförmig: Lichen planus) mit weißlichen Epithelveränderungen (Wickhamsche Streifen). Entartungsrisiko: 0,4–2,5 %
- Erosiv-atrophisch (ausgewaschen-verkümmert: Lichen erosivus) mit weißlichen, rötlichen, teilweise pseudomembranösen Schleimhauterosionen. Schmerzhaft, leicht blutend, Entartungsrisiko im Vergleich zu Lichen planus deutlich erhöht
Neben einer gesunden Ernährung (Vitamine, Mineralien) sollte vor allem bei der erosiven Form auf scharfe Gewürze, Fruchtsäuren sowie Alkohol oder Tabak verzichtet werden, um die Schleimhaut nicht zusätzlich zu reizen.
Außer der chirurgischen Entfernung (Exzision) oder Laserung kommen im Vorfeld häufig Glukokortikoide (z. B. Cortison) zum Einsatz: Entweder lokal als Salben bzw. Spüllösungen oder intravenös als Cortison-Stoßtherapie.
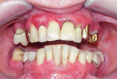
Orale lichenoide Läsionen (OLL) sind häufig im Nahbereich von Amalgamfüllungen oder von metallischem Zahnersatz zu beobachten. In diesen Fällen sollte ein Zahnarzt hinzugezogen werden, wobei der Austausch der Restauration sehr kritisch abzuwägen ist.
Im Alter ist die Haut und manchmal auch die Mundschleimhaut sowie das Zahnfleisch z. B. aufgrund dauerhafter Medikamenteneinnahme (z. B. Cortison) ausgedünnt. Diese sogenannte Pergamenthaut ist sehr verletzlich, kann schnell bluten und die Empfindlichkeit ist insgesamt erhöht. Hier sollten milde Zahnpflegemittel (weiche Zahnbürste – Zahnpasta ohne Minzgeschmack und mit milden Schaumbildnern, z. B. Betainen) gewählt und bei der Unterstützung der Putzdruck gering gehalten werden.
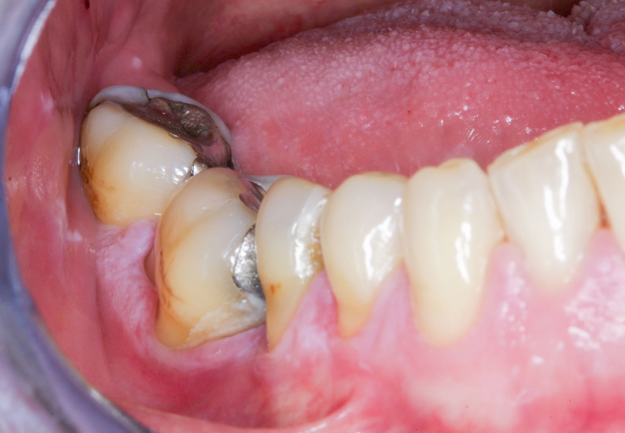
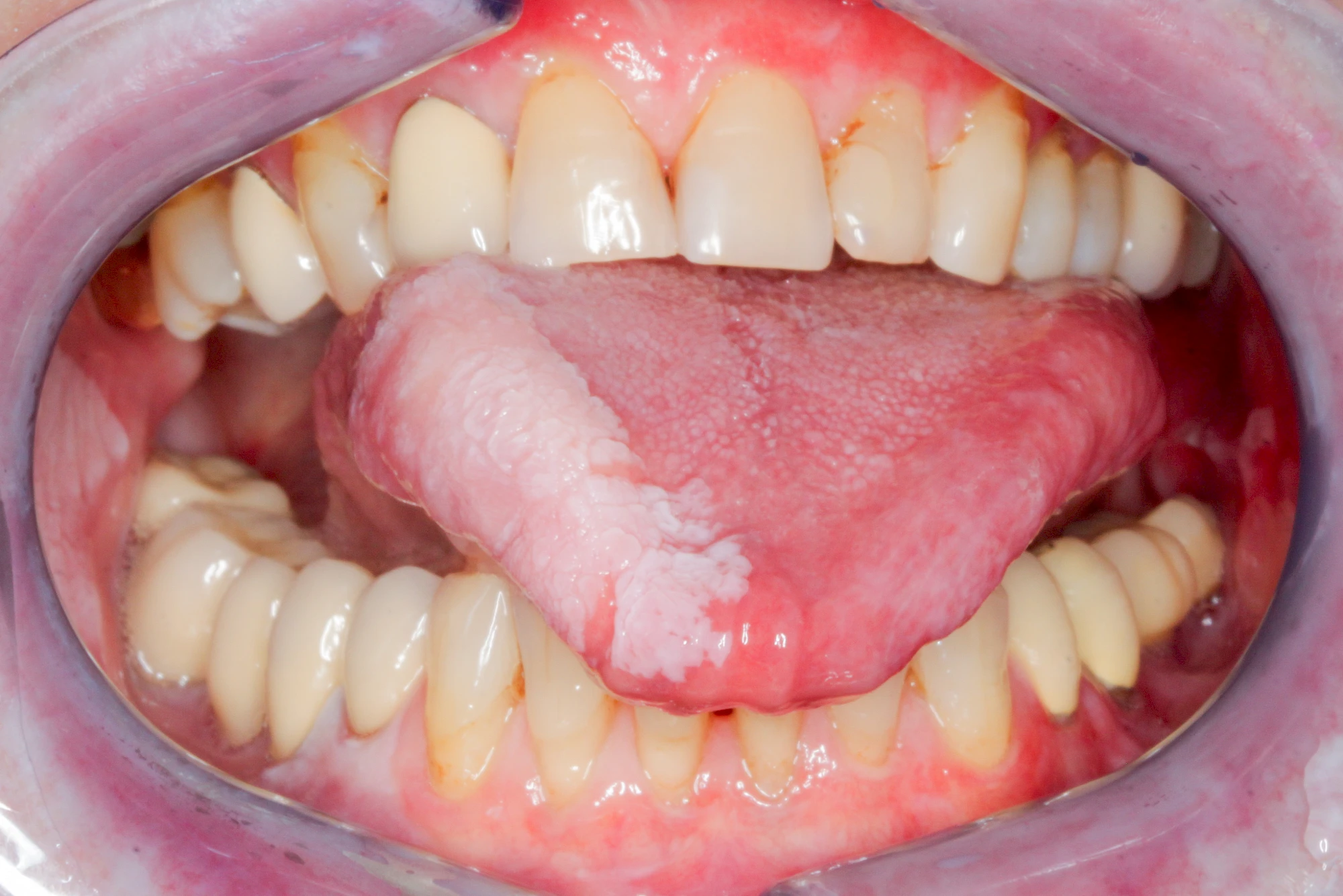
Pilzerkrankung
Zudem gibt es Stadien der Pilzerkrankungen, bei denen sich der Pilz nicht gleich abwischen lässt, weil der Pilz in tiefere Schleimhautschichten eingedrungen ist. An der Zunge fällt zusätzlich auf, dass in diesen Fällen nicht nur die Zungenoberseite, sondern der gesamte Zungenkörper – mindestens jedoch auch die Zungenränder – betroffen sind.
Bilden sich die Beläge auch nach zwei Wochen intensivierter Schleimhautpflege nicht zurück, können zusätzlich Antimykotika (Mittel gegen Pilzbefall) bzw. eine weitere Abklärung zusammen mit dem Zahnarzt oder Hausarzt hilfreich sein.
Nicht abwischbare Beläge an der Zunge können aber auch auf andere Besonderheiten der Zunge zurückzuführen sein.
Pigmentstörung
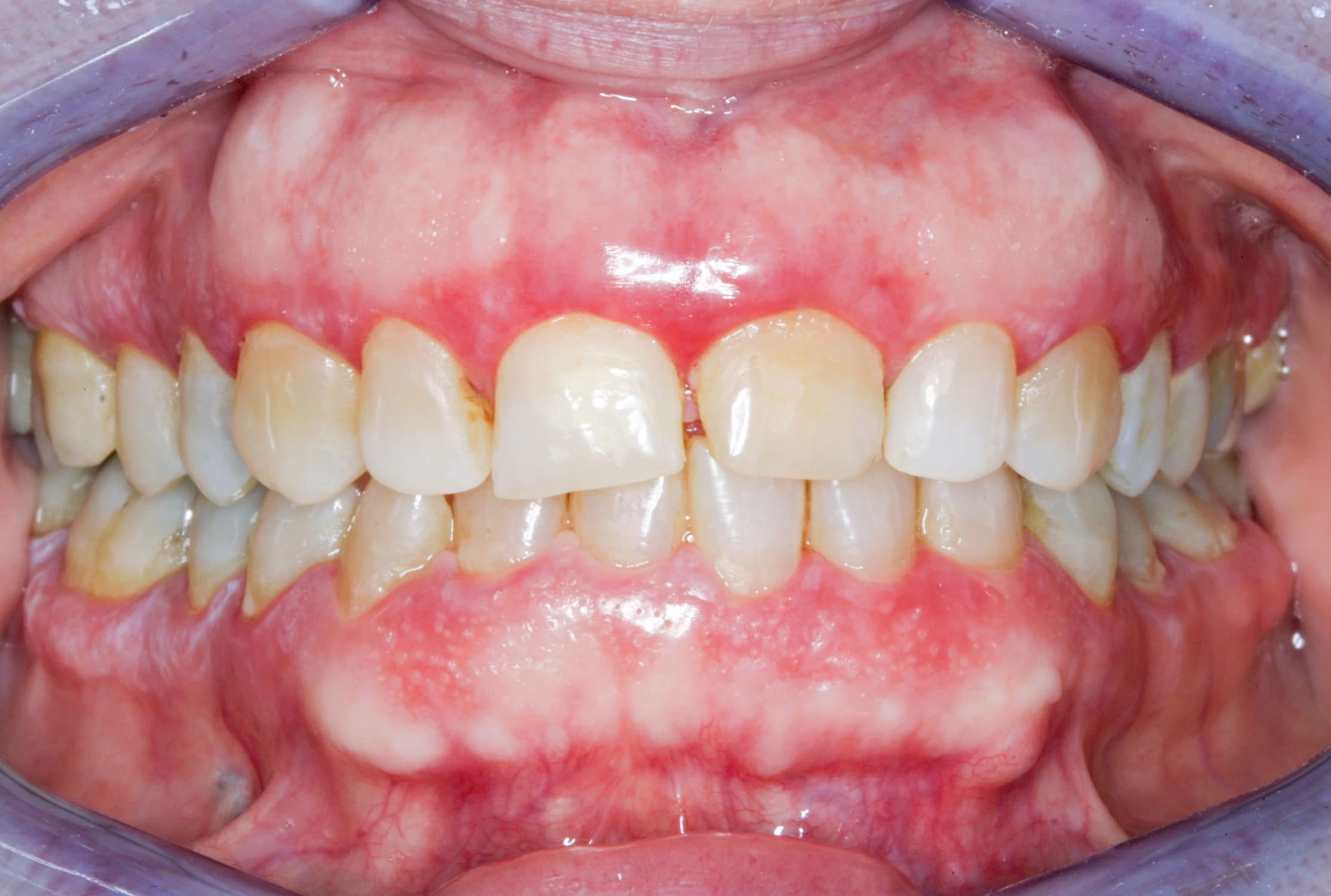
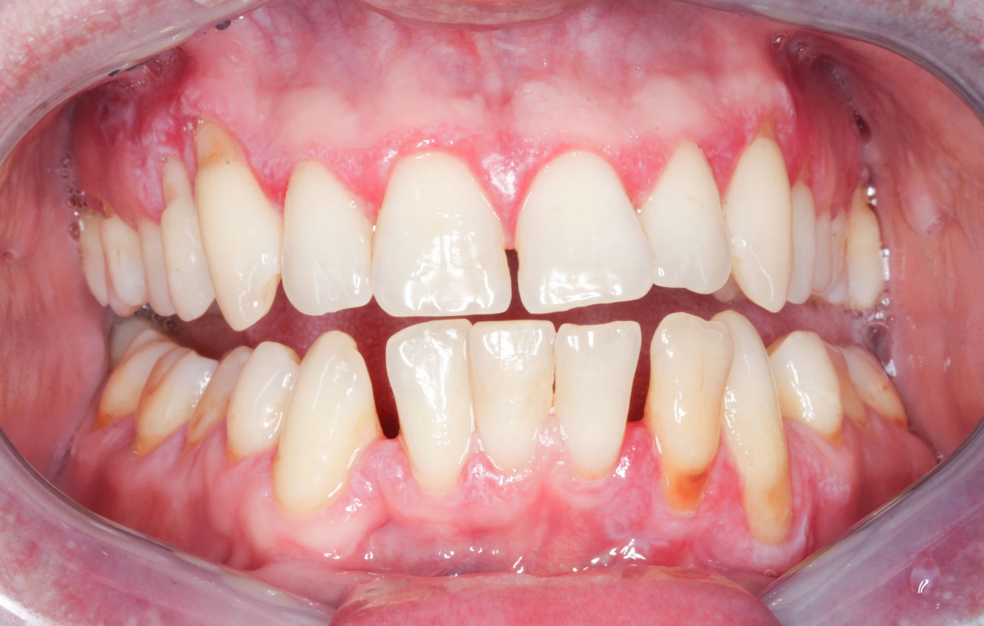
Die Haut schützt sich gegen die UV-Strahlung der Sonne durch den Farbstoff Melanin. Dieses Pigment wird von den sogenannten (Melanozyten) in der oberen Hautschicht produziert. Pigmentstörungen können als Muttermal, Altersflecken aber auch als weiße Flecken auffallen.
Im Bereich der Schleimhaut kann es ebenfalls zu Pigmentbildungen kommen. Die Flecken sollten vor allem dann ärztlich untersucht werden, wenn sich diese Flecken spontan gebildet haben oder in Form, Farbe und Größe verändern. Es gibt auch allgemeine Erkrankungen, die ein gehäufte Anzahl von Pigmentflecken auf den Schleimhäuten zeigen.
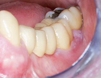
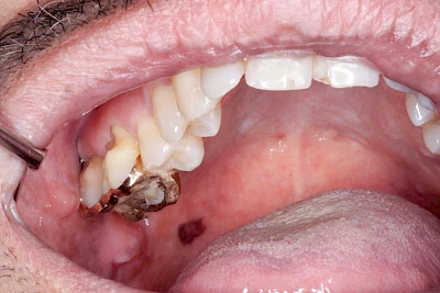
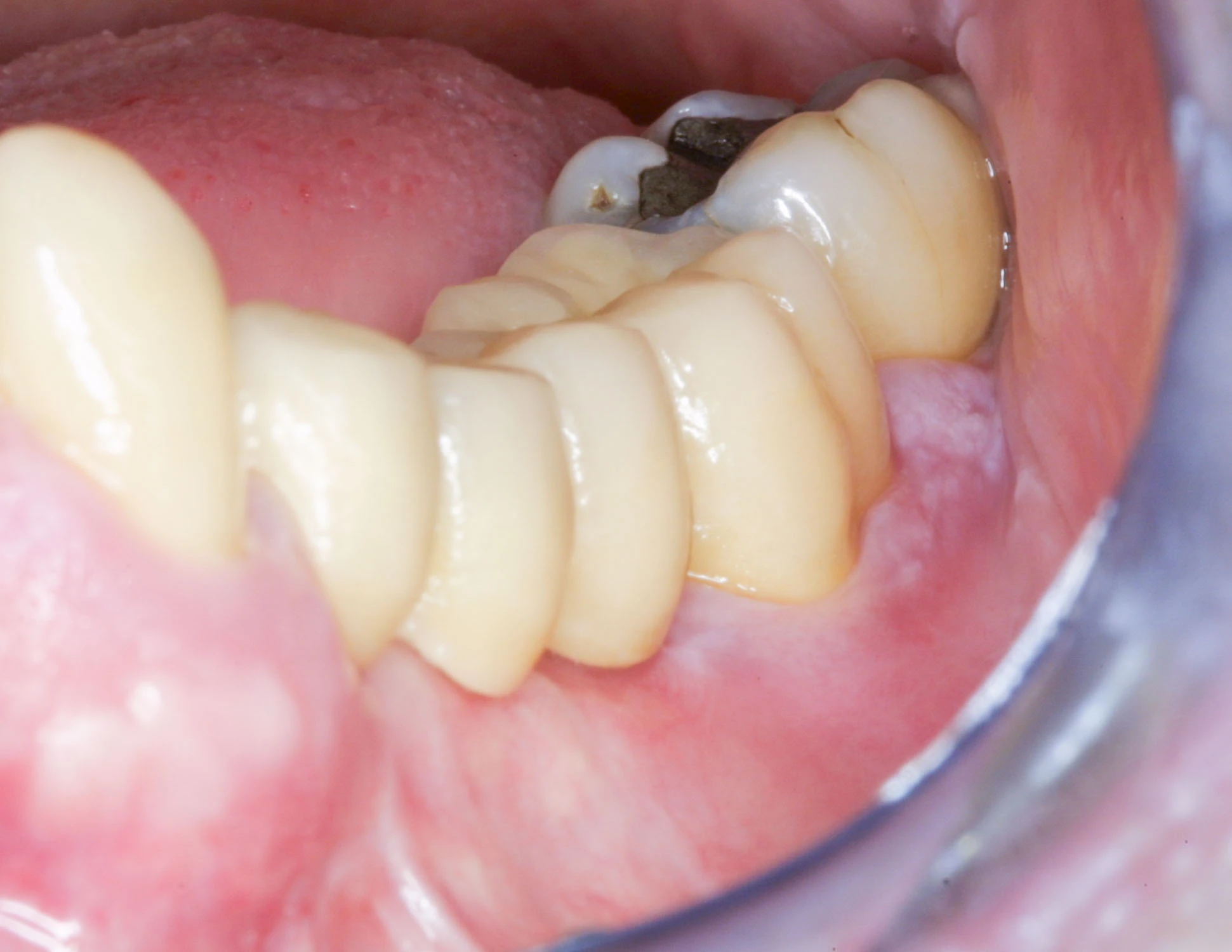
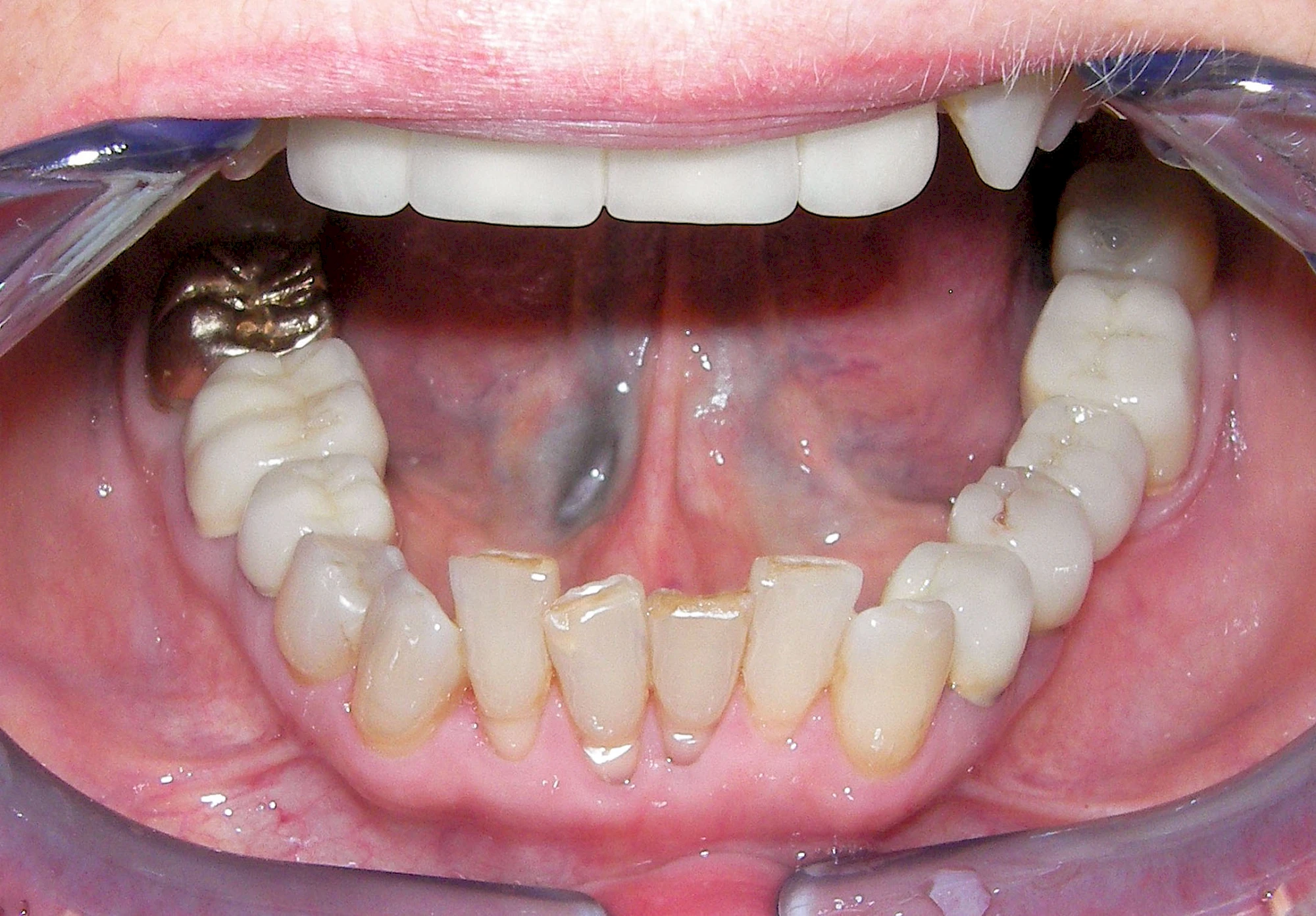
Metalltätowierung
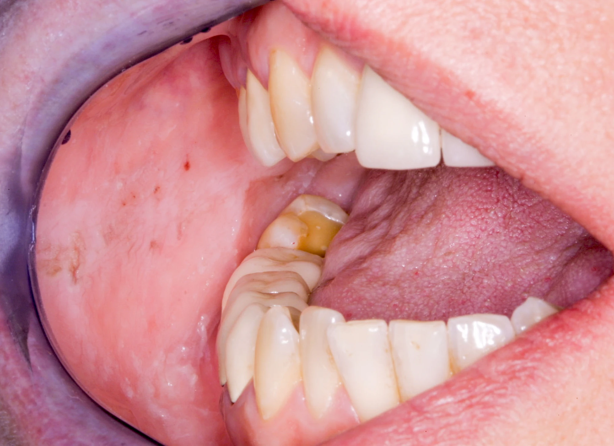
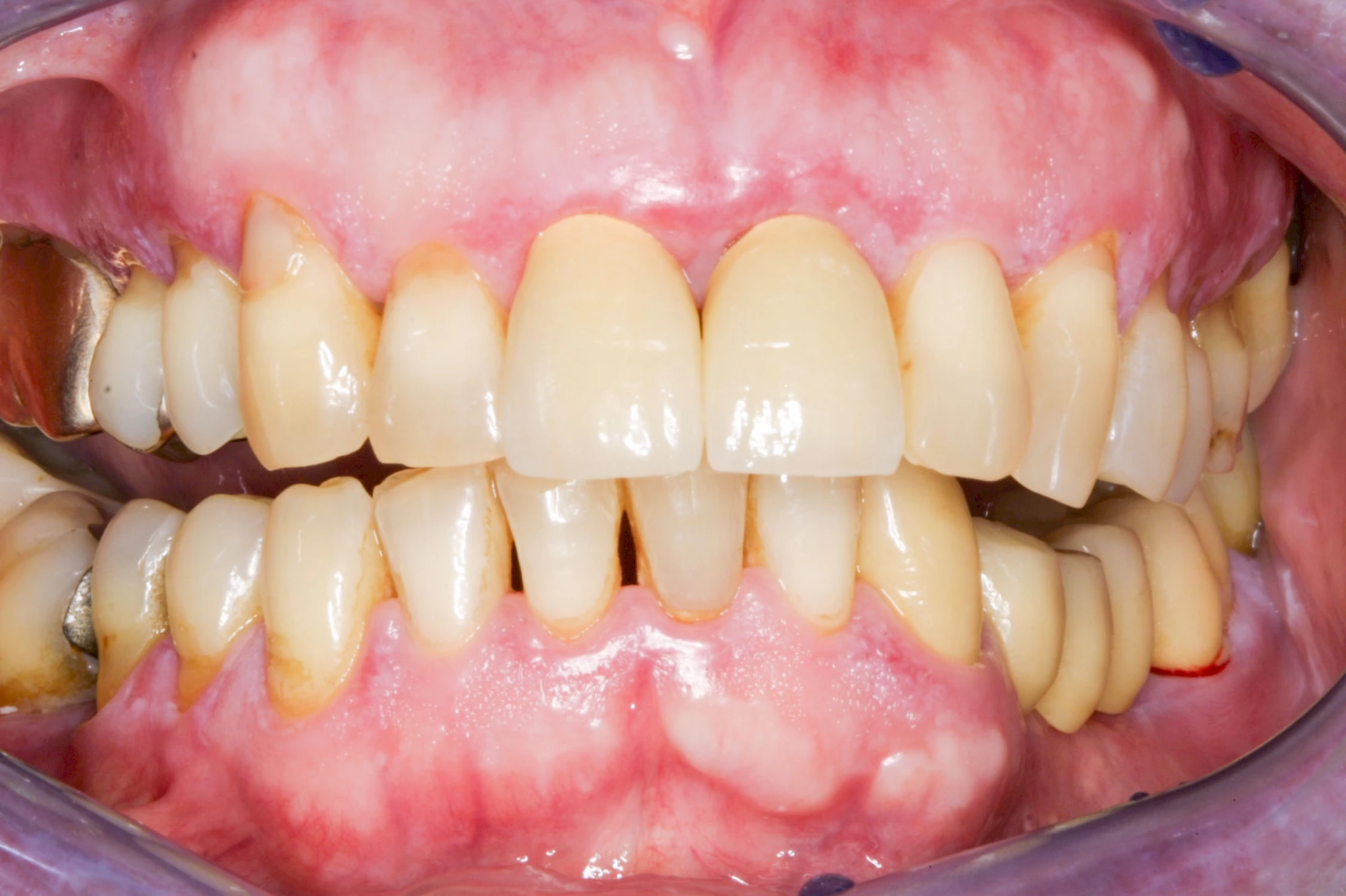
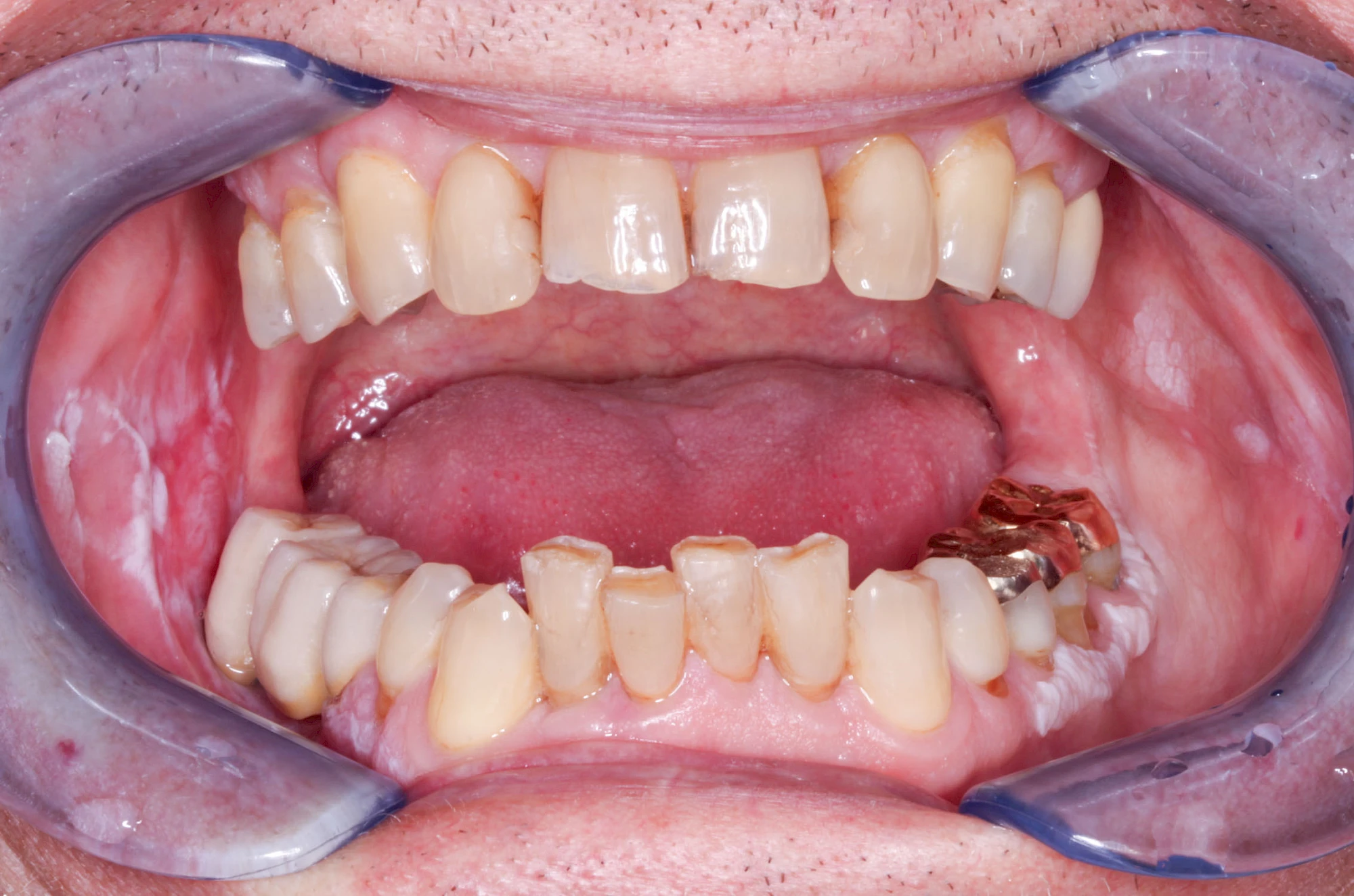
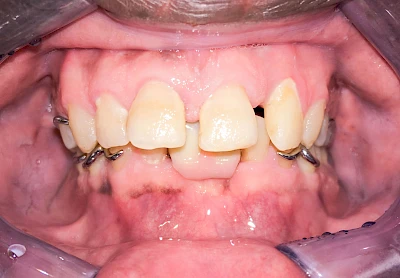
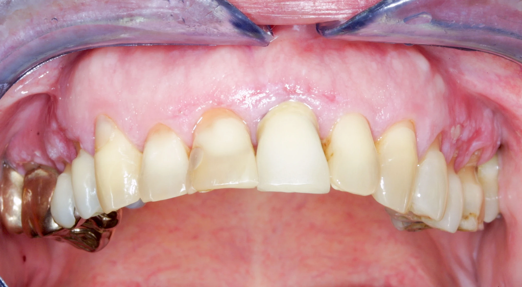
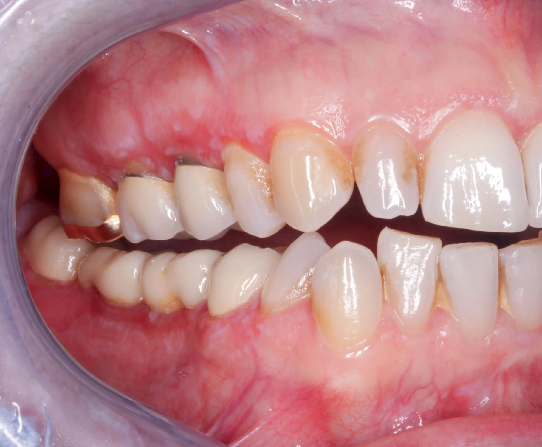
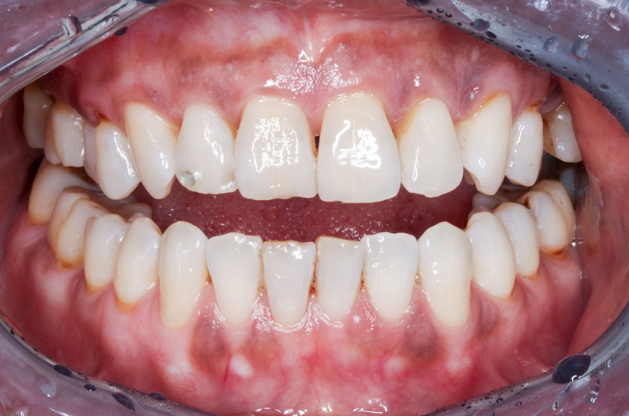
Häufig zu beobachten sind einzelne dunkle Flecken im Nahbereich der Zähne. Häufig handelt es sich dabei um Amalgam- oder Metall-Tätowierungen. Bei zahnärztlichen Behandlungen kann es zur "Versprengung" von Metall-Anteilen von Füllungen oder Kronen kommen. Diese lagern sich dann reizlos in die Schleimhaut ein.
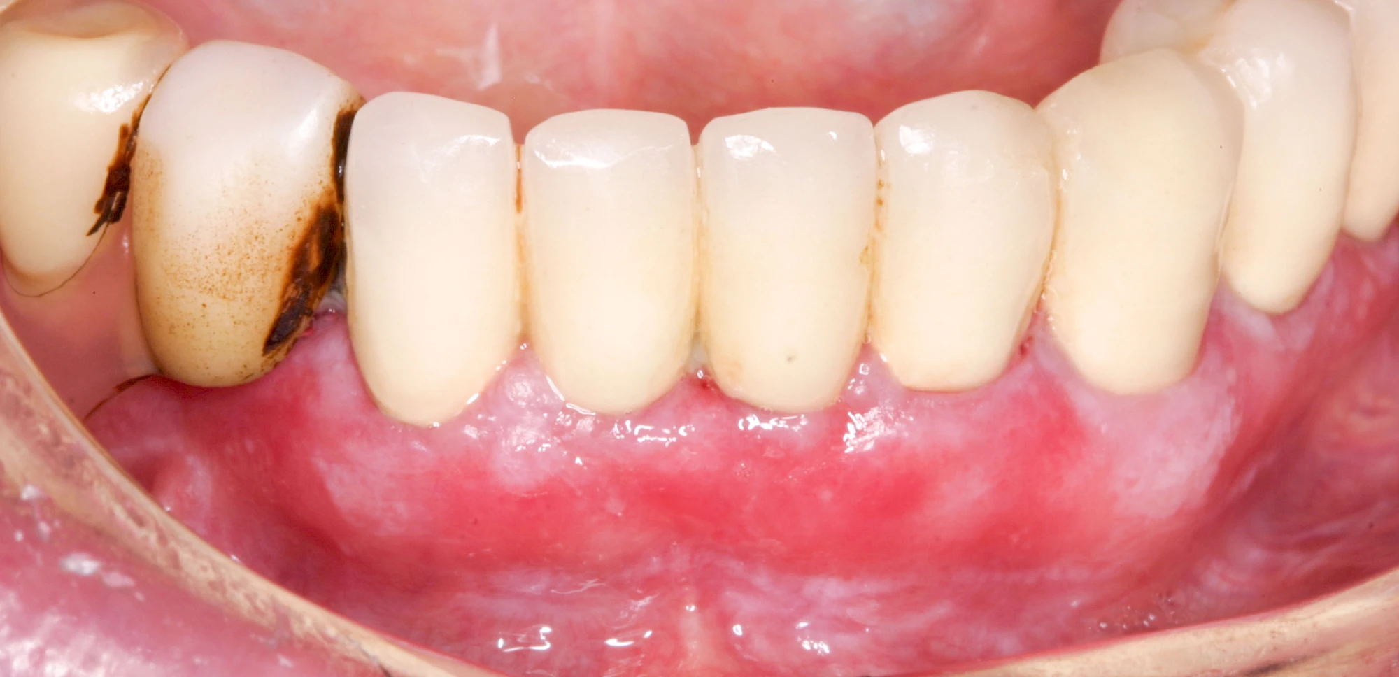
Chlorhexidin-Verfärbung
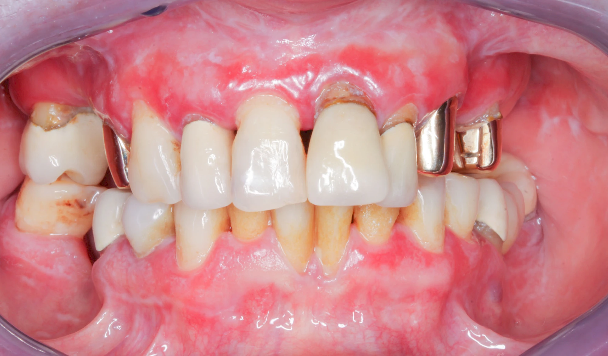
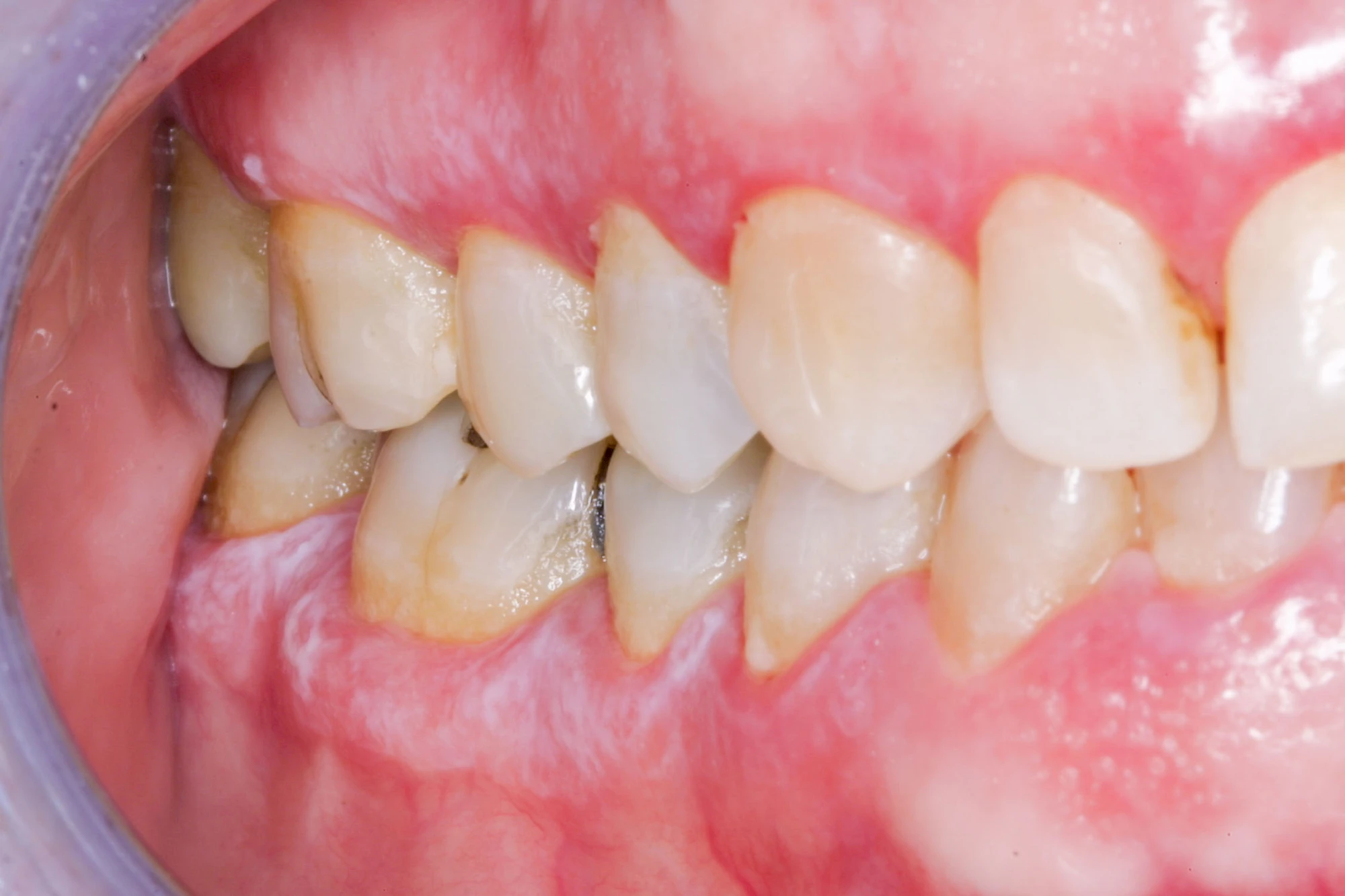
Chlorhexidin (CHX) wird zur Desinfektion der Mundhöhle eingesetzt. CHX haftet gut an die Oberflächen in der Mundhöhle (Zähne und Schleimhäute). Zudem geht CHX Verbindungen zu Farbstoffen aus Rotwein, Tee, Kaffee, Tabak und anderen Nahrungs-und Genussmitteln ein.
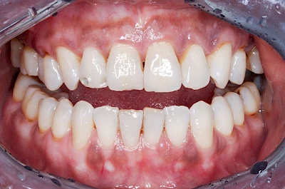
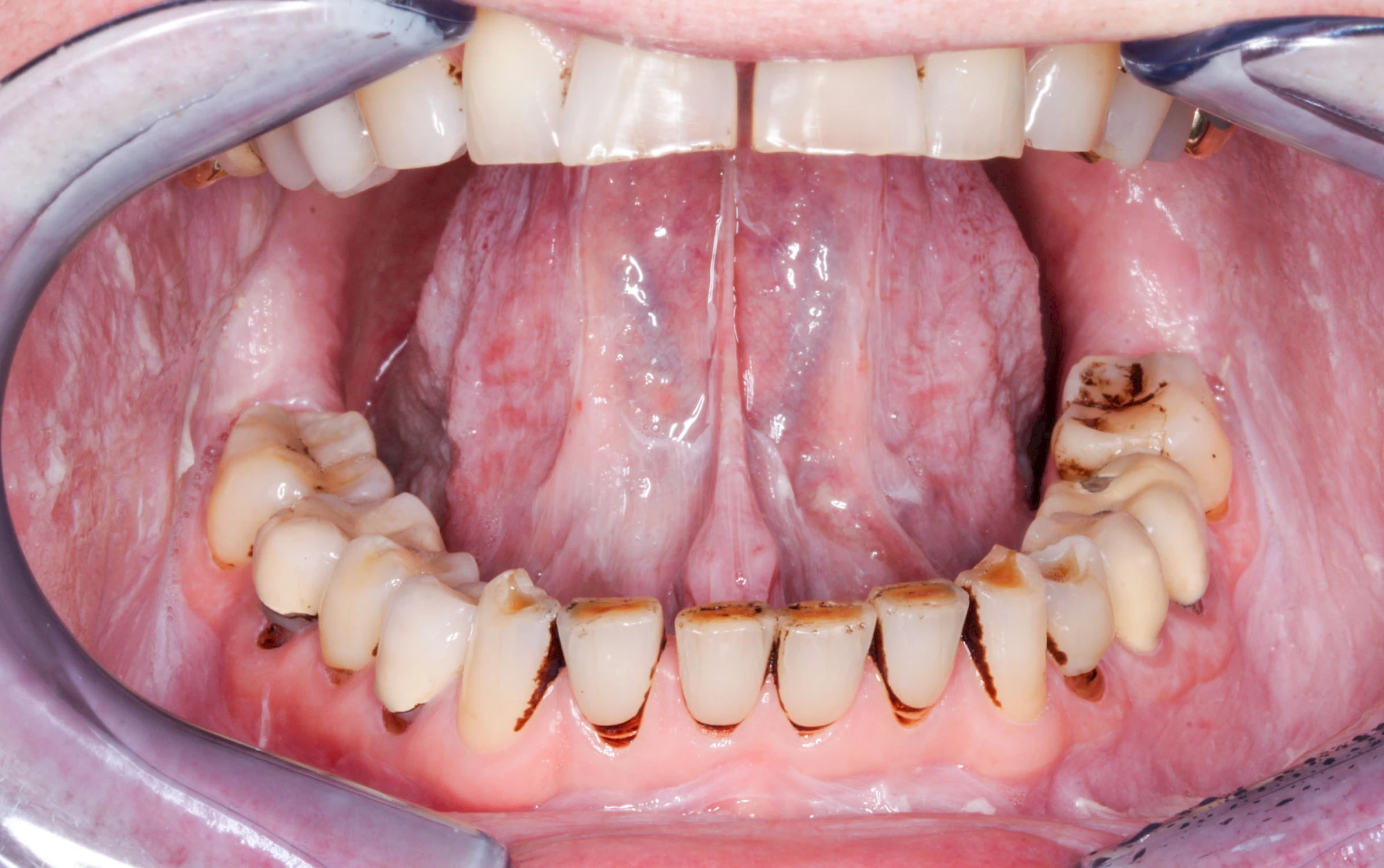
Chlorhexidin kann zu bräunlich-schwarzen Verfärbungen meist im Bereich der Zähne und der Zunge führen. Als weitere Nebenwirkung bindet Chlorhexidin an Geschmacksrezeptoren der Zunge. Der Geschmack von „salzig“ und „bitter“ kann dadurch "blockiert" werden.
Die Verfärbungen haben keinen Krankheitswert und müssen nicht behandelt werden. An den Schleimhäuten bilden sich die Verfärbungen meist von allein wieder zurück, wenn CHX abgesetzt wird. Die Verfärbungen der Zähne müssen in der Regel professionell durch einen Zahnarzt entfernt werden.
Weitere Informationen zu CHX finden Sie hier!
Diese Seite wurde zuletzt am 22.10.2025 geändert.