
- Startseite >
- >
- Auffälligkeiten im Mund >
- Zahnspange & Schiene
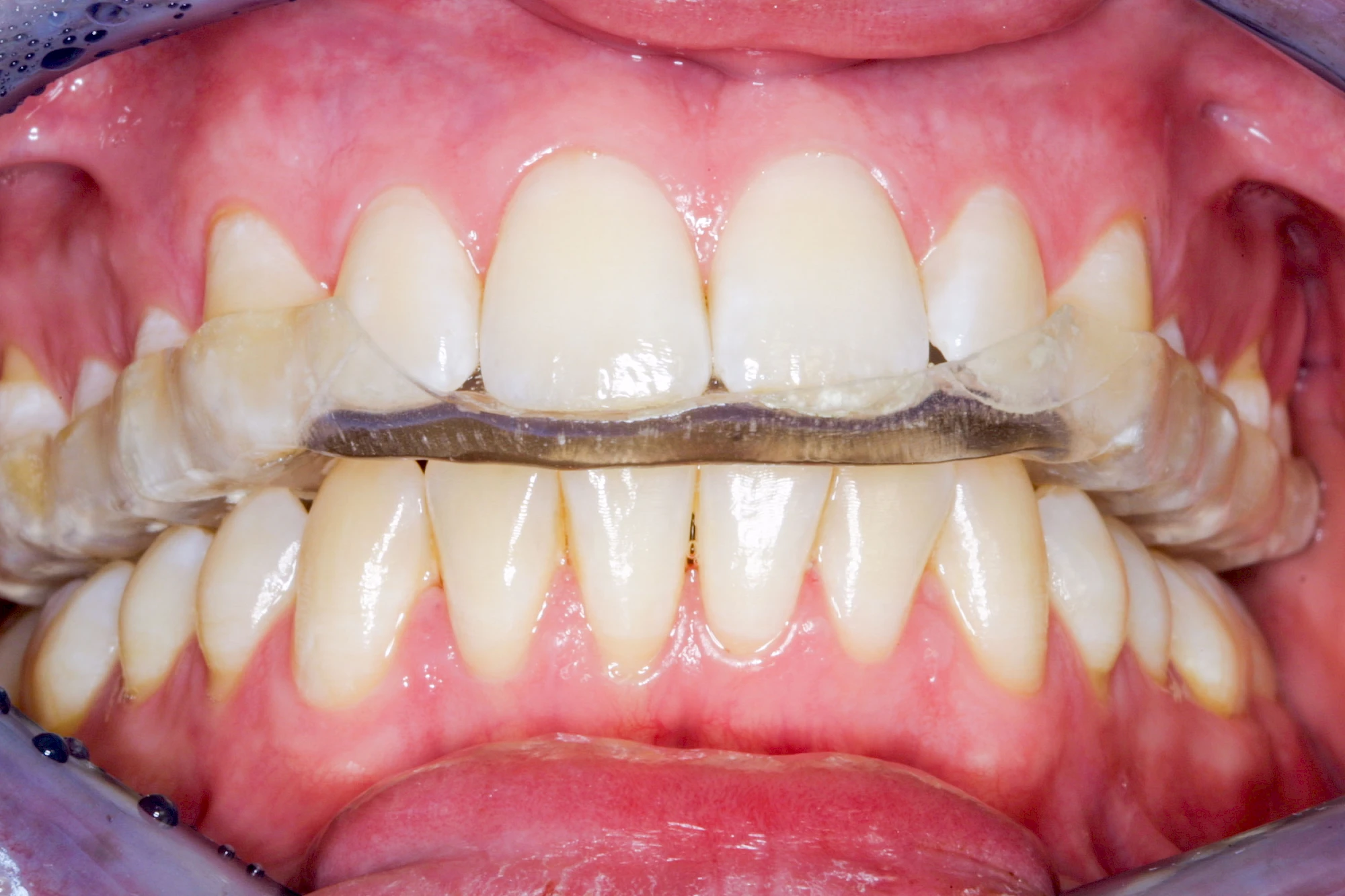
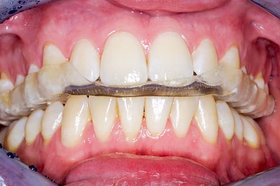
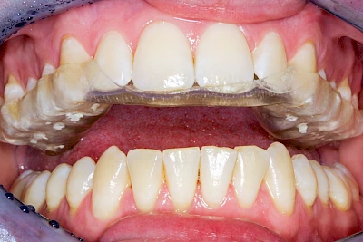
Zahnspange & Schiene
Auffälligkeiten im Mund
- Verfärbungen, Abnutzungserscheinungen, Absplitterungen
- Klammerdrähte verbogen bzw. gebrochen
- Ablösungen von Brackets oder Retaier-Drahtfixierungen
Sobald scharfe Kanten oder erhöhte Beweglichkeiten bzw. Lockerungen an Zahnspangen bzw. Schienen festgestellt werden, sollte ein Zahnarzt bzw. Kieferorthopäde zu Rate gezogen werden.
Diese Seite wurde zuletzt am 25.08.2025 geändert.