
- Startseite >
- >
- Auffälligkeiten im Mund >
- Gaumen, Wange & Zunge >
- Besonderheiten: Zunge
Besonderheiten: Zunge
Gaumen, Wange & Zunge
Achtung: Einbissverletzungen (z. B. während dem Kauen oder infolge von Stürzen) werden auf der Seite Rötung, Blutung & Verletzung erläutert.
Neben abwischbaren Zungenbelägen kann die Zungenoberseite (Zungenrücken) Auffälligkeiten zeigen, die zwar keine (zahn)ärztliche Behandlung erfordern, die aber vor allem im Alter zunehmend ausgeprägt sein können und im Hinblick auf die Pflege besondere Aufmerksamkeit verdienen. In allen diesen Fällen sollte Zungenpflege gesondert in die Mundpflege einbezogen werden.
Faltenzunge
Haarzunge
Die schwarze Haarzunge (Lingua villosa nigra) entsteht durch die Verlängerung der Zungenpapillen (Papillae filiformes) in Folge einer verstärkten Hornbildung (Hyperkeratose). Das den Papillen aufsitzende Keratin wird durch Farbstoffe in der Nahrung (Tee, Kaffee) und Medikamente (Chlorhexidin) sowie bakterielle Zersetzungsprozesse verfärbt.
Landkartenzunge
Die Landkartenzunge (Lingua geographica – Exfoliatio areata linguae) ist gekennzeichnet durch rötliche oder gräuliche scharf abgegrenzte landkartenartige Flecken. Manche Menschen klagen über Zungenbrennen. Dabei handelt es sich im Sinne einer Konstitutionsanomalie um eine gutartige, entzündliche Veränderung und Abstoßung der fadenförmigen Papillen (Papillae filifiormes) auf der Zungenoberfläche. Zum Teil bildet sich die Veränderungen innerhalb von Monaten wieder von selbst zurück.
Unterstützend werden eine milde Zungenpflege sowie die Vermeidung scharfer Speisen, Tabak und Alkohol empfohlen.
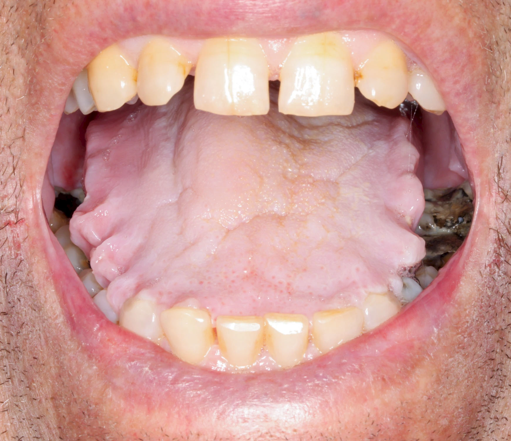
Grilanden & Zahnimpressionen
Manchmal sind die Zungenränder girlandenartig geformt. Die sogenannten "Zahnimpressionen" entstehen, wenn die Zunge zu stark gegen die Zähne drückt. Dies kann auf eine Stauung (Lymphstau) der Zunge hinweisen oder auch auf verstärkte Zungenaktivität, wenn z. B. die Zunge gegen die Zähne gepresst wird.
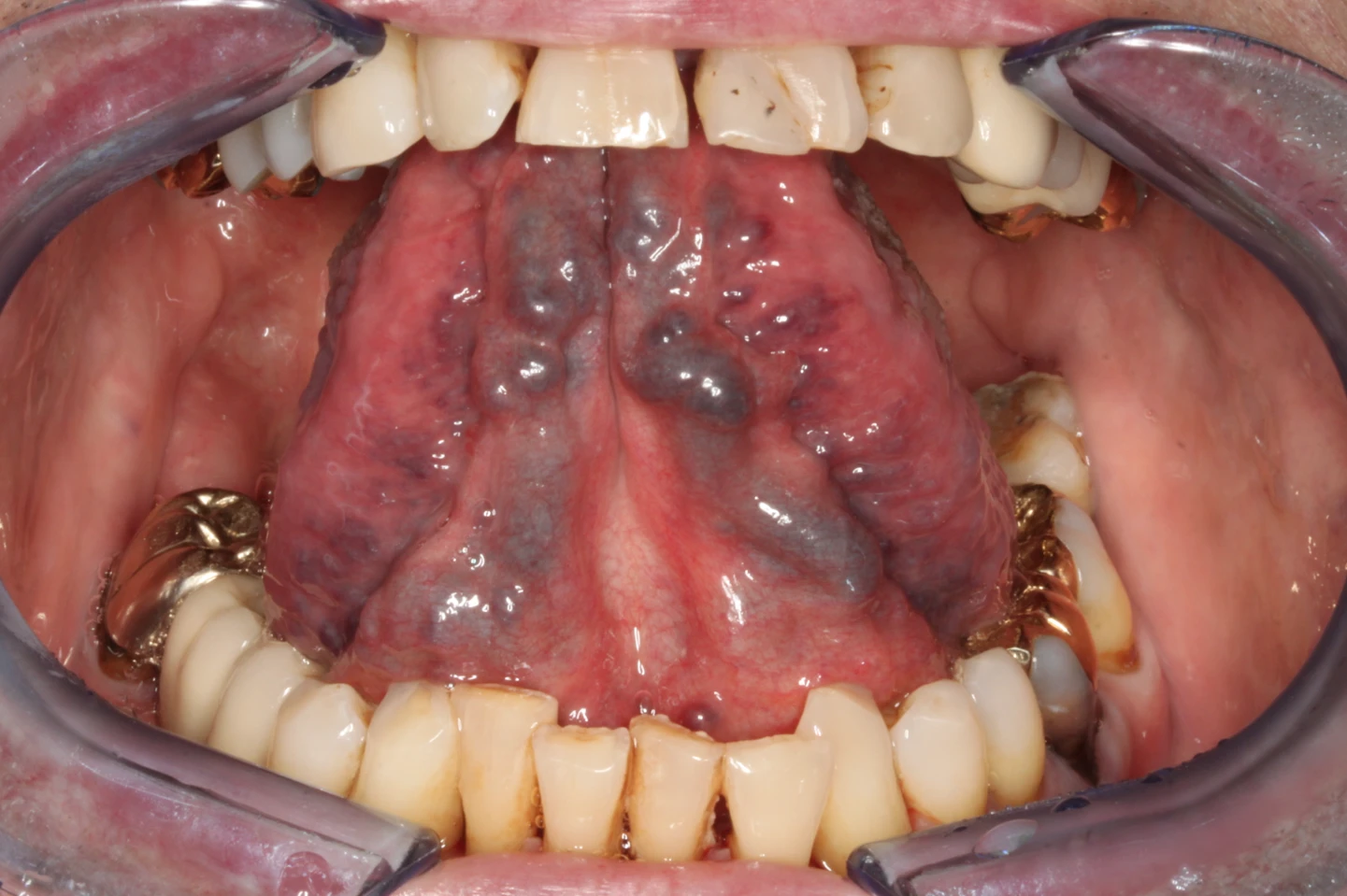
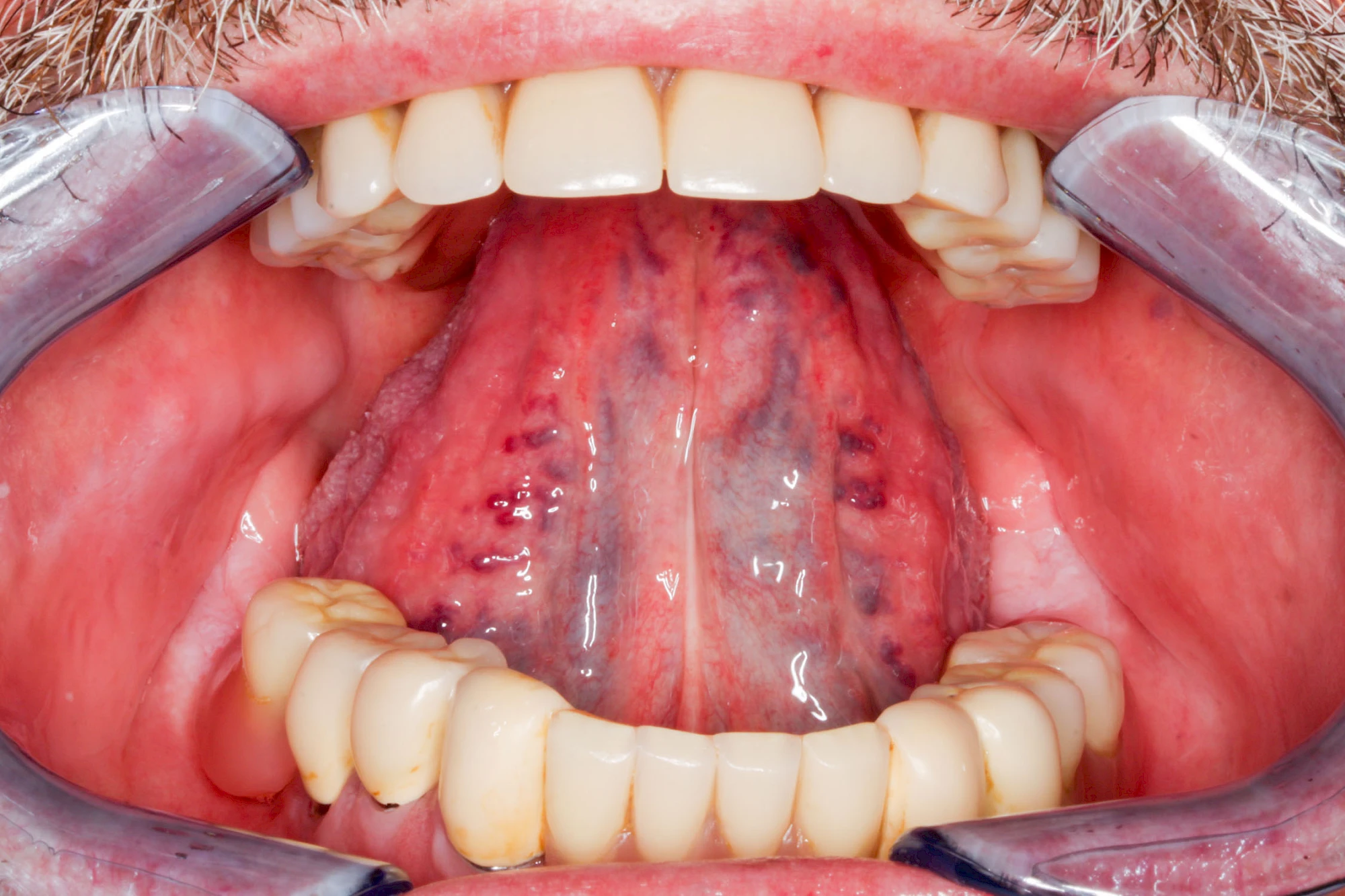
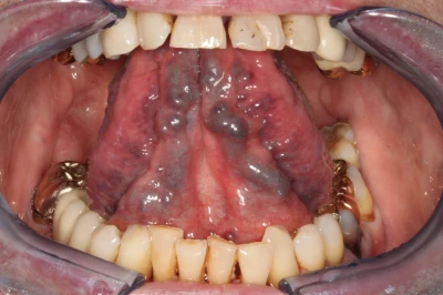
Venektasie & Venöse Stauung
Die venösen Blutgefäße auf der Unterseite der Zunge können mit zunehmendem Alter erschlaffen und dadurch stärker hervortreten (vergleichbar mit Krampfadern an den Beinen). Ist die Zungenunterseite jedoch lange unauffällig und kommt es in kurzer Zeit zu einem verstärkten Anschwellen der venösen Blutgefäße, spricht man von einer venösen Stauung bzw. Venektasie. Diese kann unter Umständen ein Anzeichen auf verminderte Herzfunktion (Rechtsherzinsuffizienz) sein und sollte ärztlich abgeklärt werden.
Diese Seite wurde zuletzt am 25.08.2025 geändert.