
- Startseite >
- >
- Auffälligkeiten im Mund >
- Zahn, Füllung, Krone & Brücke >
- Beweglichkeit
Beweglichkeit
Zahn, Füllung, Krone & Brücke
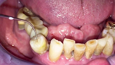
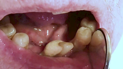
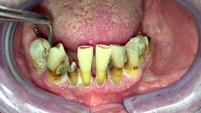
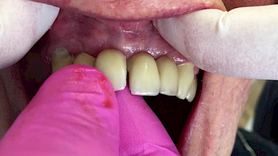
Eine geringe spürbare Beweglichkeit der Zähne ist durchaus normal, da Zähne über Fasern im Kieferknochen aufgehängt sind. Lassen sich Zähne, Kronen oder Brücken jedoch deutlich sichtbar bewegen, besteht die Gefahr, dass sie sich lösen und verschluckt oder aspiriert werden. Deshalb sollte in diesen Fällen der Zahnarzt verständigt werden.
Diese Seite wurde zuletzt am 25.08.2025 geändert.