
- Startseite >
- >
- Auffälligkeiten im Mund >
- Häufigste Auffälligkeiten
Häufigste Auffälligkeiten
Welche Symptome gibt es und wie reagiert man darauf?
Auf dieser Seite werden die häufigsten Auffälligkeiten im Mundbereich aufgeführt, die Risiken oder Probleme für die Mundgesundheit darstellen. Die Auffälligkeiten sind unterteilt in die Kategorien Zähne & Zahnfleisch, Zahnprothesen, Lippen & Schleimhäute.
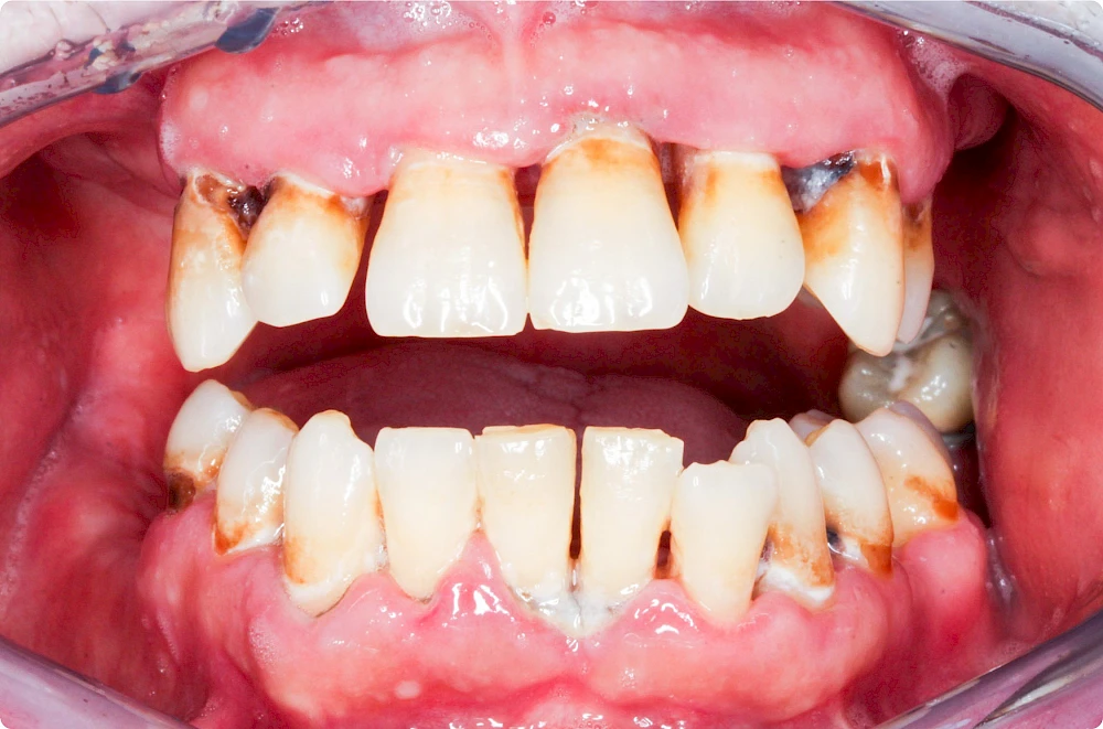
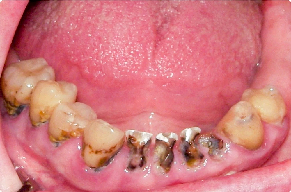
Zähne & Zahnfleisch
Bei Belägen an den Zähnen sowie bei Zahnfleischentzündungen sollte zunächst die Mundpflege optimiert werden. Lassen sich die Beläge nicht entfernen bzw. besteht die Zahnfleischentzündung weiterhin, sollte wie auch bei Defekten oder Zahnlockerungen ein Zahnarzt gerufen werden.
Zahnprothesen
Bei Belägen an Zahnprothesen sowie bei Rötung der Prothesenauflagefläche im Mund sollte zunächst die Prothesen- und Mundpflege optimiert werden. Lassen sich die Beläge nicht entfernen bzw. besteht die Rötung der Prothesenauflagefläche weiterhin, sollte wie auch bei Defekten an den Prothesen oder wenn Zahnprothesen schlecht halten sowie bei Prothesendruckstellen ein Zahnarzt gerufen werden.
Lippen & Schleimhäute (Gaumen, Wange & Zunge)
Bei trockenen bzw. rissigen Lippen oder bei trockenen oder entzündeten (Schleim)Häuten wie auch bei abwischbaren Belägen sollte zunächst die Mundpflege optimiert werden. Tritt keine Besserung ein, sollte wie auch bei ständig wiederkehrenden Bläschen sowie bei fortbestehenden Entzündungen oder Verletzungen ein Zahnarzt gerufen werden.
Diese Seite wurde zuletzt am 23.02.2026 geändert.