
- Startseite >
- >
- Auffälligkeiten im Mund >
- Gaumen, Wange & Zunge >
- Rötung, Blutung, Verletzung
Rötung, Blutung, Verletzung
Gaumen, Wange & Zunge
Rötungen sind grundsätzlich als Anzeichen einer Entzündung zu werten.
Die 5 klassischen Entzündungszeichen:
- Rötung (Rubor)
- Schmerzen (Dolor)
- Schwellung (Tumor)
- Wärme (Calor)
- gestörte Funktion (Functio laesa)
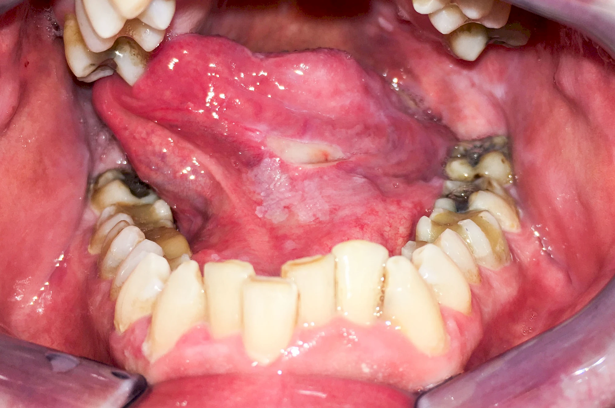
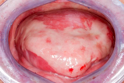
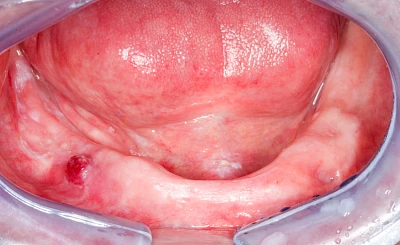
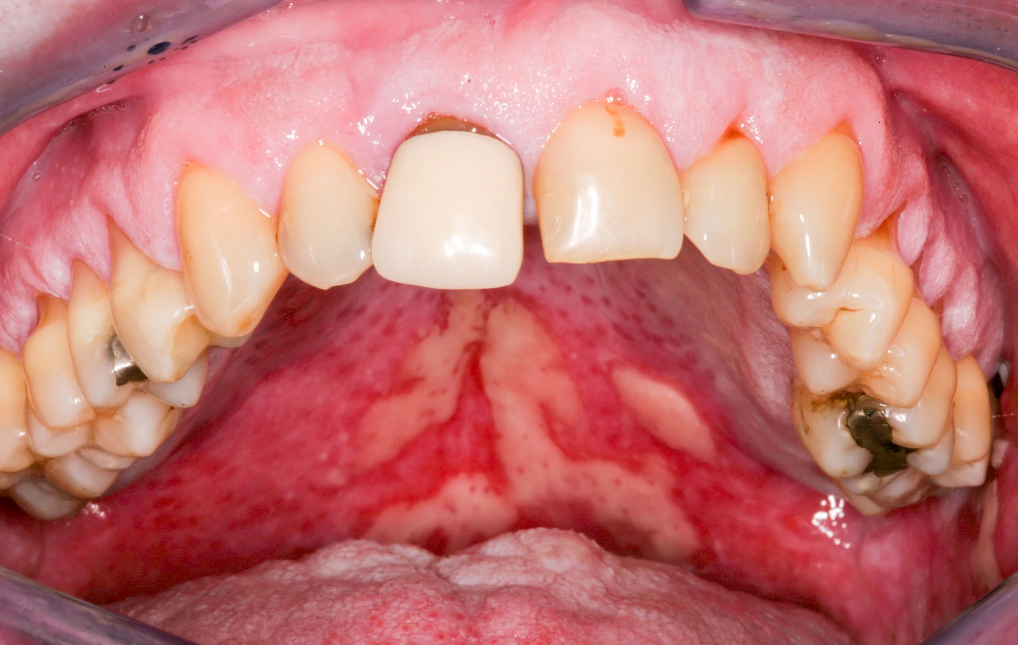
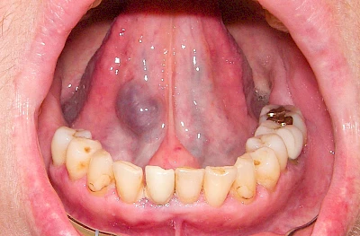
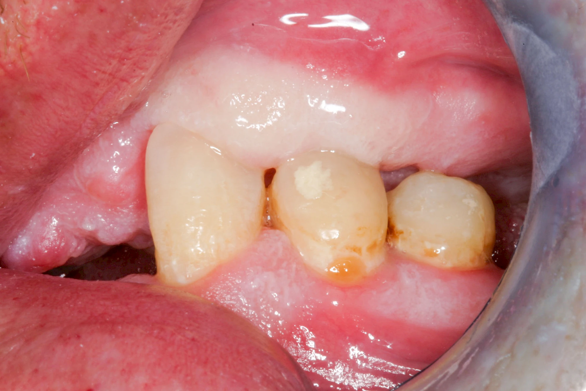
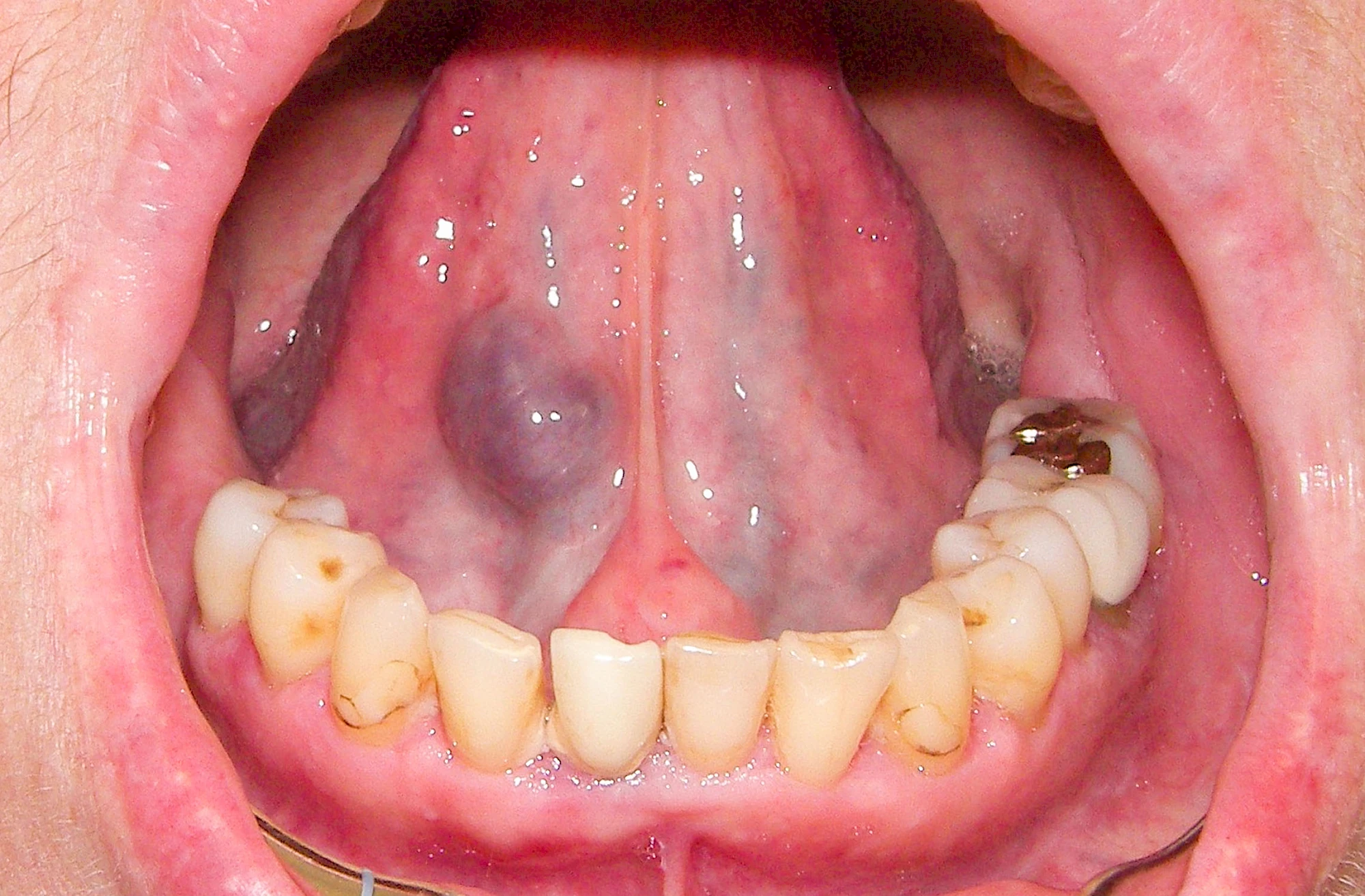
Blutpunkt, Blutblase & rote Flecken
Blutpunkte (z. B. Petechien), Blutblasen (z. B. Hämangiome) & rote Flecken (z. B. Ausschlag) haben in der Regel eine längere Entstehungsgeschichte und sind häufig nicht auf eine direkte kurzzeitig zurückliegende Verletzung zurückzuführen.
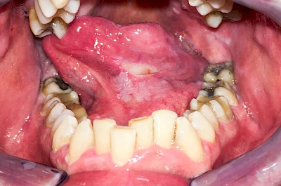
Besonders häufig läßt sich eine starke Gefäßzeichnung unter der Zunge beobachten.
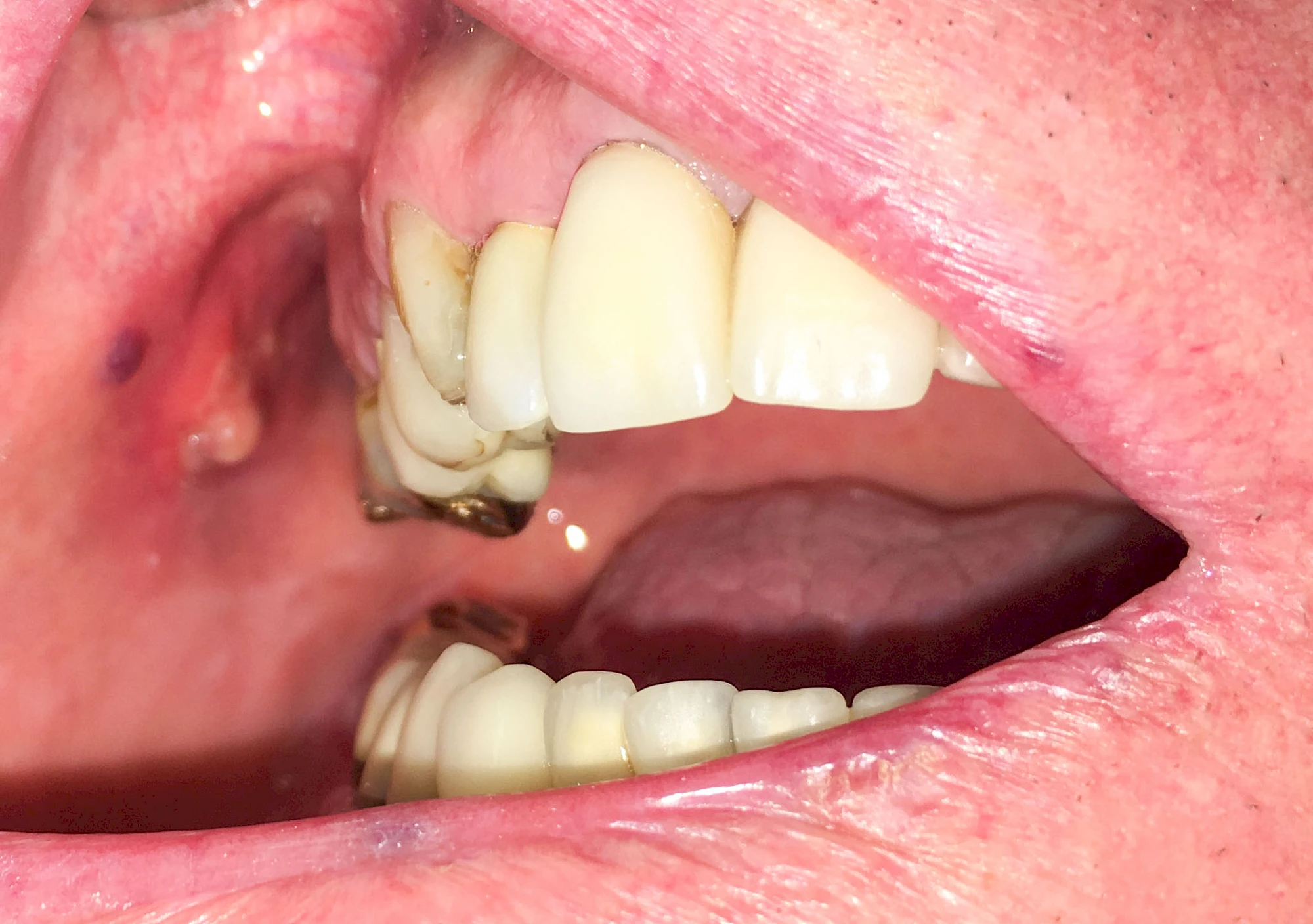
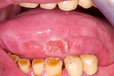
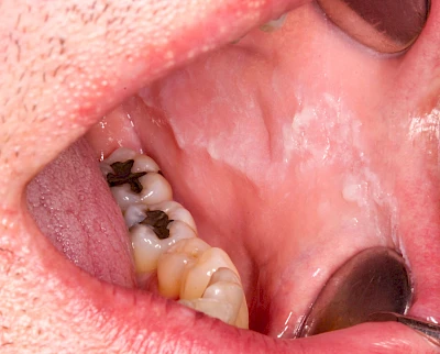
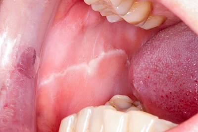
Kauen: Wange, Zunge & Lippen
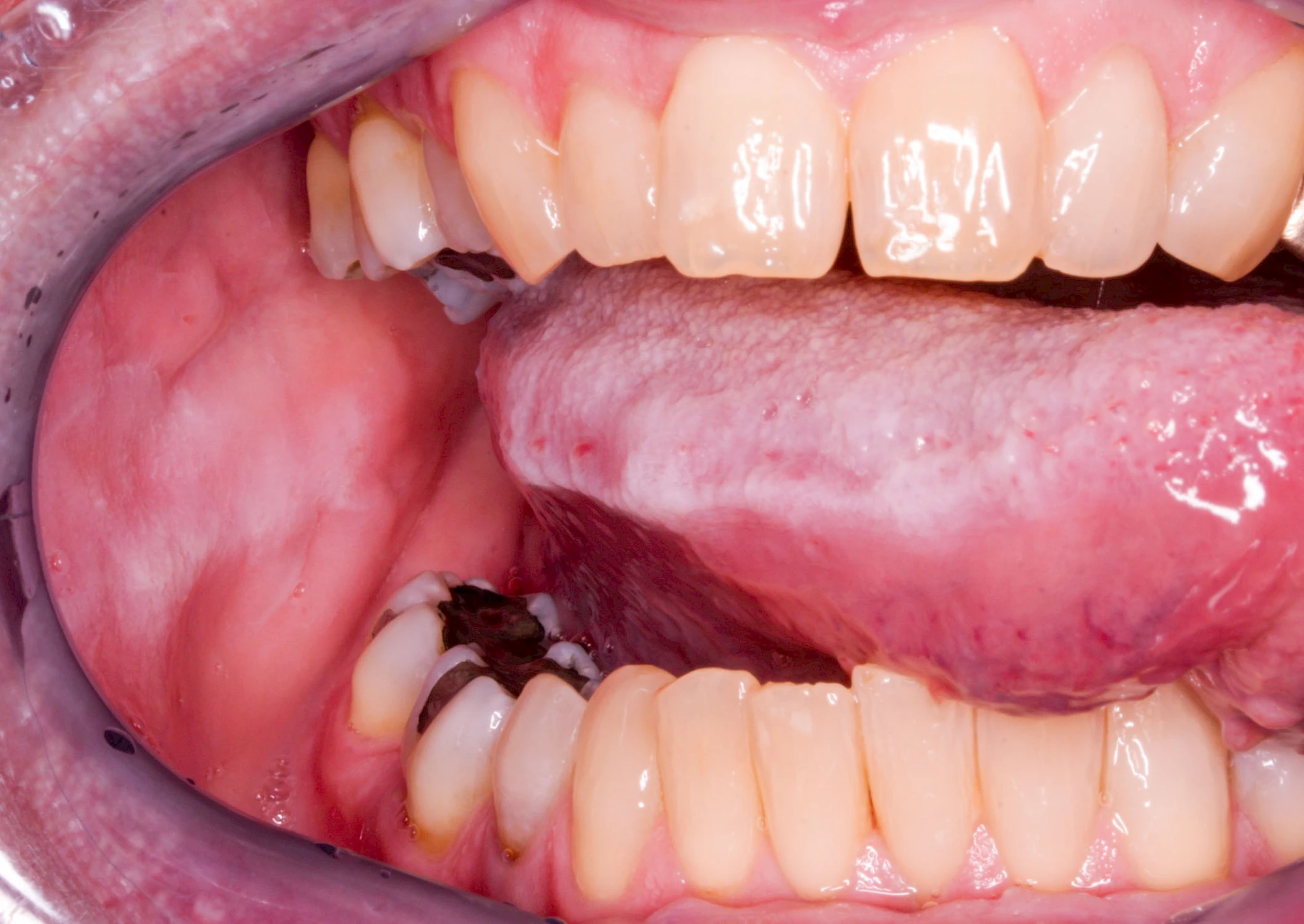
Das Kauen auf Wange, Zunge oder Lippen zählt zu den sogenannten Habits und ist meist stressbedingt. Diskrete Linien (Verhornungsleisten) oder aber unruhige Schleimhautareale bis hin zu Erscheinungsformen wie "wildes Fleisch" können dabei auffallen. Verletzungen können auch auftreten infolge Tumoroperationen oder Schlaganfall, wenn die Motorik oder Sensorik gestört ist.
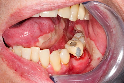
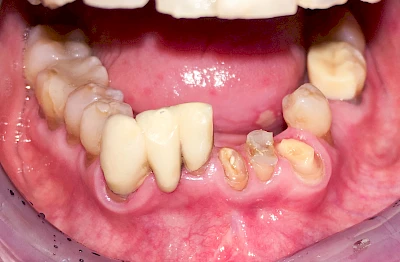
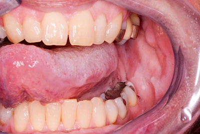
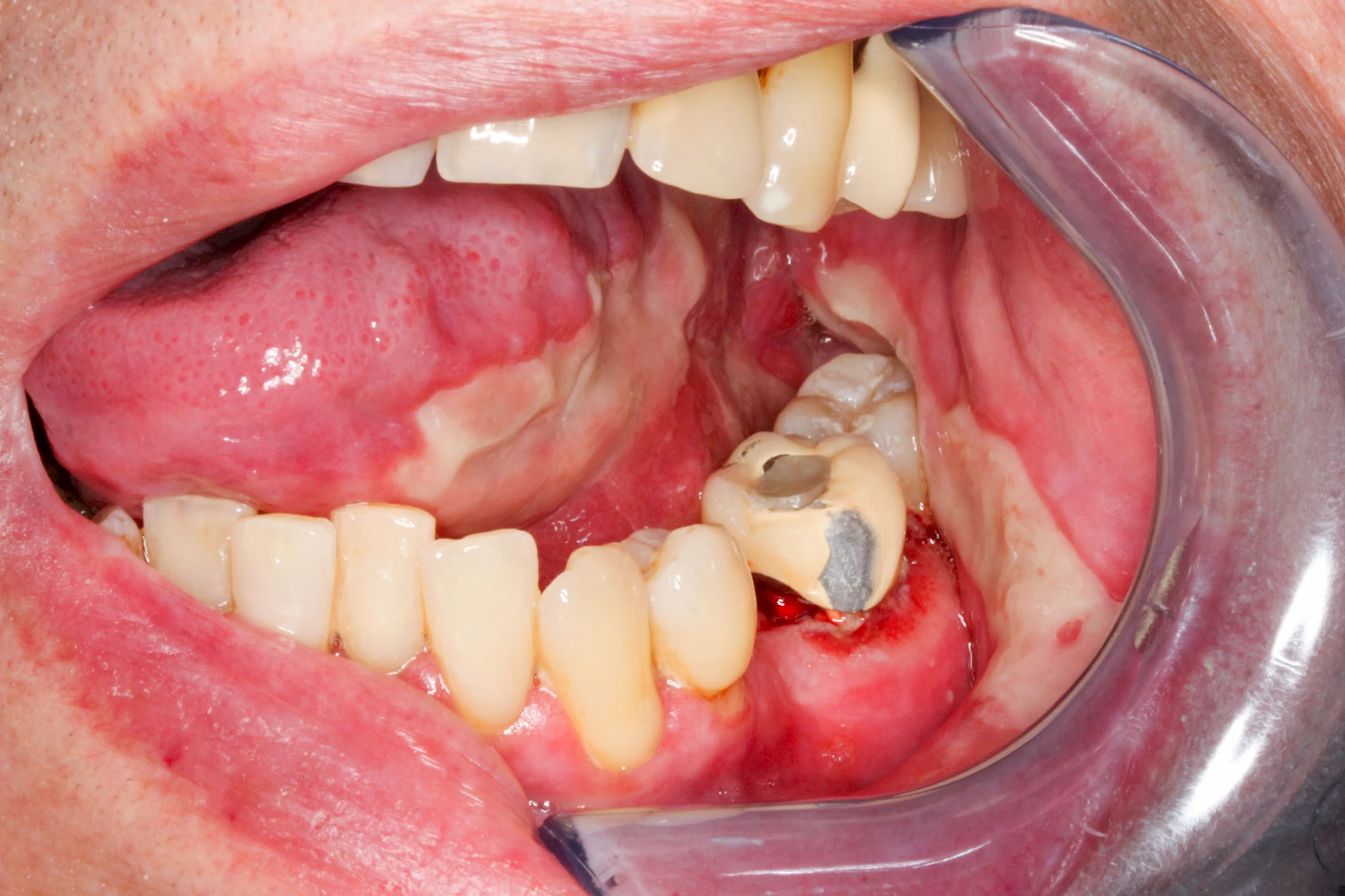
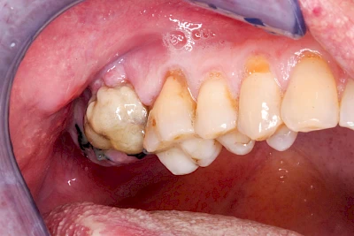
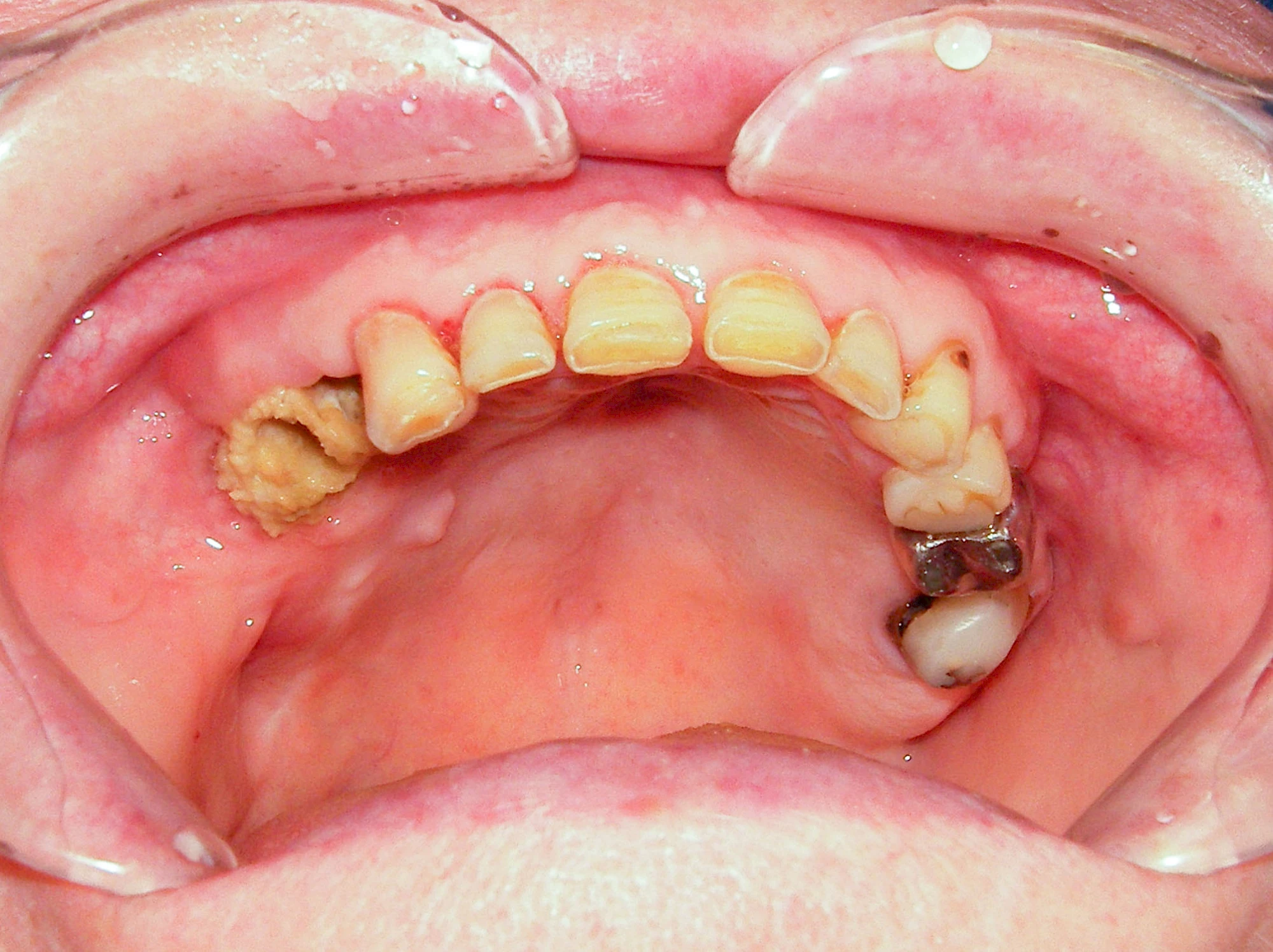
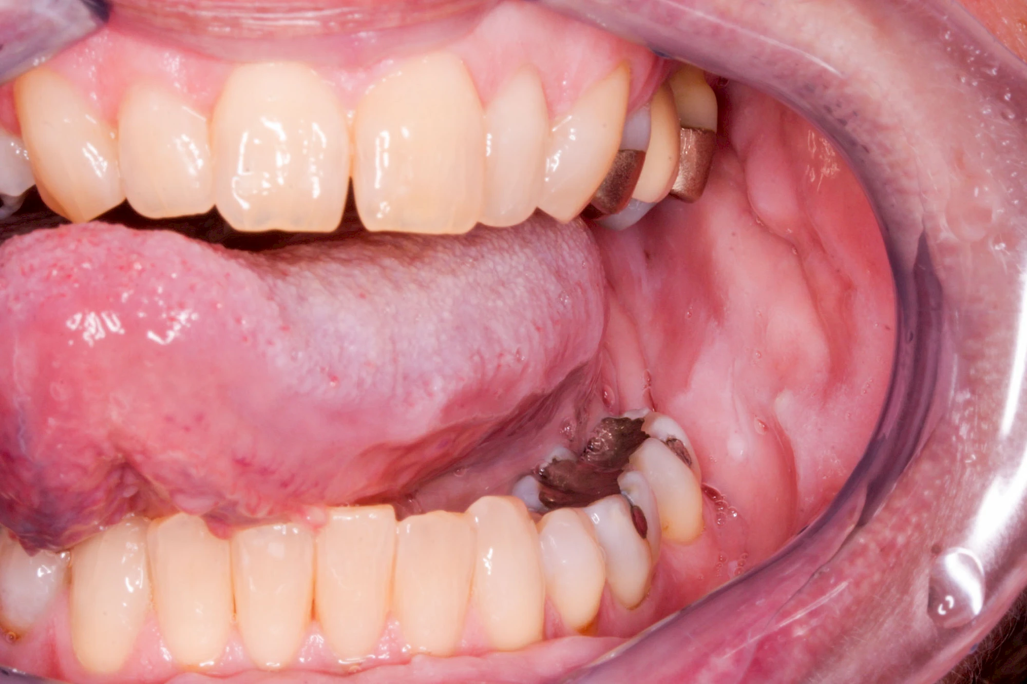
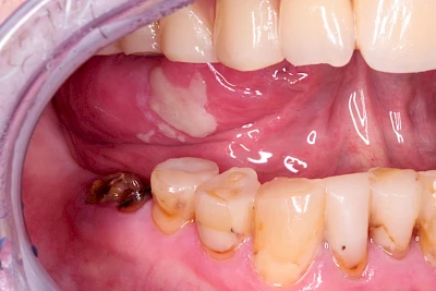
Wundheilungsstörung
Nach operativen Eingriffen im Bereich der Mundhöhle (Zahn ziehen "Extraktion", Schleimhautprobenentnahmen "Biopsien" oder Tumoroperationen) kann es zu Wundheilungsstörungen mit Schwellungen, Rötungen und Nachblutungen, Sprach- und Kaufunktionsstörungen kommen. Einzelne Gesichtsbereiche können sich warm anfühlen und in seltenen Fällen kann es zu Fieber und reduziertem Allgemeinzustand kommen.
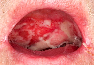
Chemo & Bestrahlung: Mukositis
Im Rahmen von Chemotherapie oder Strahlentherapie im Kopf-Hals-Bereich kann es zu schweren Entzündungen der Mundschleimhäute kommen (Mukositis).
Die chemo- bzw. strahleninduzierte Mukositis ist gekennzeichnet durch:
- Starke Schmerzen
- Großflächige Rötungen, z.T. mit Blutungen
- Großflächigen Blasen
- Schleimhautablösungen
Informationen zu Schleimhautentzündungen in Folge einer Chemo- bzw. Strahlentherapie im Kopf-Hals-Bereich finden Sie hier.
Diese Seite wurde zuletzt am 31.08.2025 geändert.