
- Startseite >
- >
- Auffälligkeiten im Mund >
- Zahn, Füllung, Krone & Brücke >
- Abnutzung & Auswaschung
Abnutzung & Auswaschung
Zahn, Füllung, Krone & Brücke
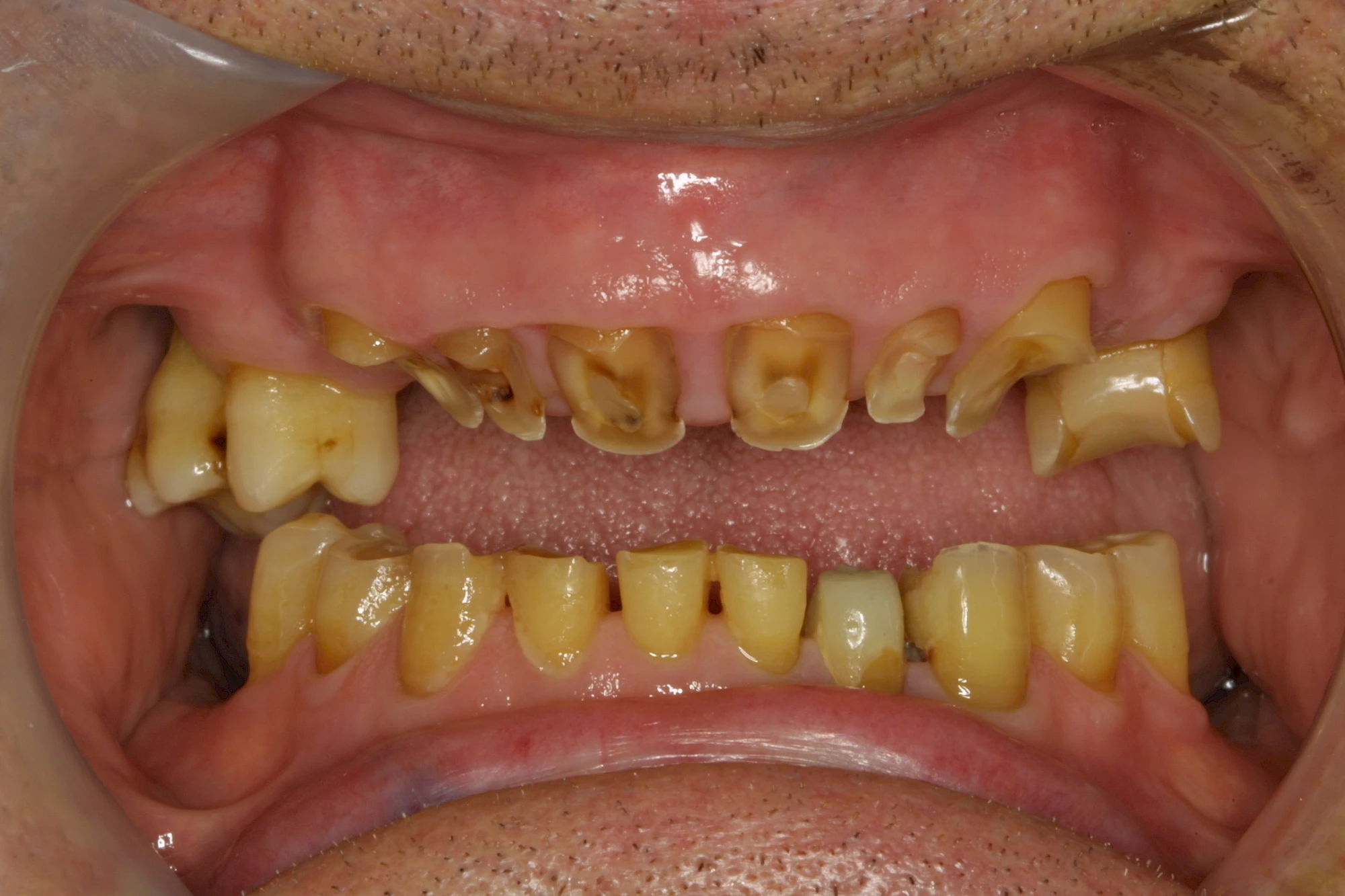
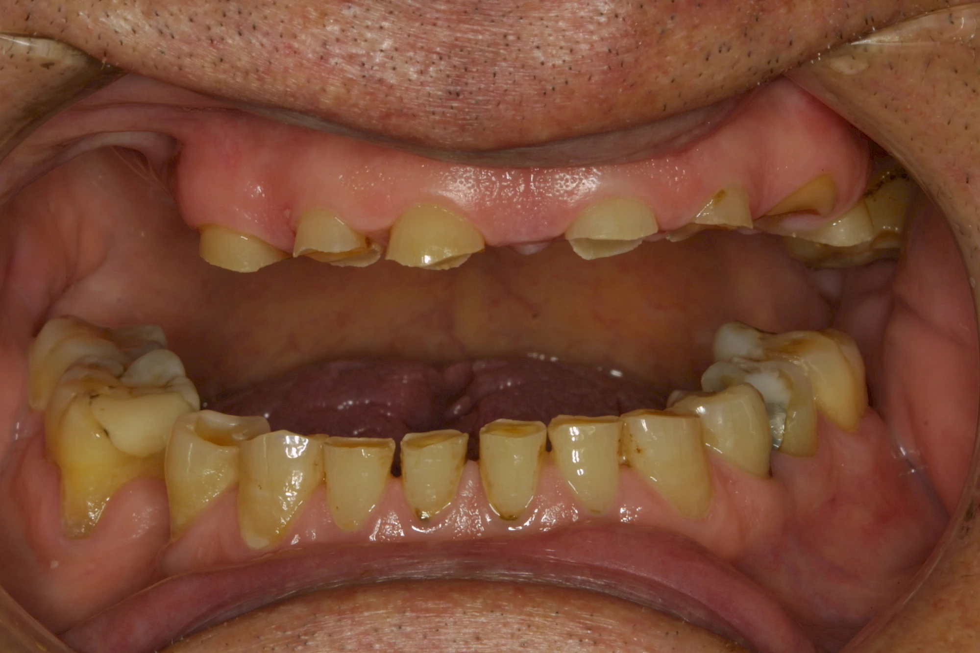
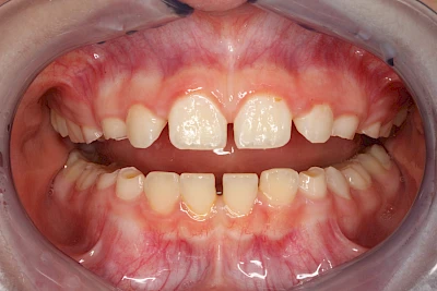
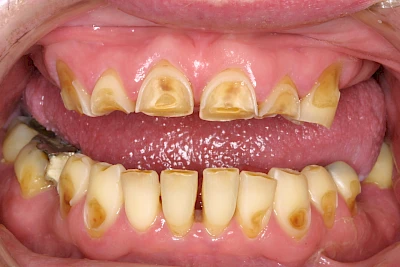
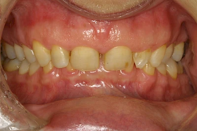
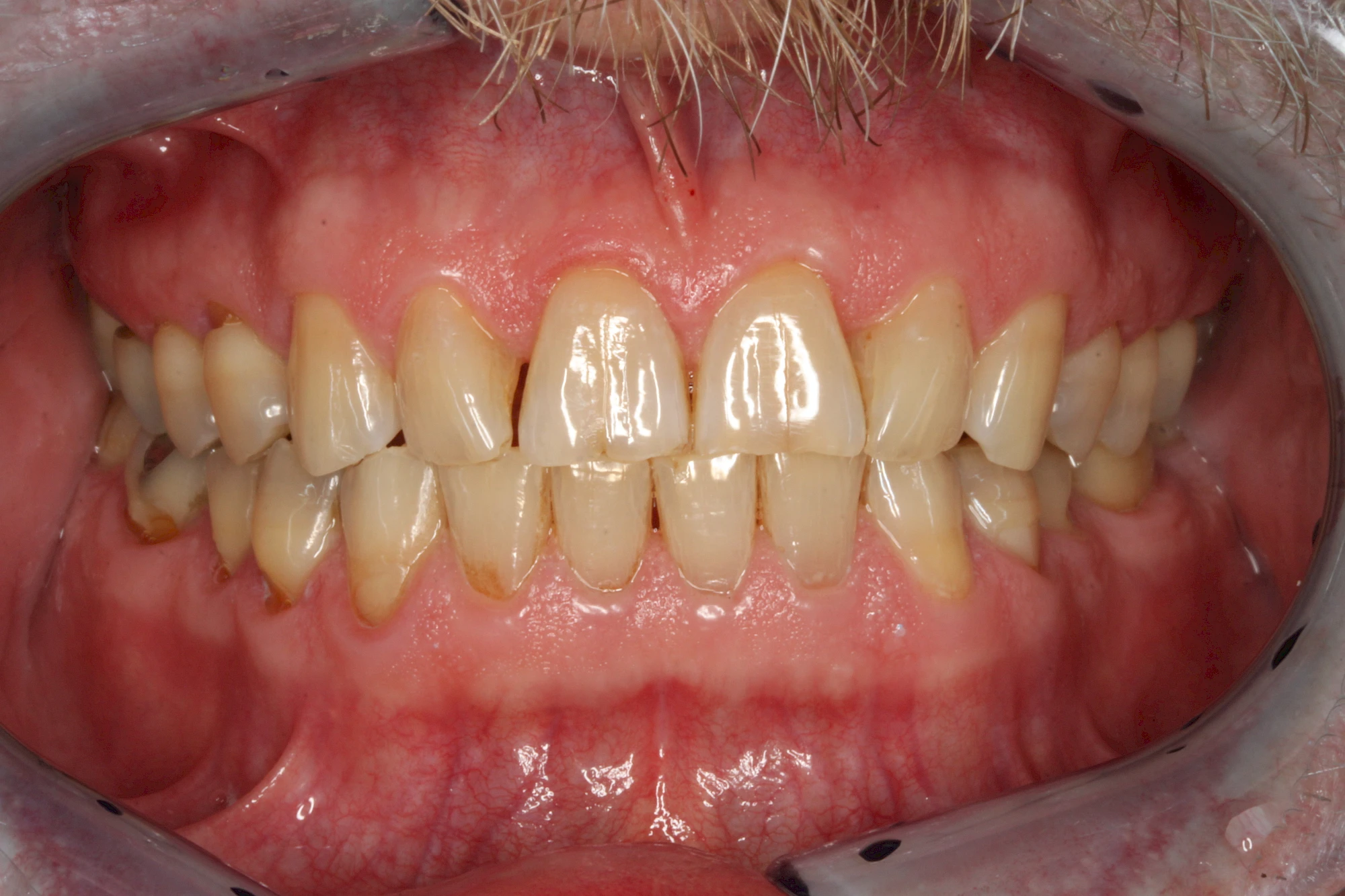
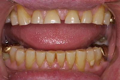
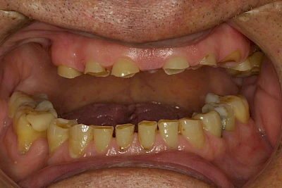
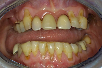
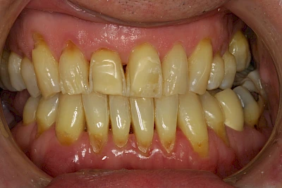
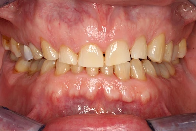
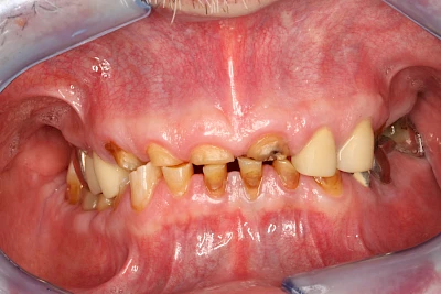
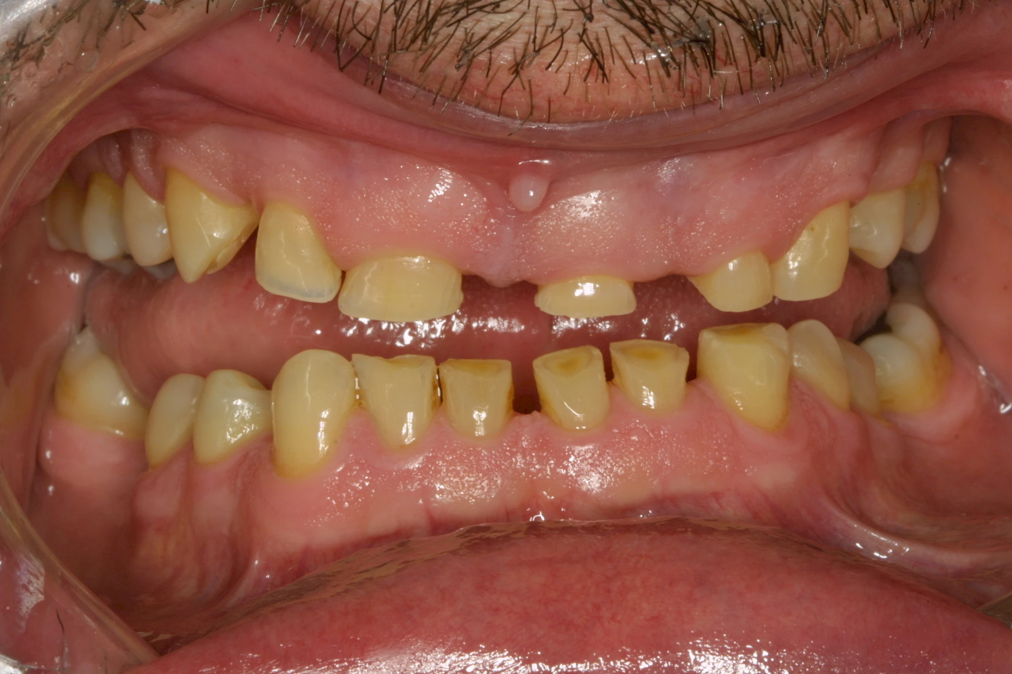
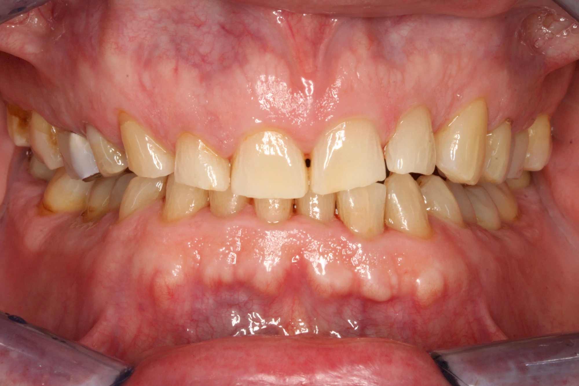
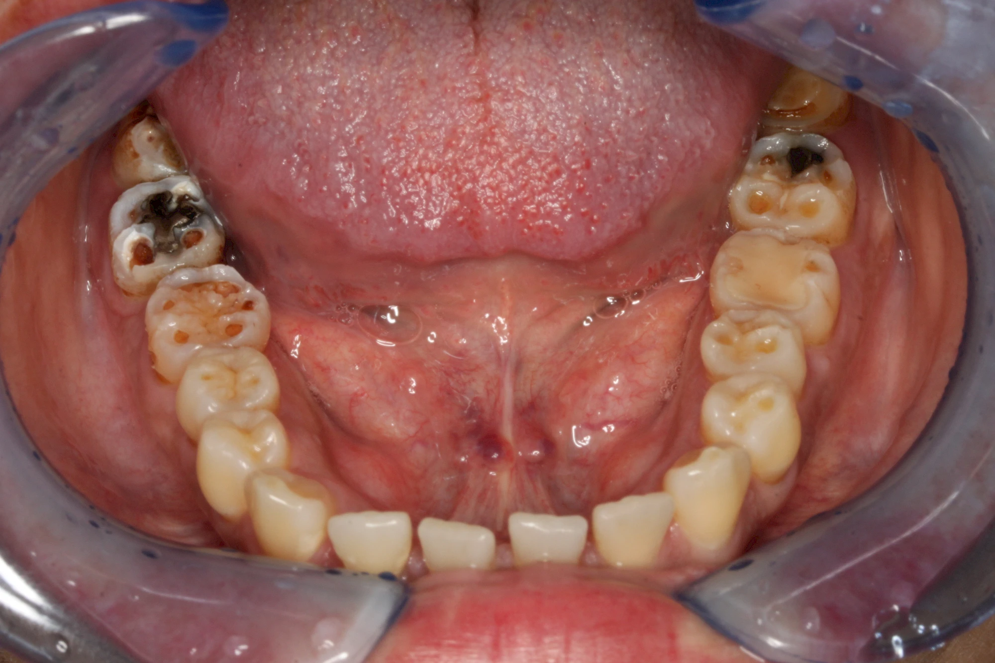
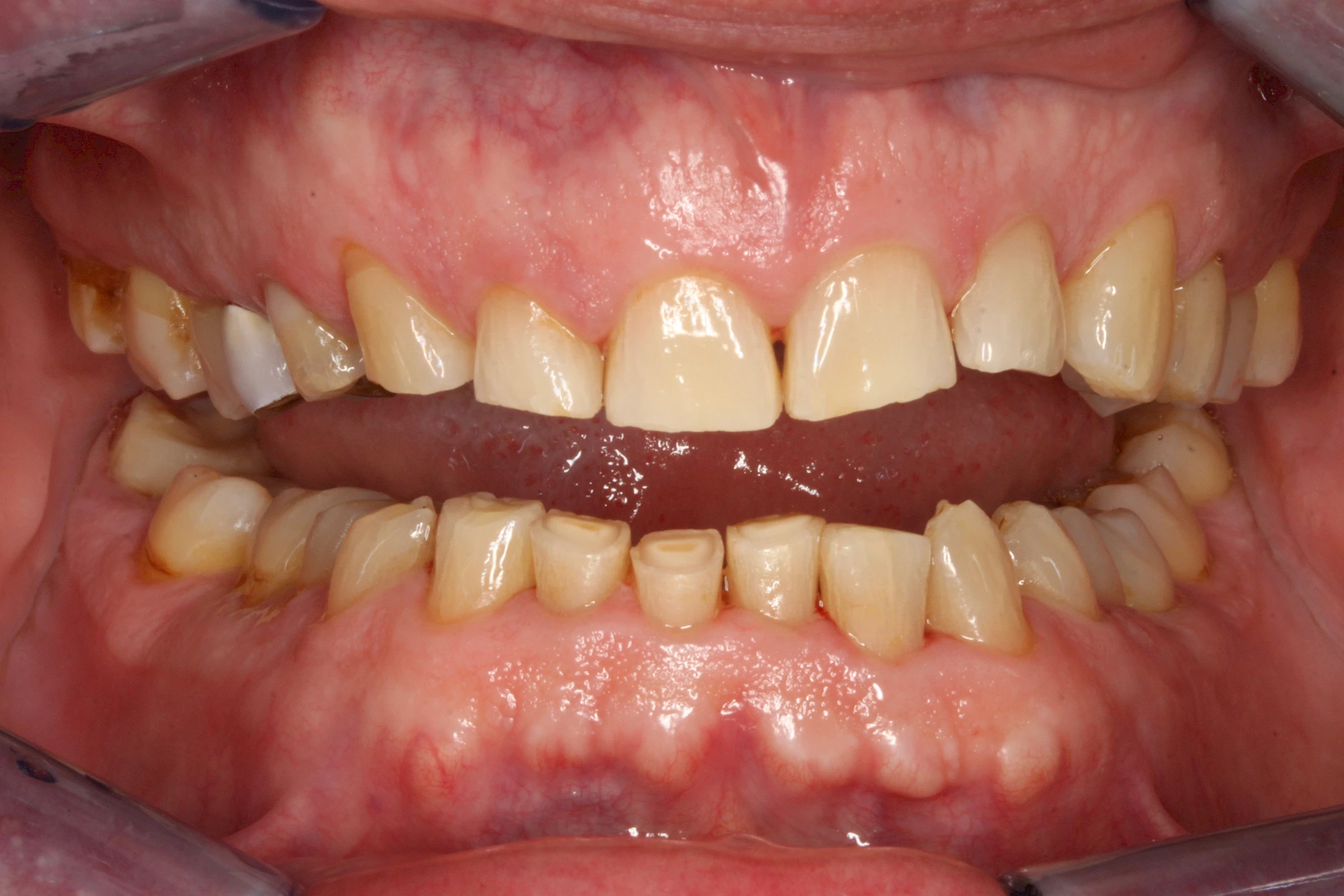
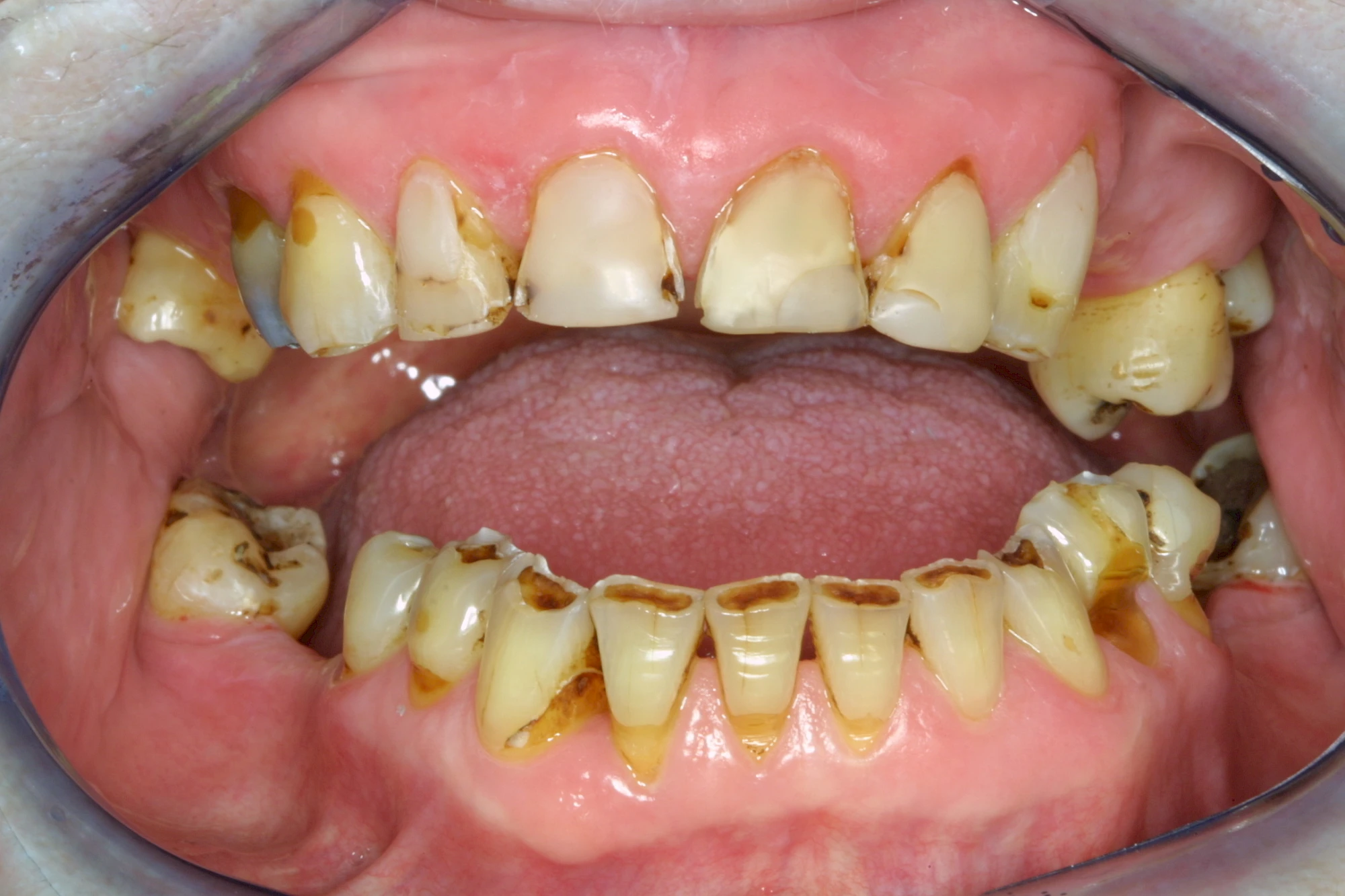
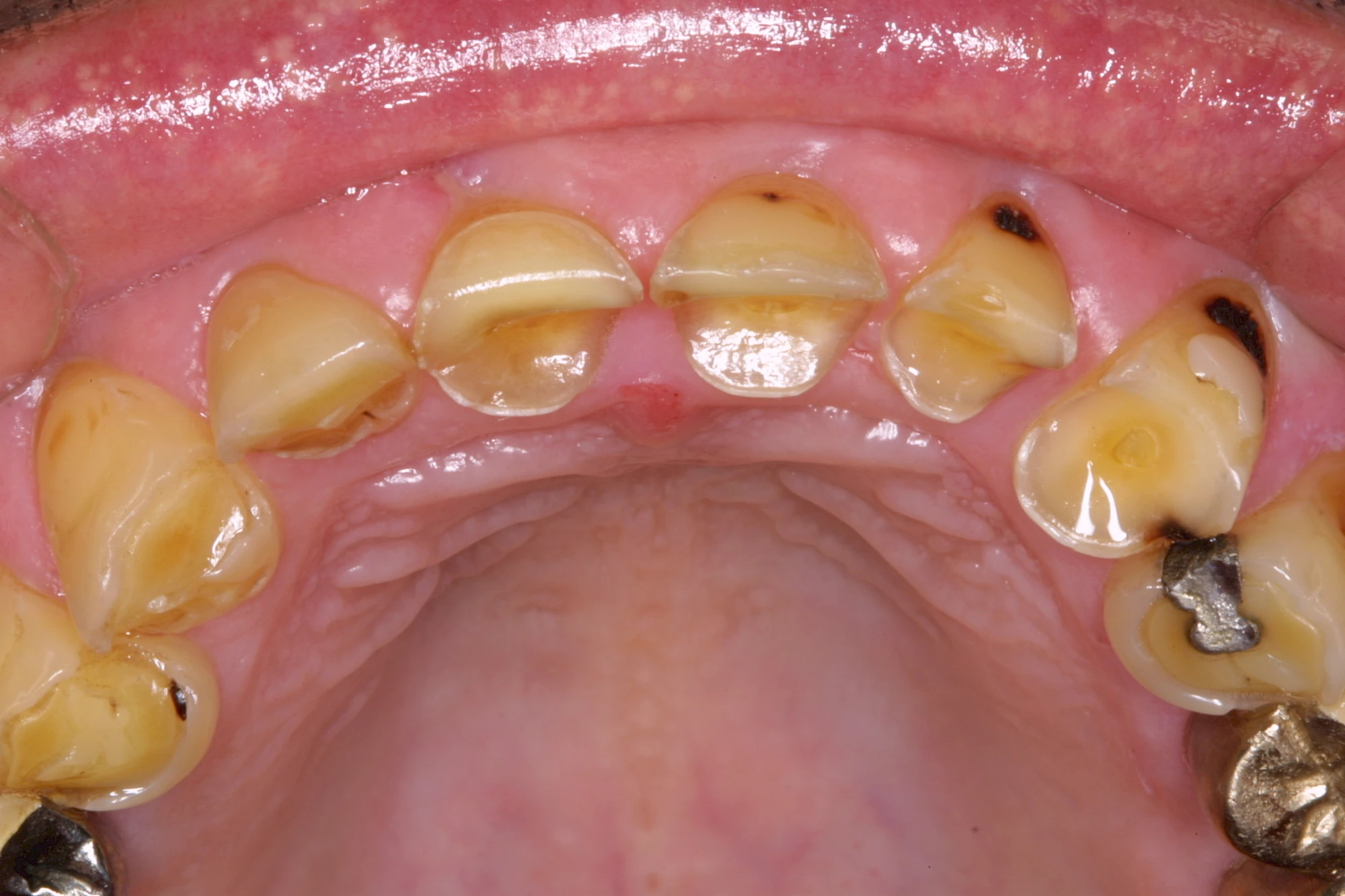
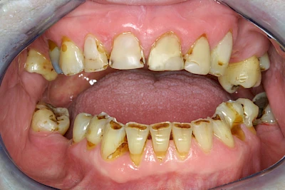
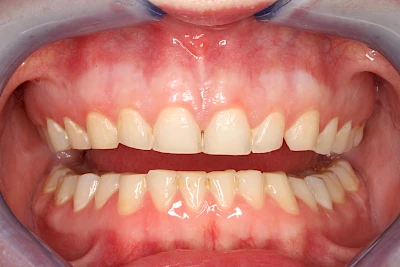
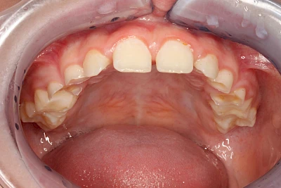
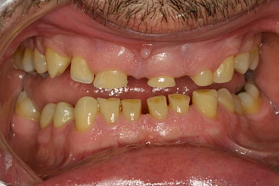
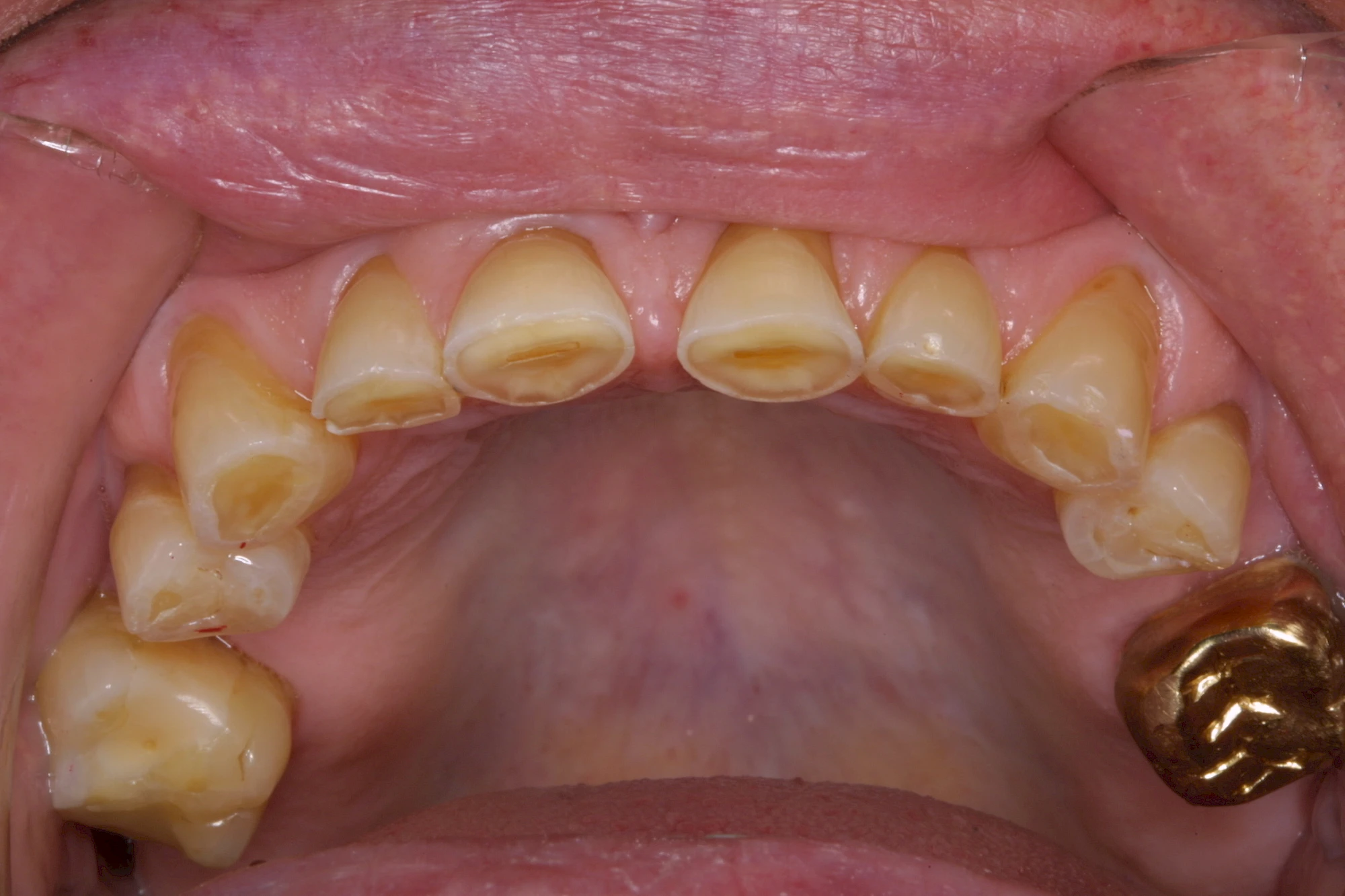
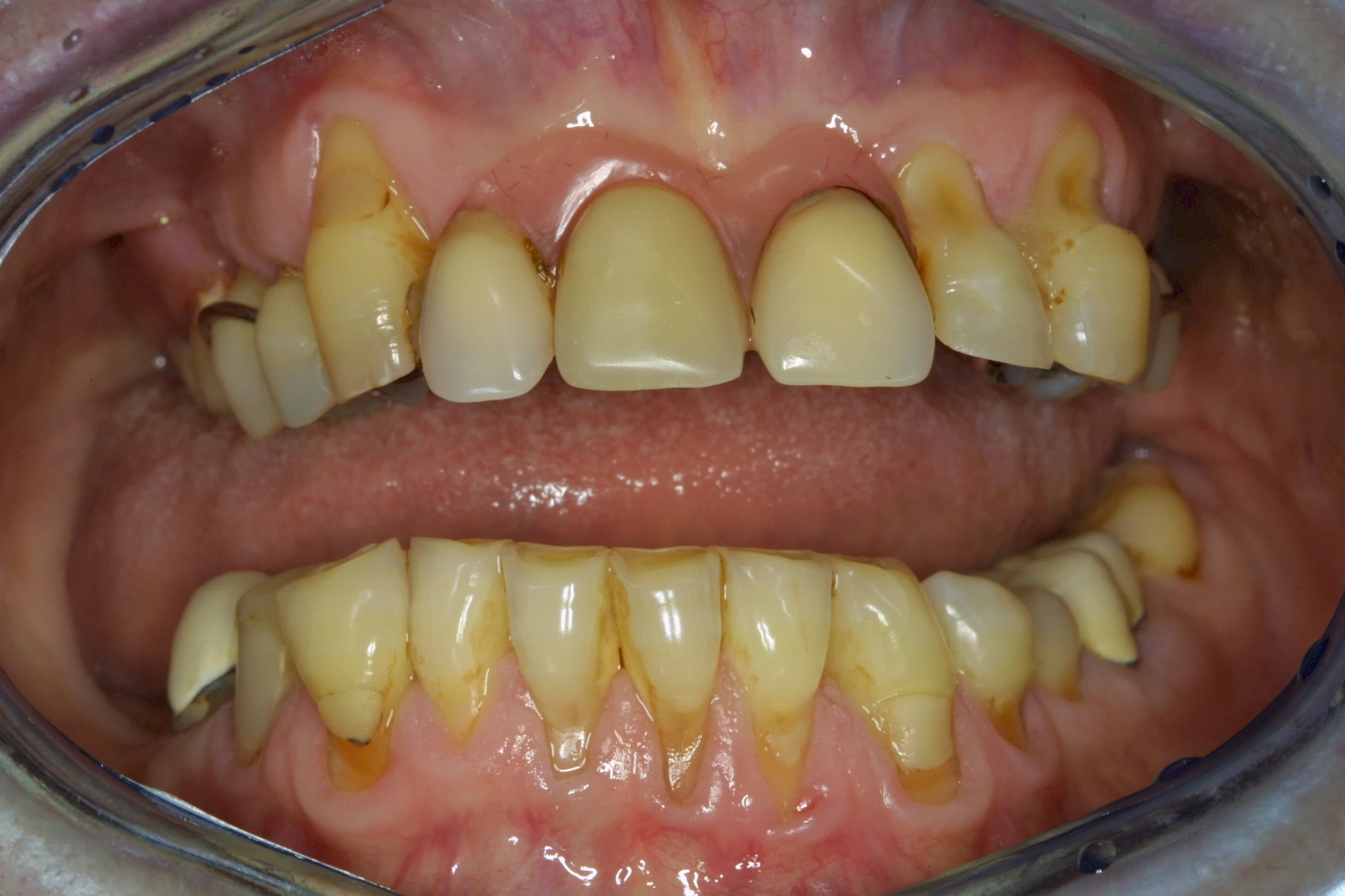
Über die Zeit können verschiedene Prozesse die Zahnhartsubstanzen aufzehren:
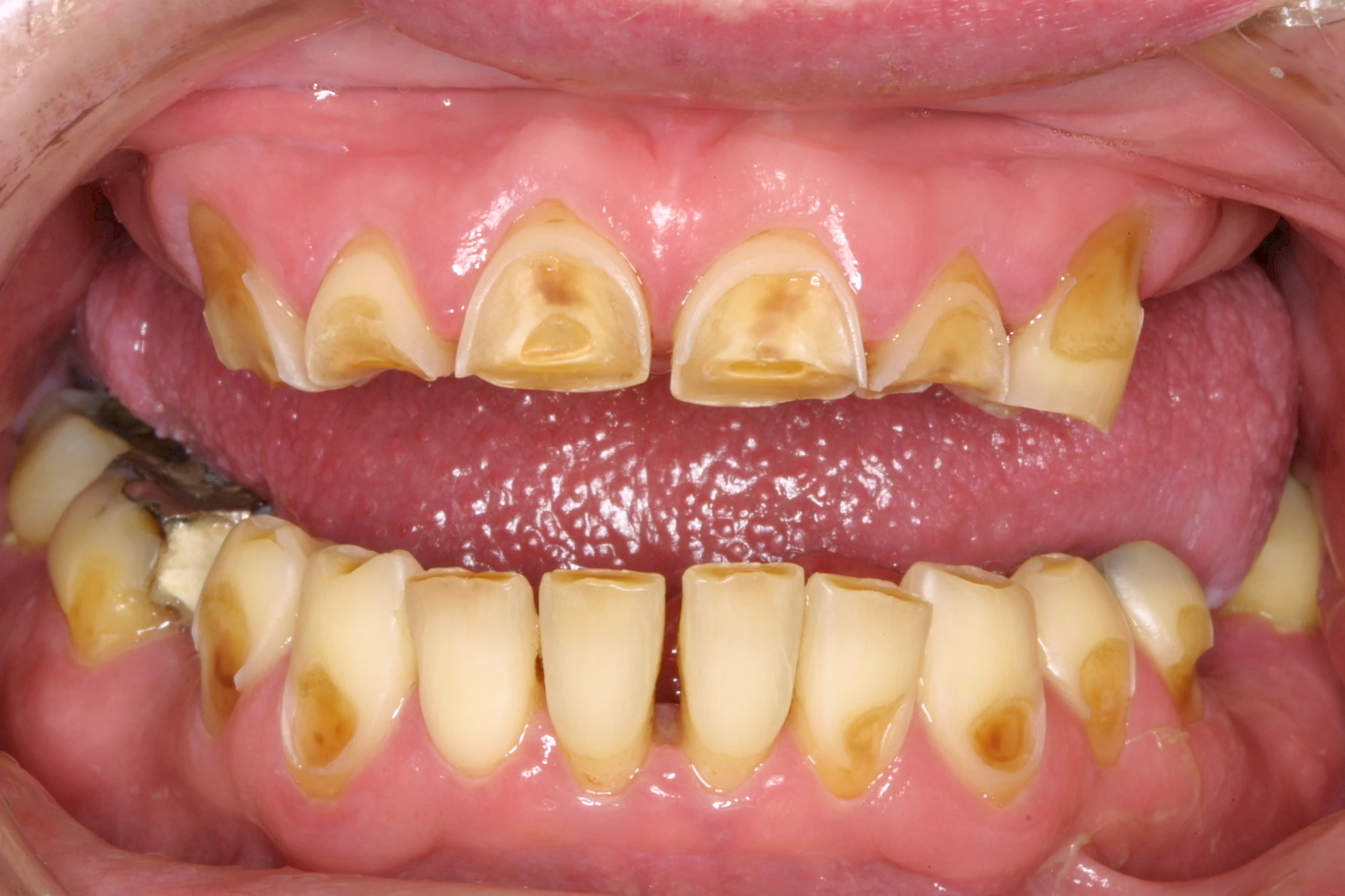
- Abnutzung durch Kauen (Abrasion) oder duch durch übermäßiges Knirschen bzw. Pressen (Attrition)
- Säurebedingte Auswaschung (Erosion)
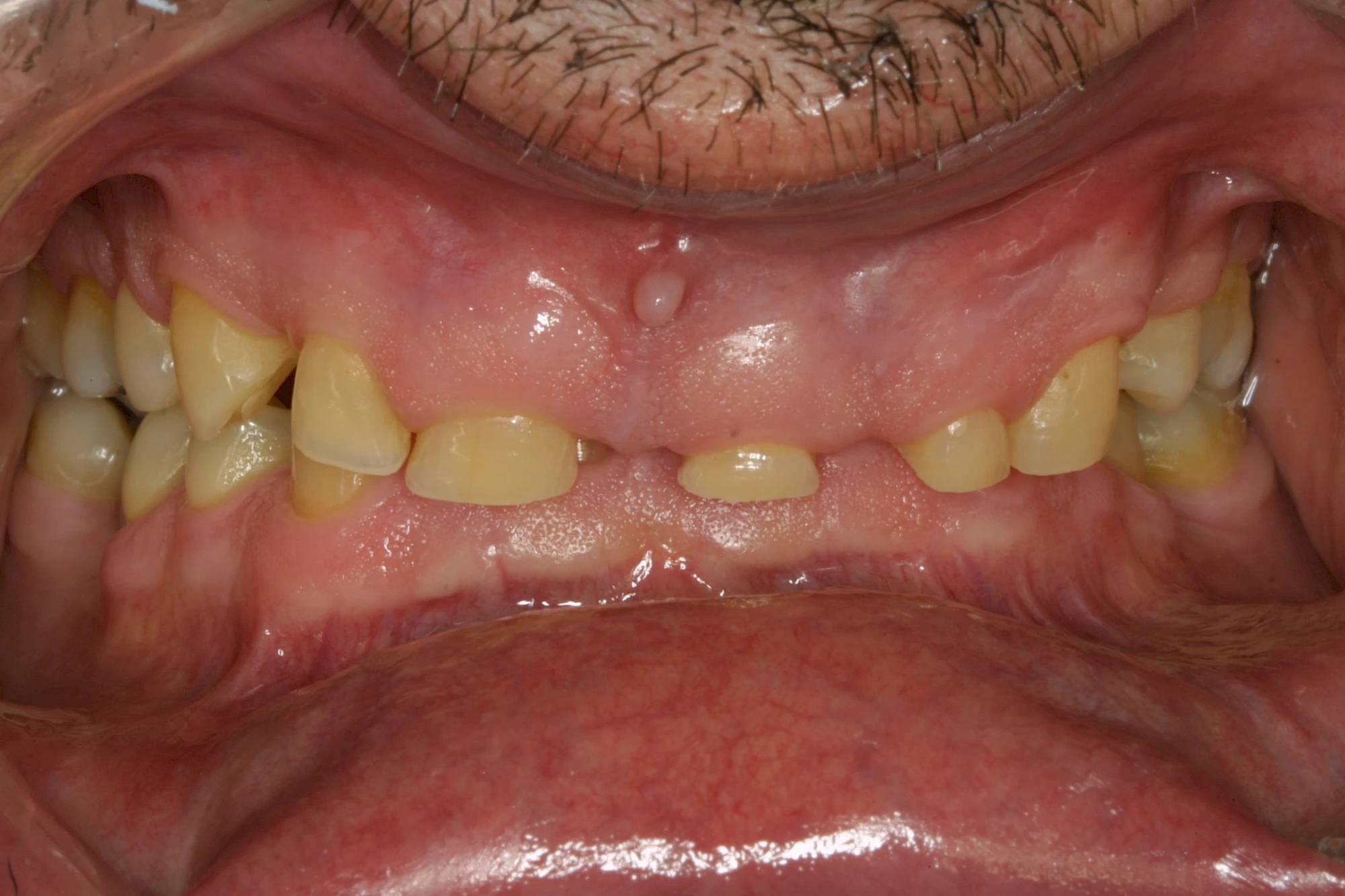
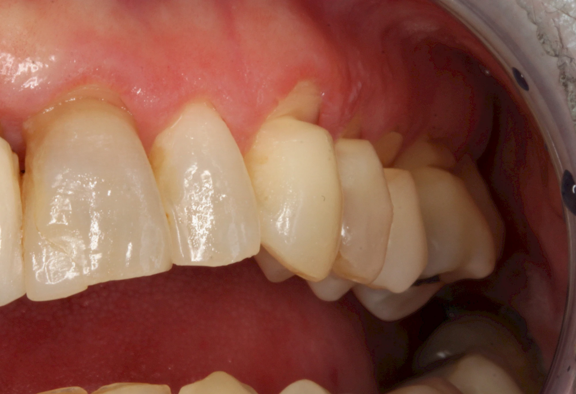
- Knirschen bzw. Pressen und ungünstige Putztechnik (Druck): keilförmige Defekte
Die Zähne können dabei auf Reize (warm, kalt, süß, sauer) oder auch beim Zähneputzen empfindlich oder schmerzhaft sein. In allen diesen Fällen ist es sinnvoll, den Zahnarzt zu kontaktieren und das weitere Vorgehen abzustimmen.
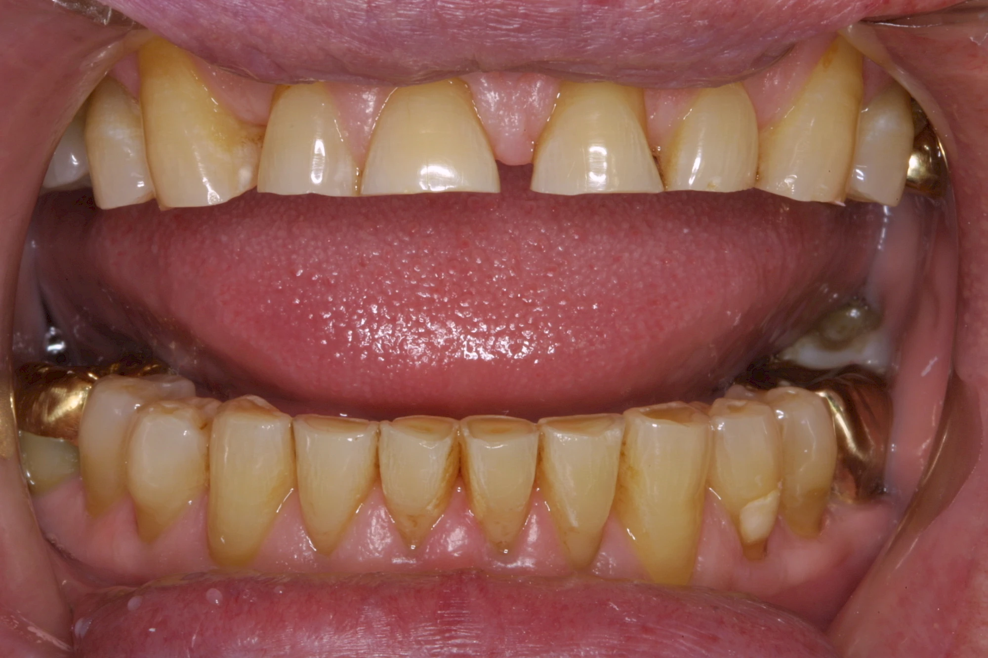
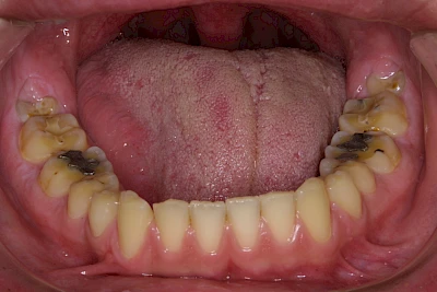
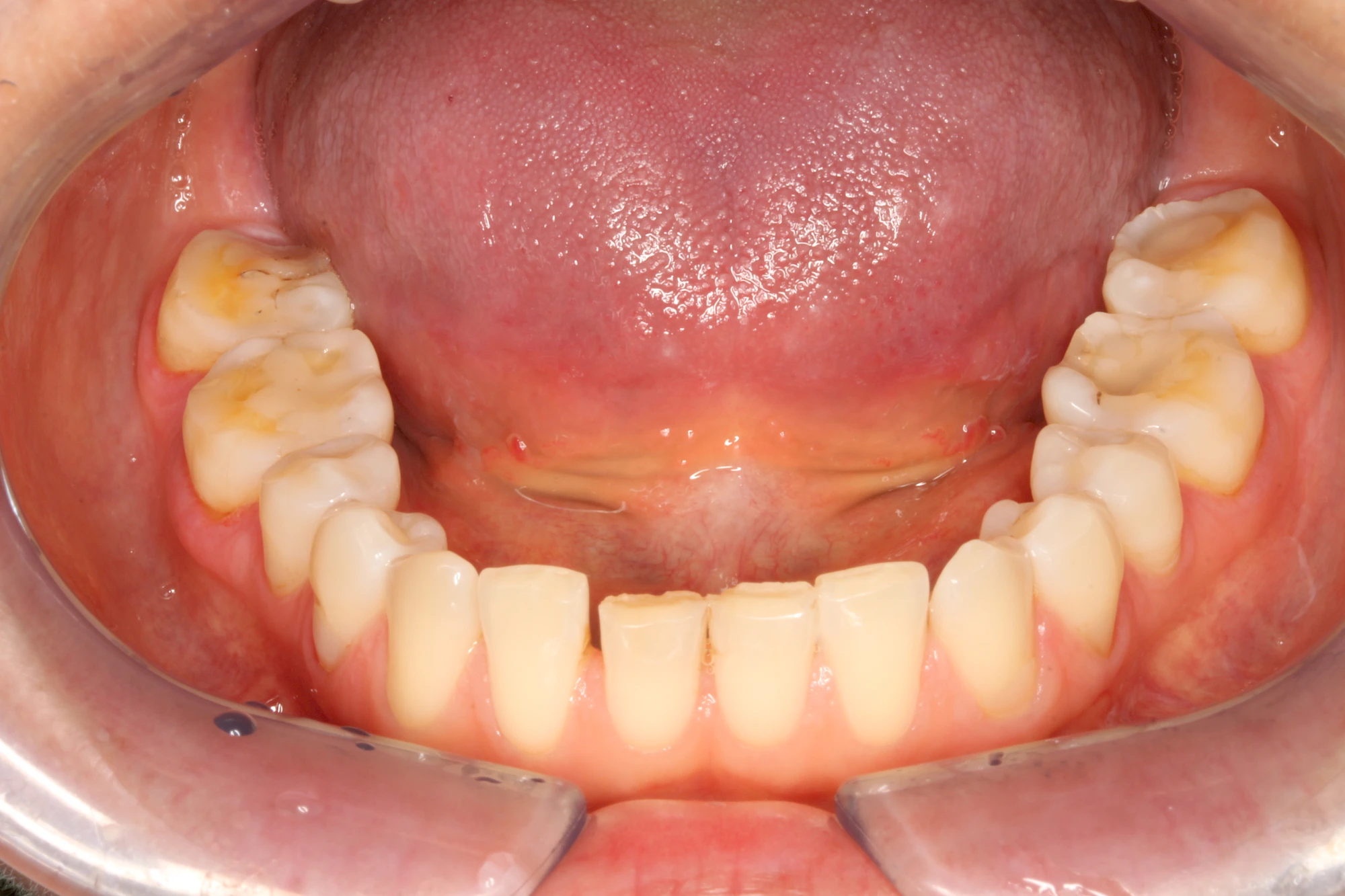
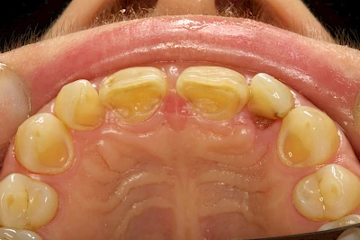
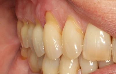
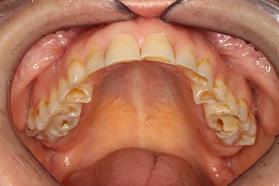
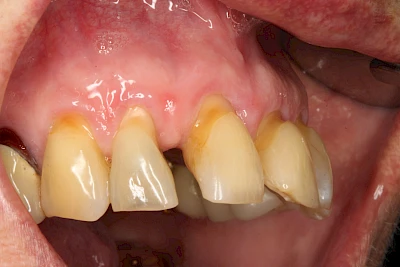
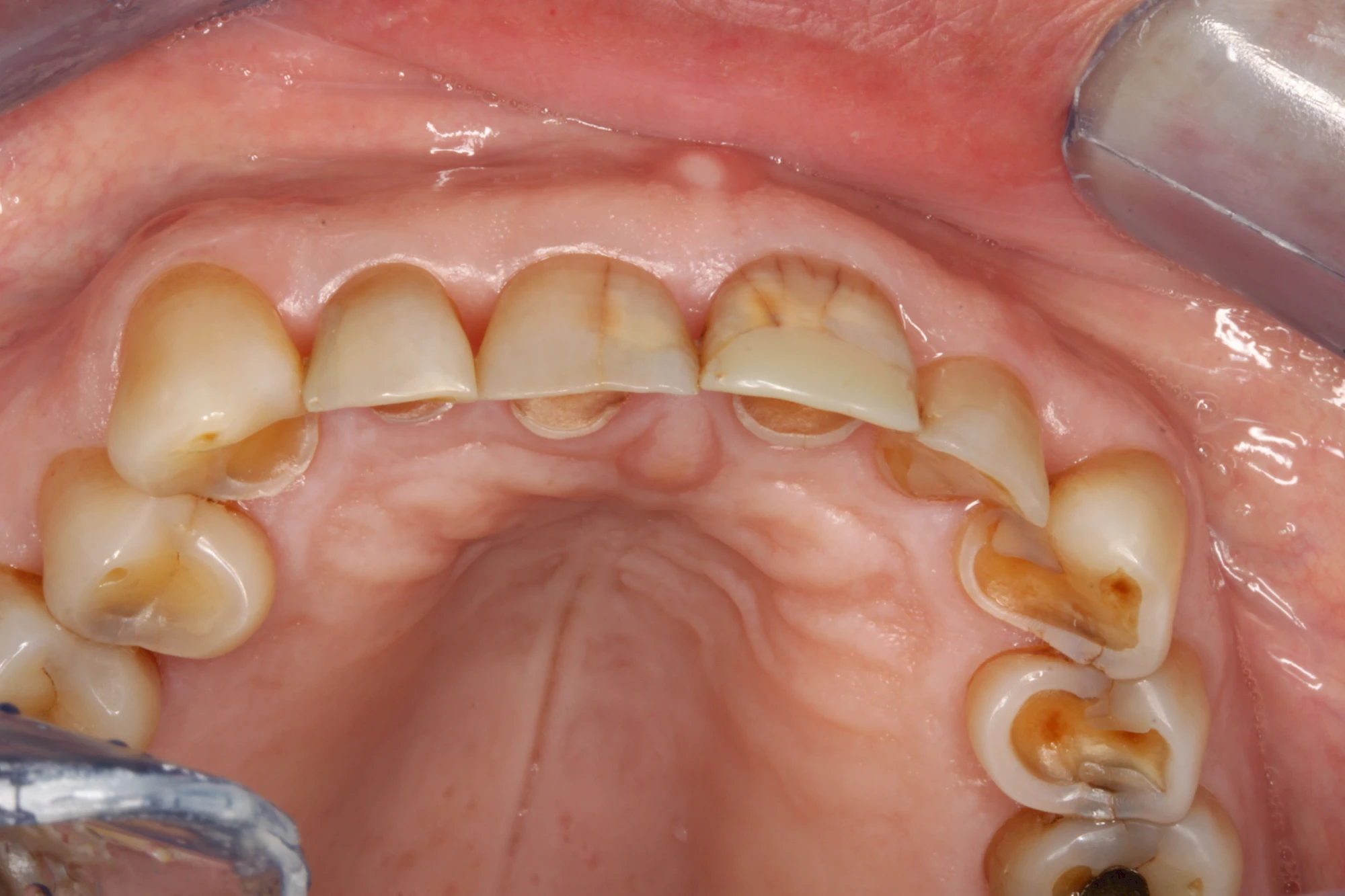
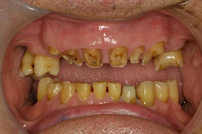
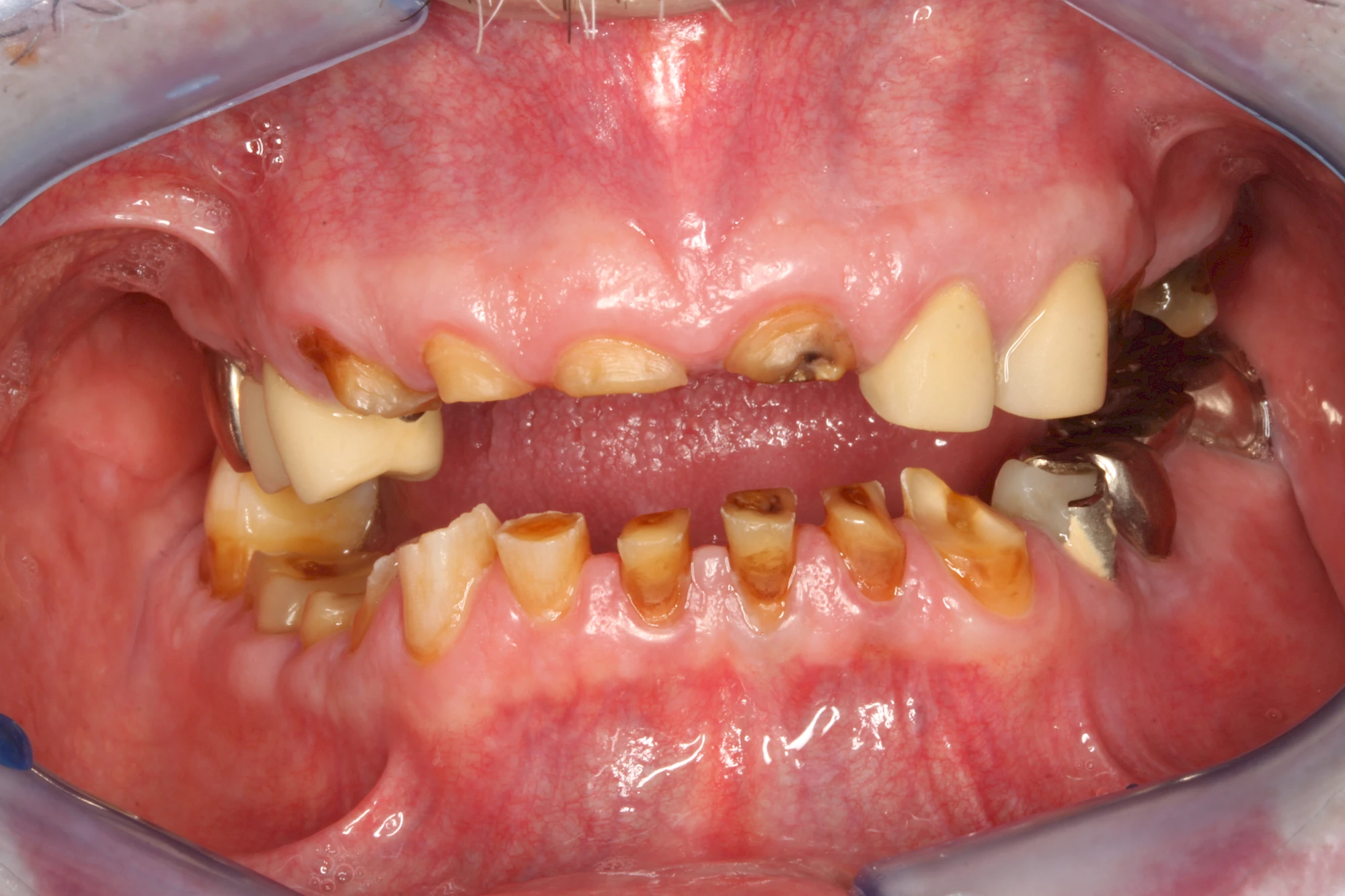
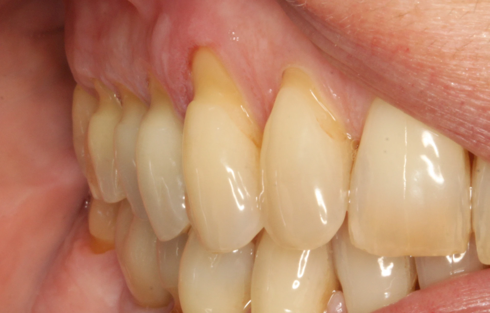
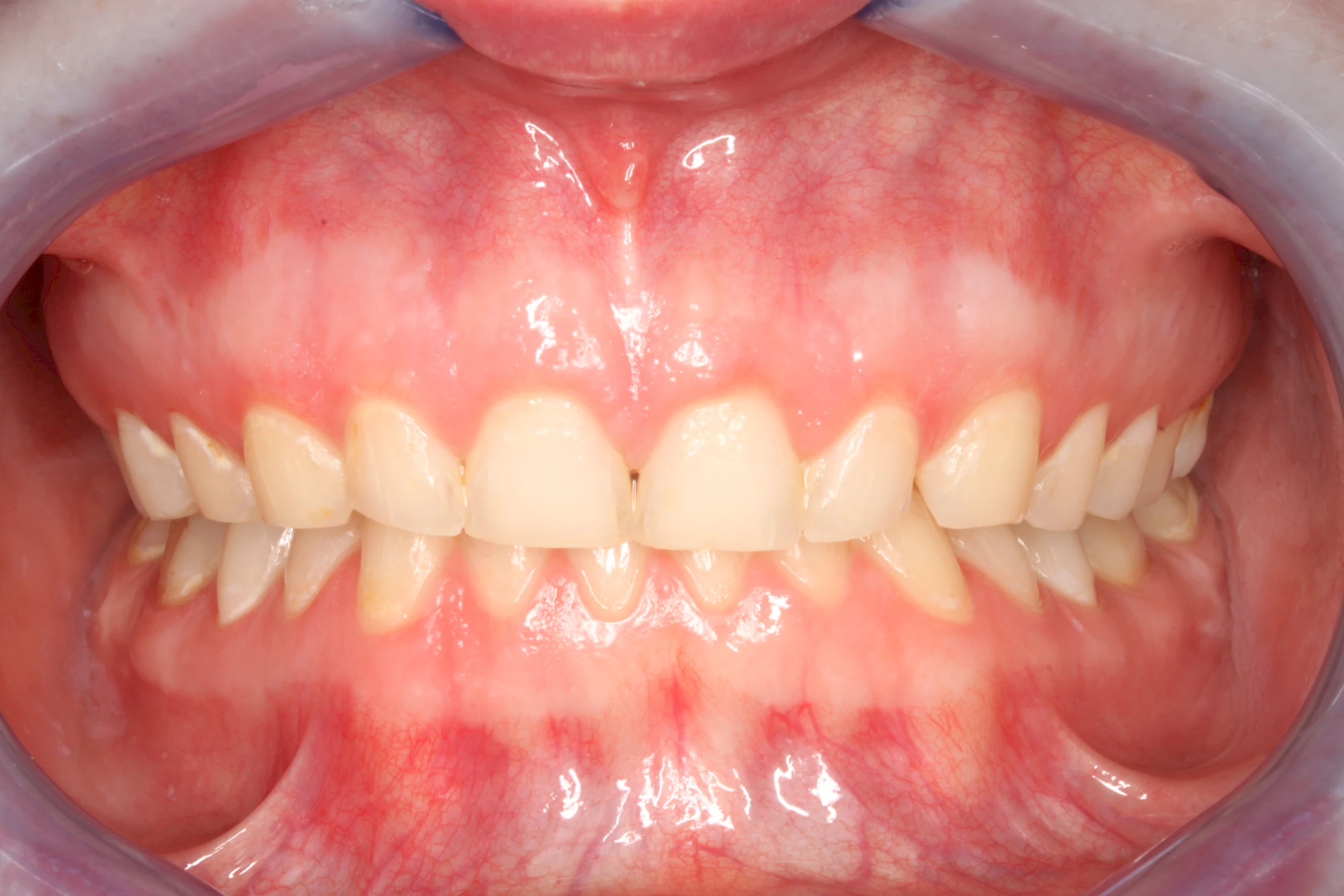
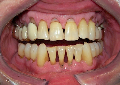
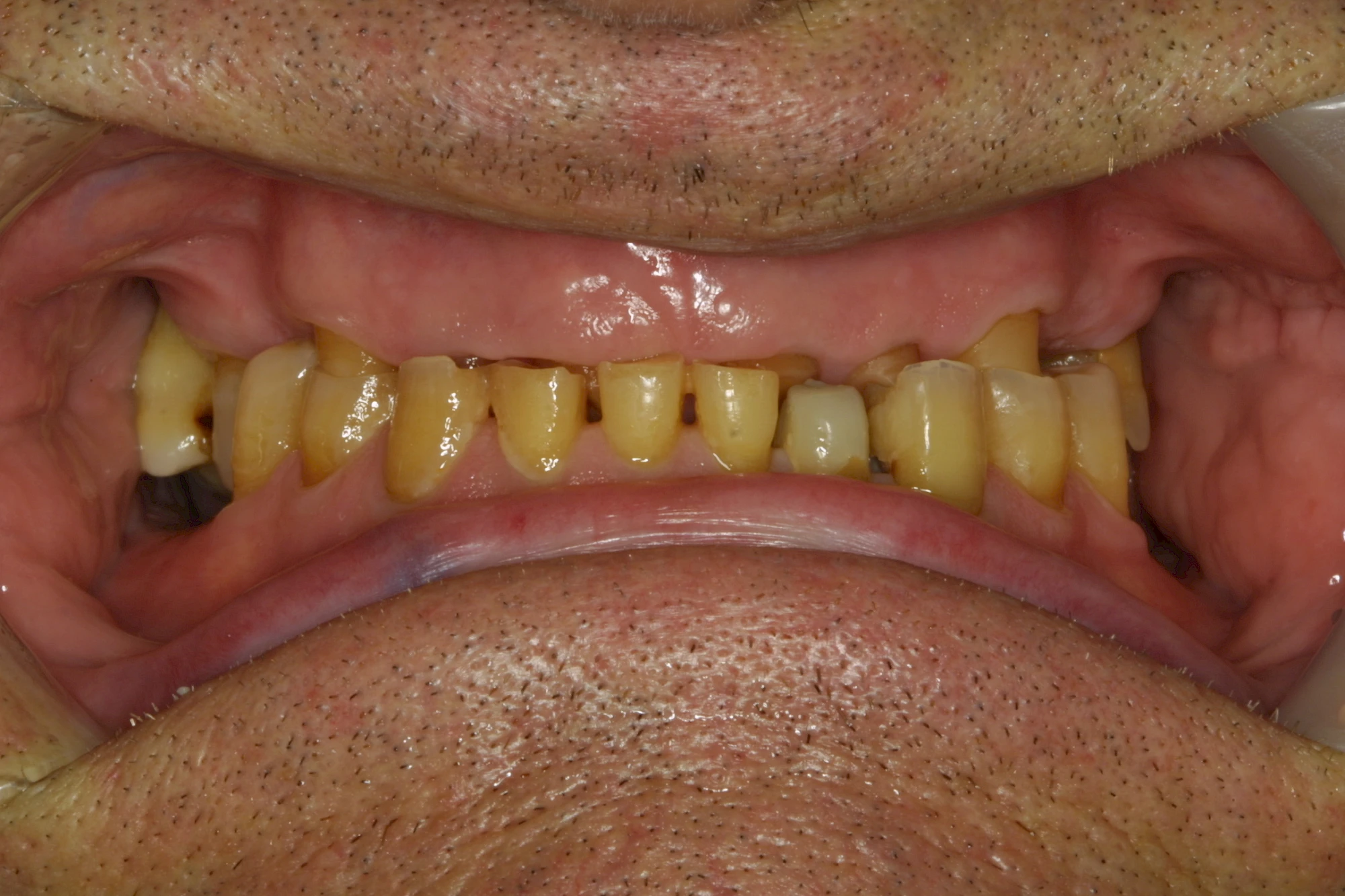
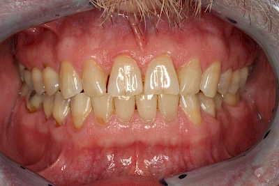
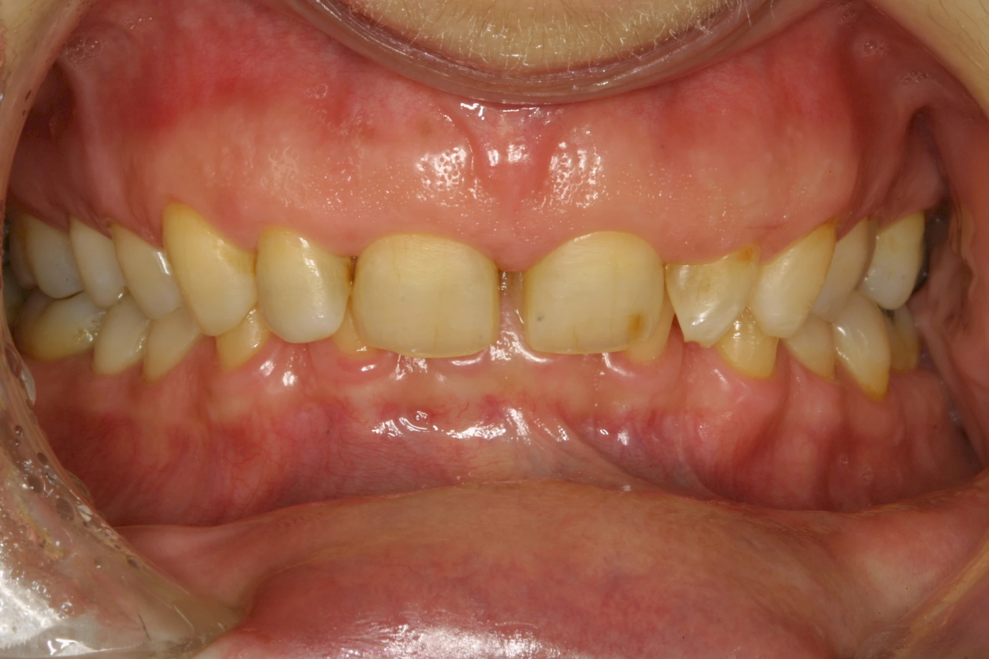
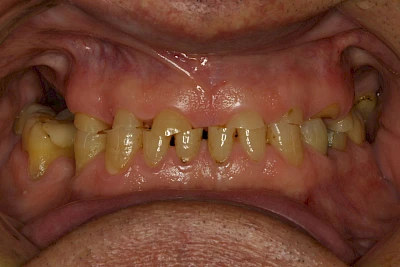
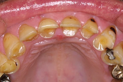
Auswaschung
Auswaschung (Erosion) dagegen ist eine Verschleißerscheinung der Zähne aufgrund von immer wiederkehrenden Säureangriffen durch die Nahrung, verstärkt zum Beispiel durch den Genuss säurehaltiger Getränke oder Speisen. Auch bei Menschen mit einer Essstörung (z. B. Bulimie) können die Zähne durch die Magensäure ausgewaschen erscheinen.
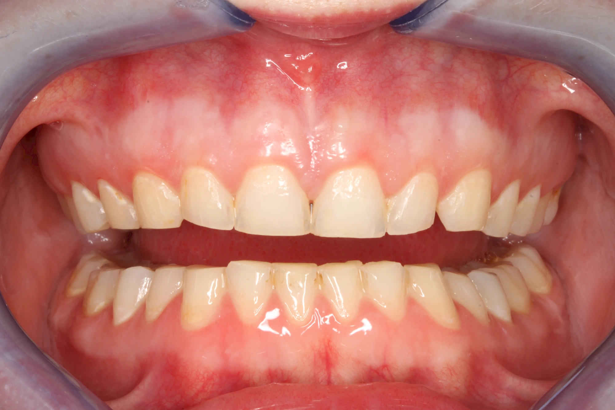
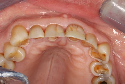
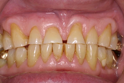
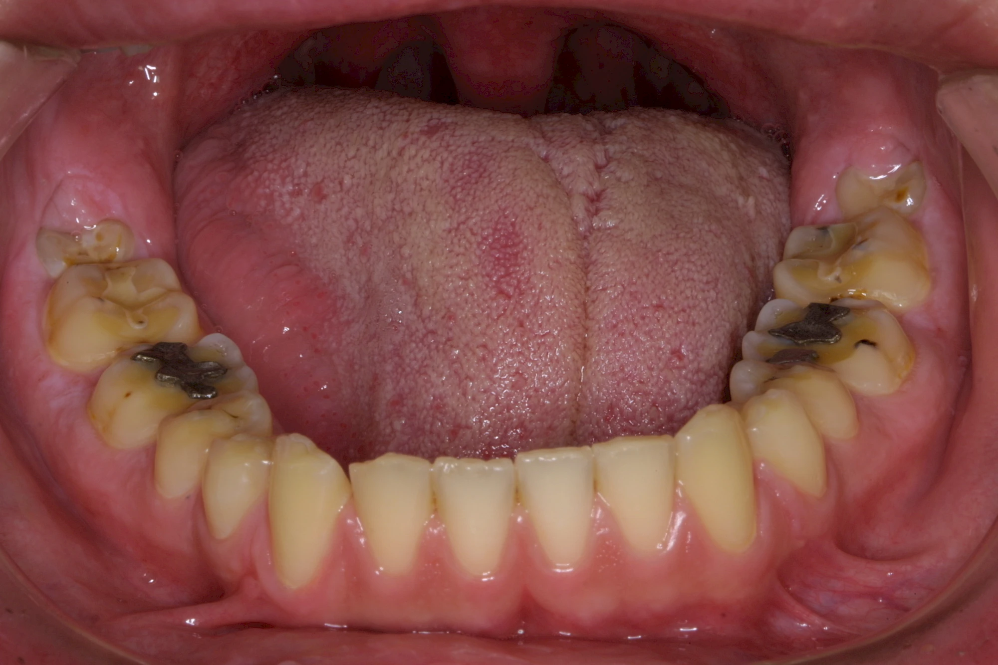
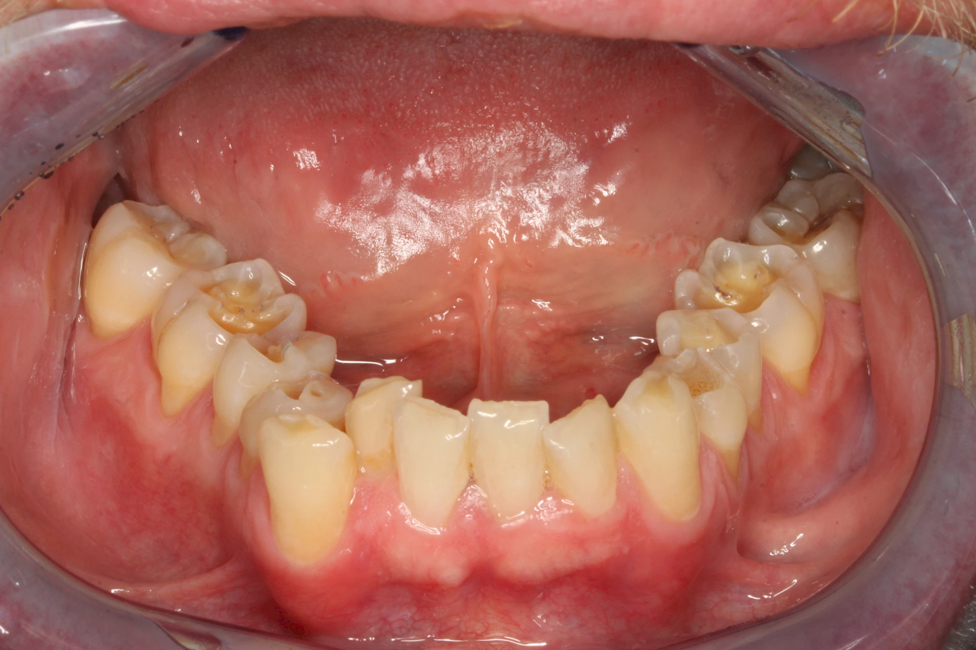
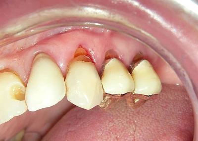
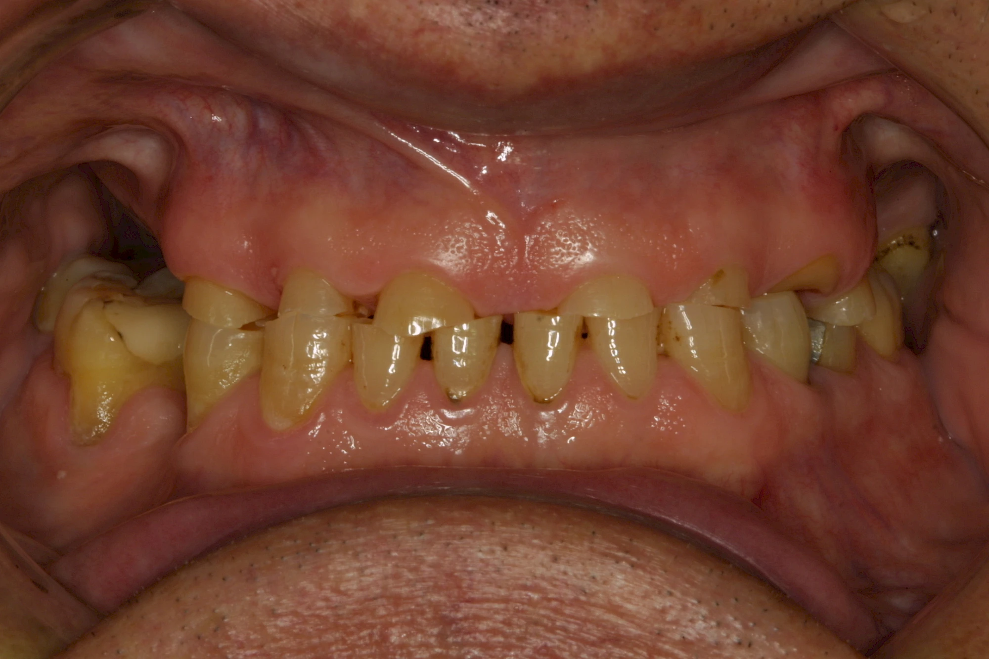
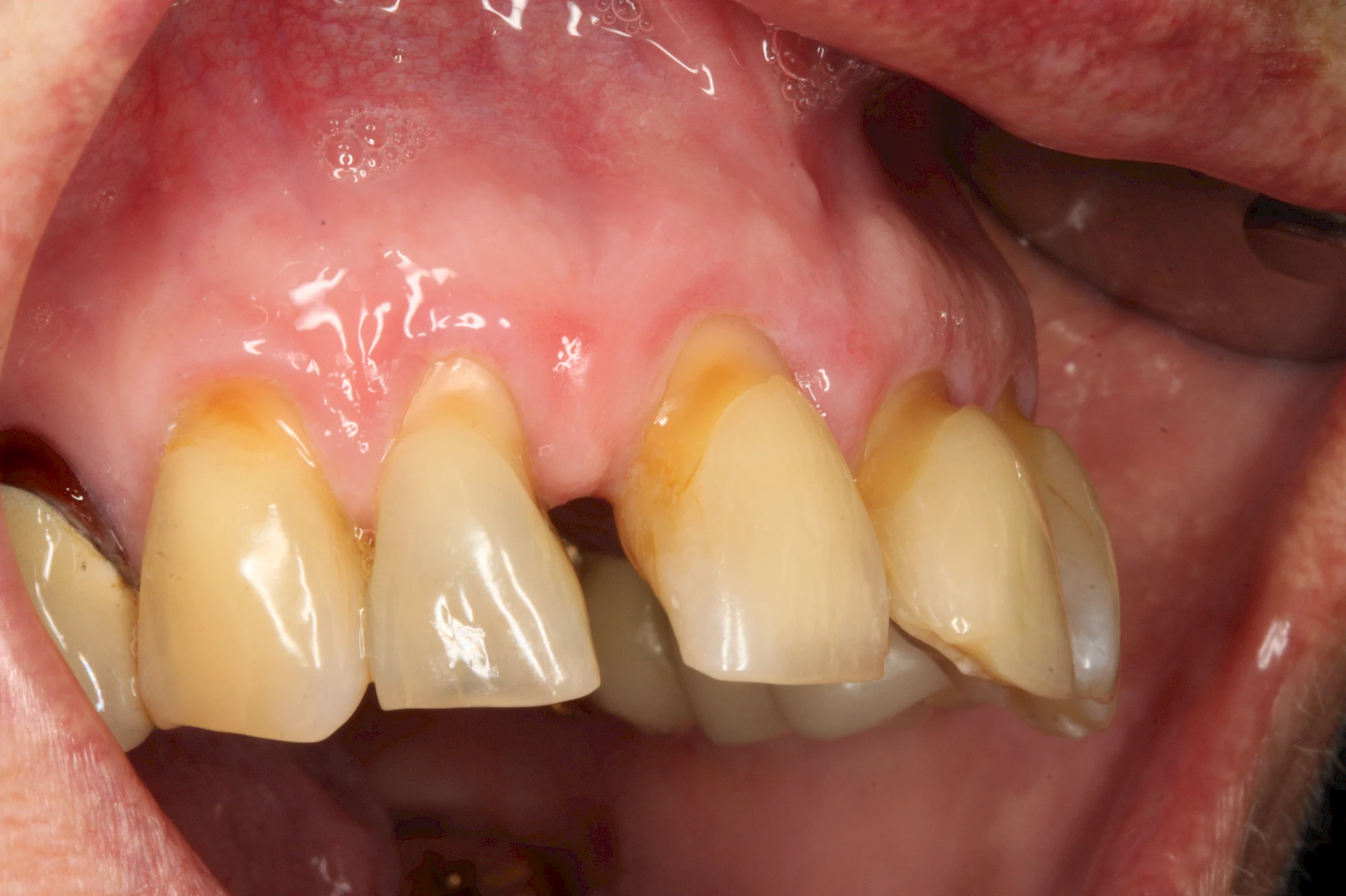
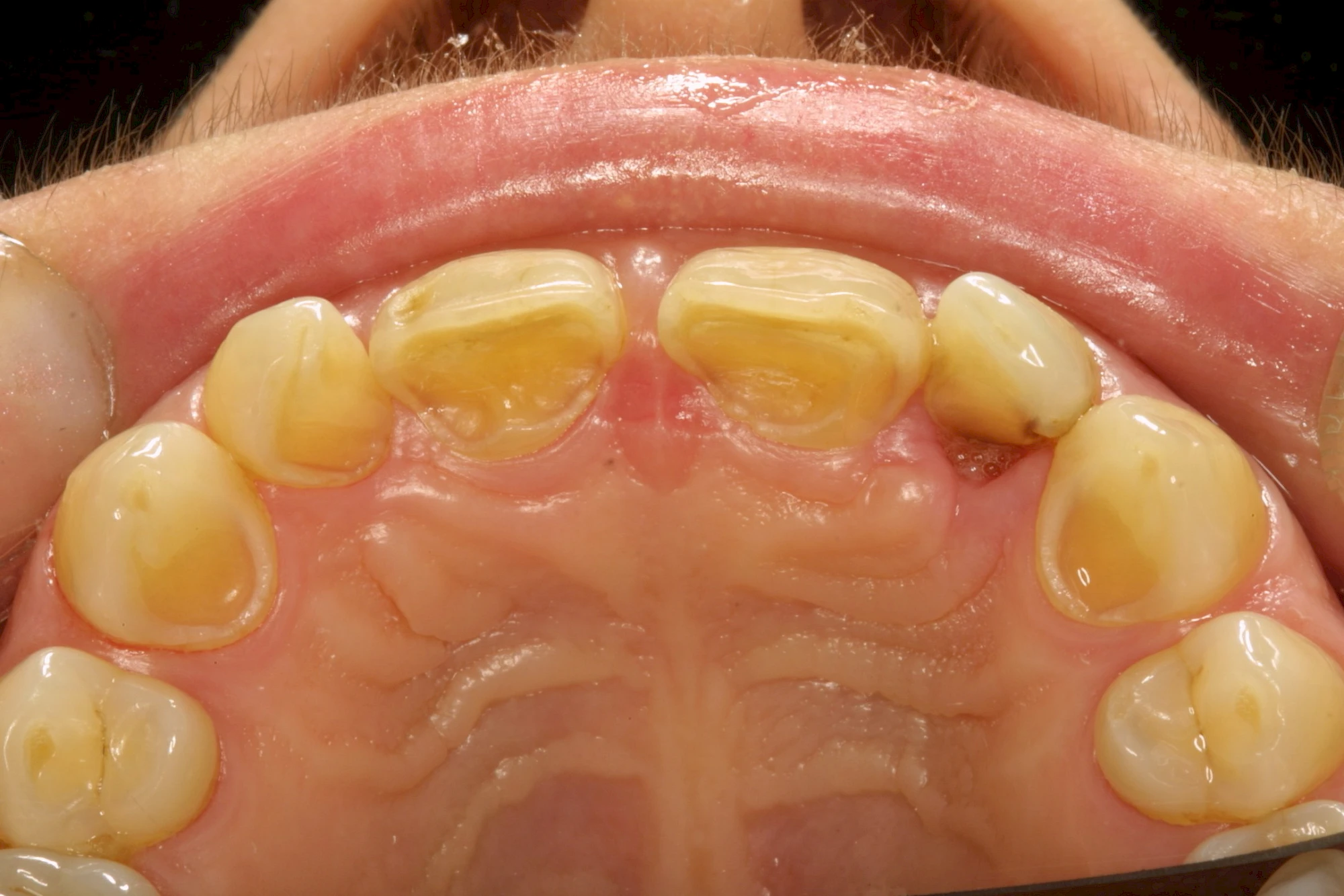
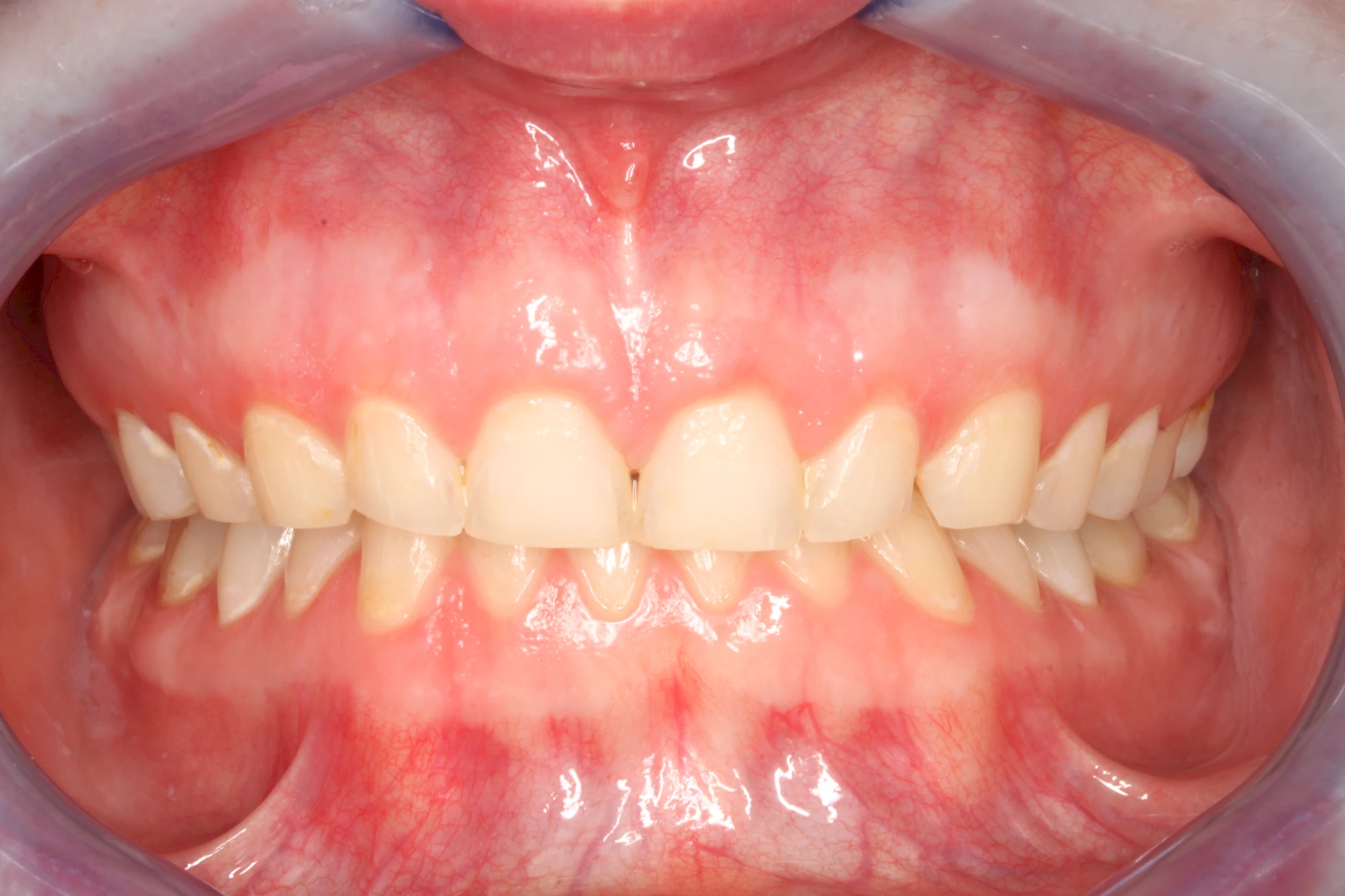
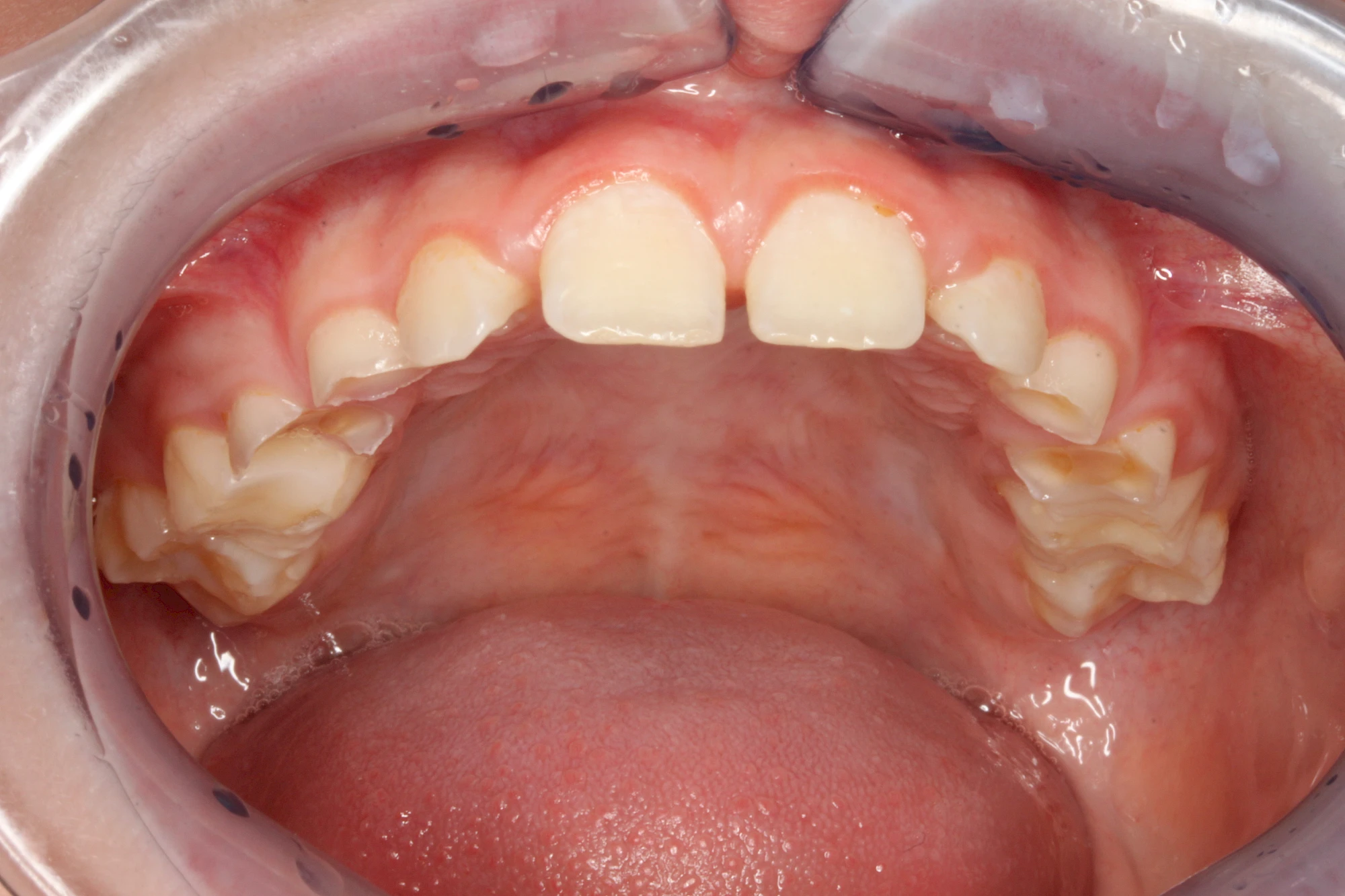
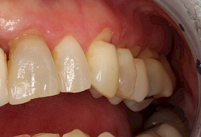
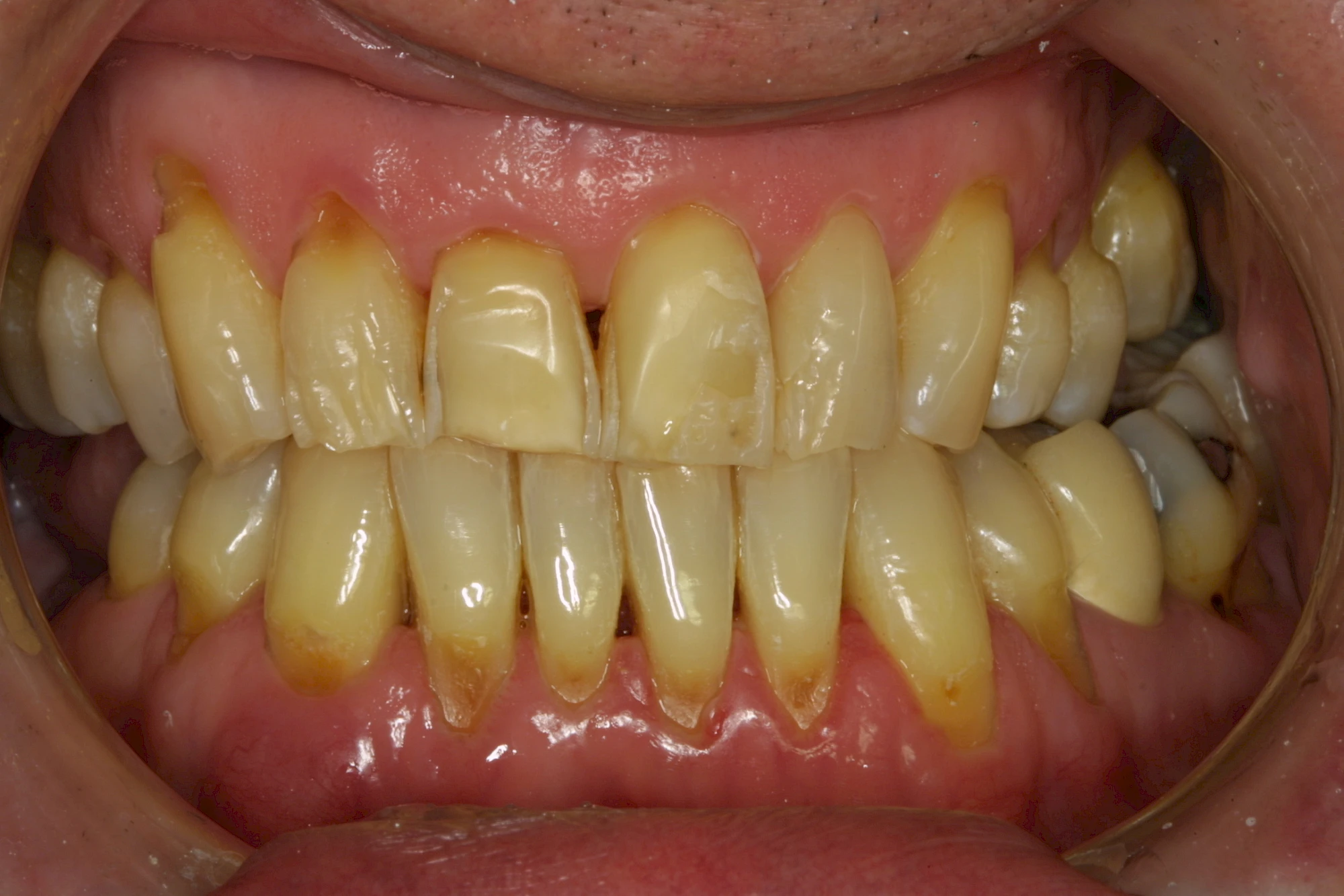
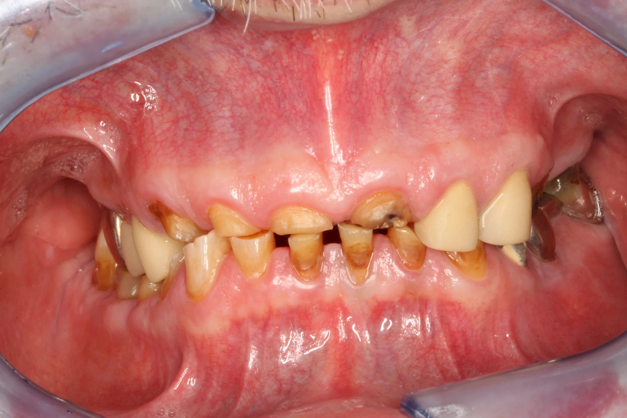
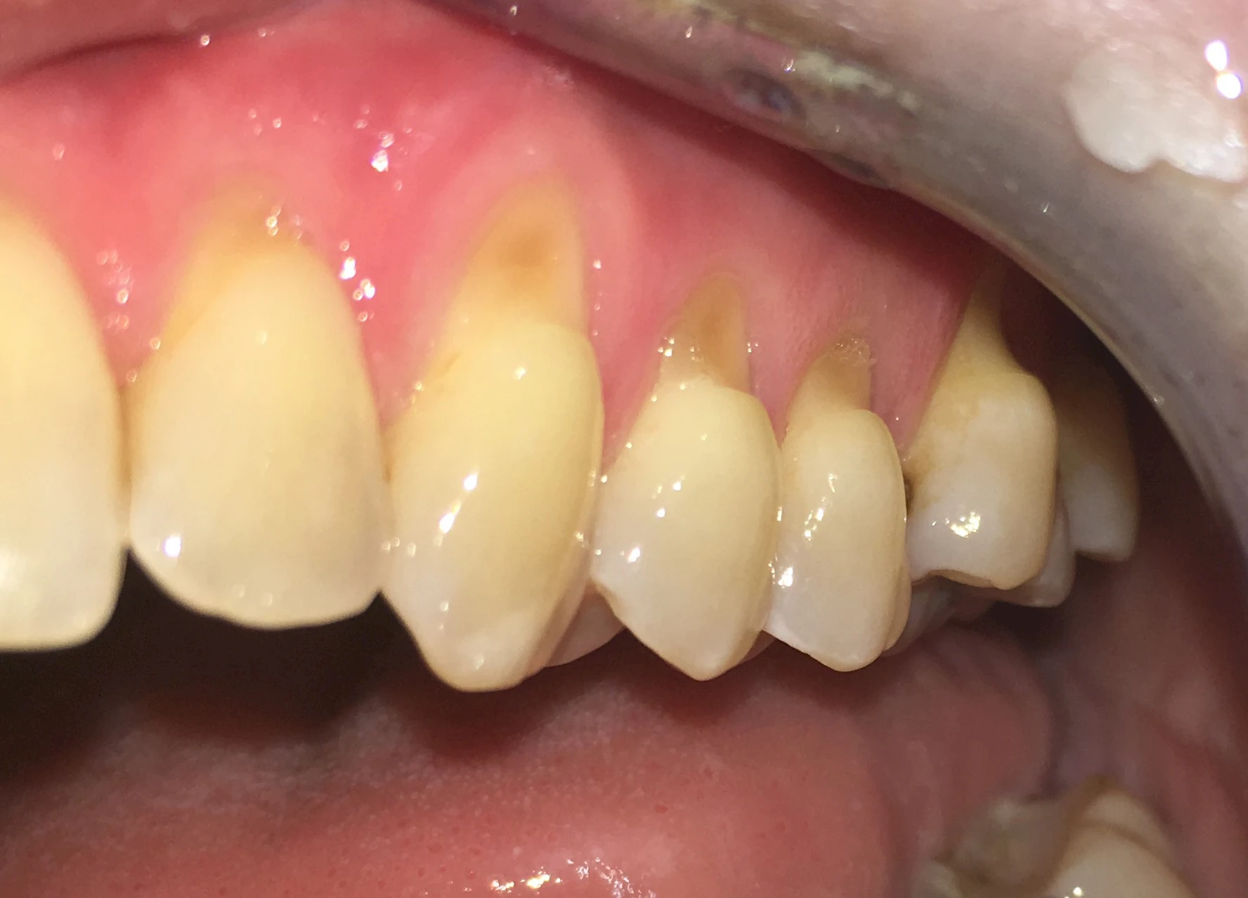
Keilförmiger Defekt
Eine Sonderform sind sogenannte keilförmige Defekte im Bereich der Zahnhälse. Hier geht man davon aus, dass Knirschen und Pressen in Kombination mit falschen Putzgewohnheiten (zu hoher Putzdruck, Verwendung von Zahnpasta mit hohen Abrasionswerten) eine Rolle spielen.
Diese Seite wurde zuletzt am 07.10.2025 geändert.