
- Startseite >
- >
- Auffälligkeiten im Mund >
- Zahn, Füllung, Krone & Brücke >
- Karies & Kreidezähne
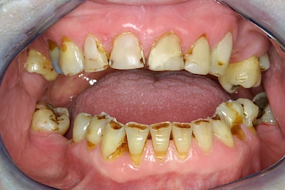
Karies & Kreidezähne
Zahn, Füllung, Krone & Brücke
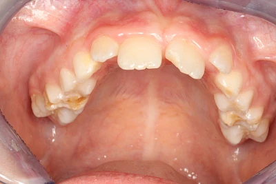
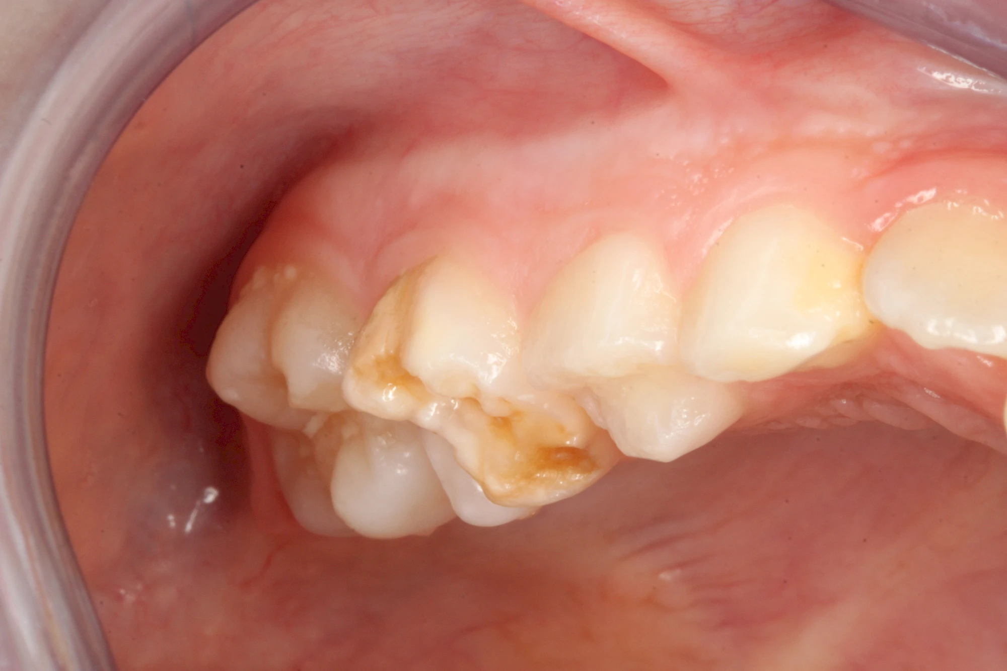
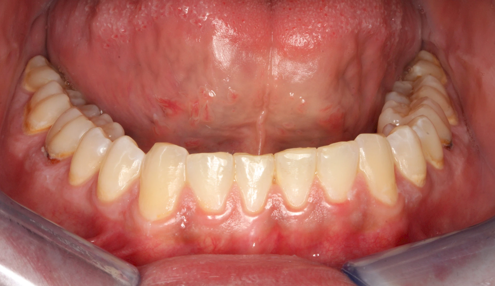
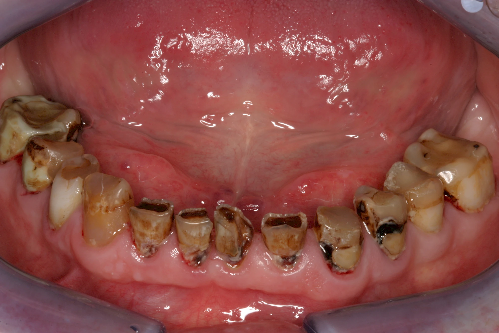
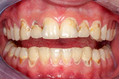
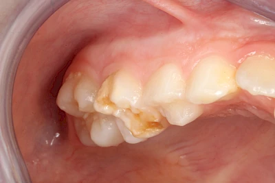
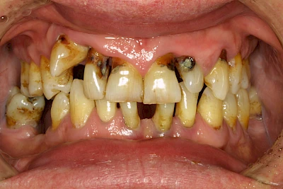
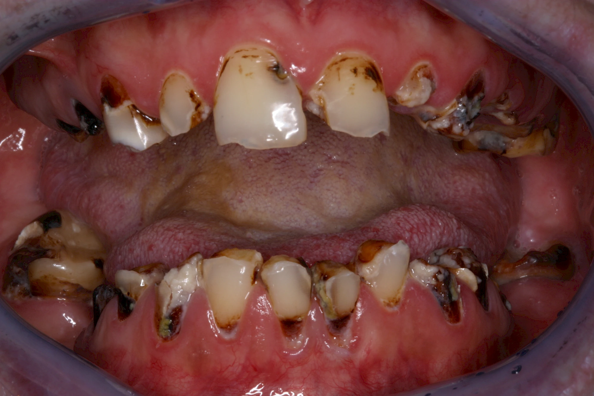
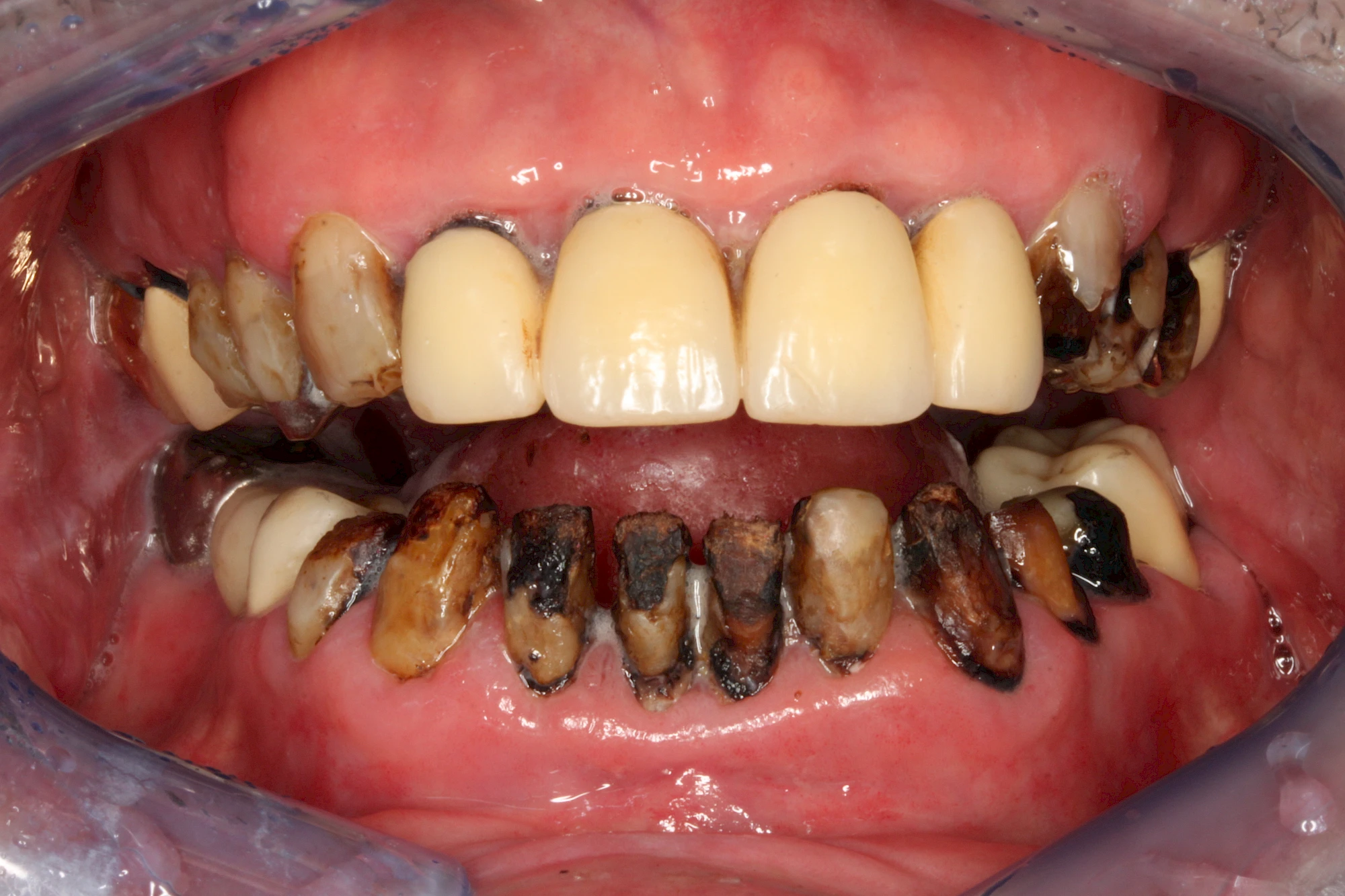
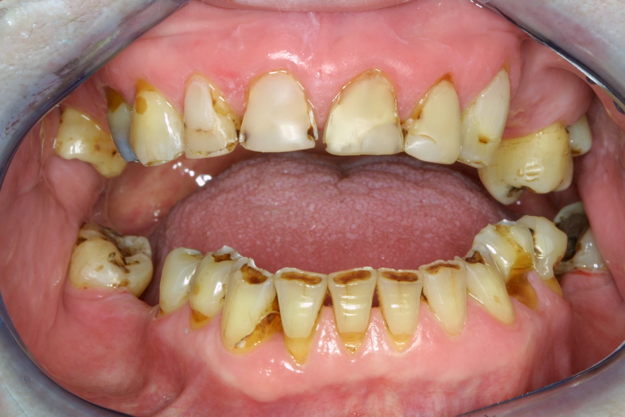
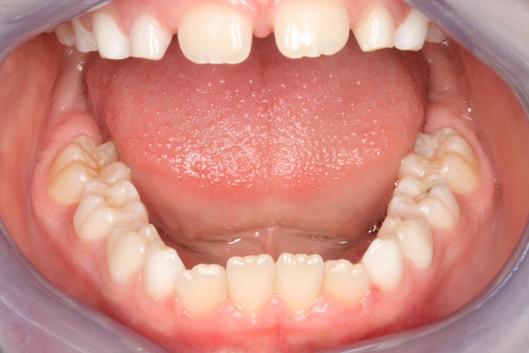
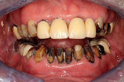
Karies oder Kreidezähne fallen auf durch:
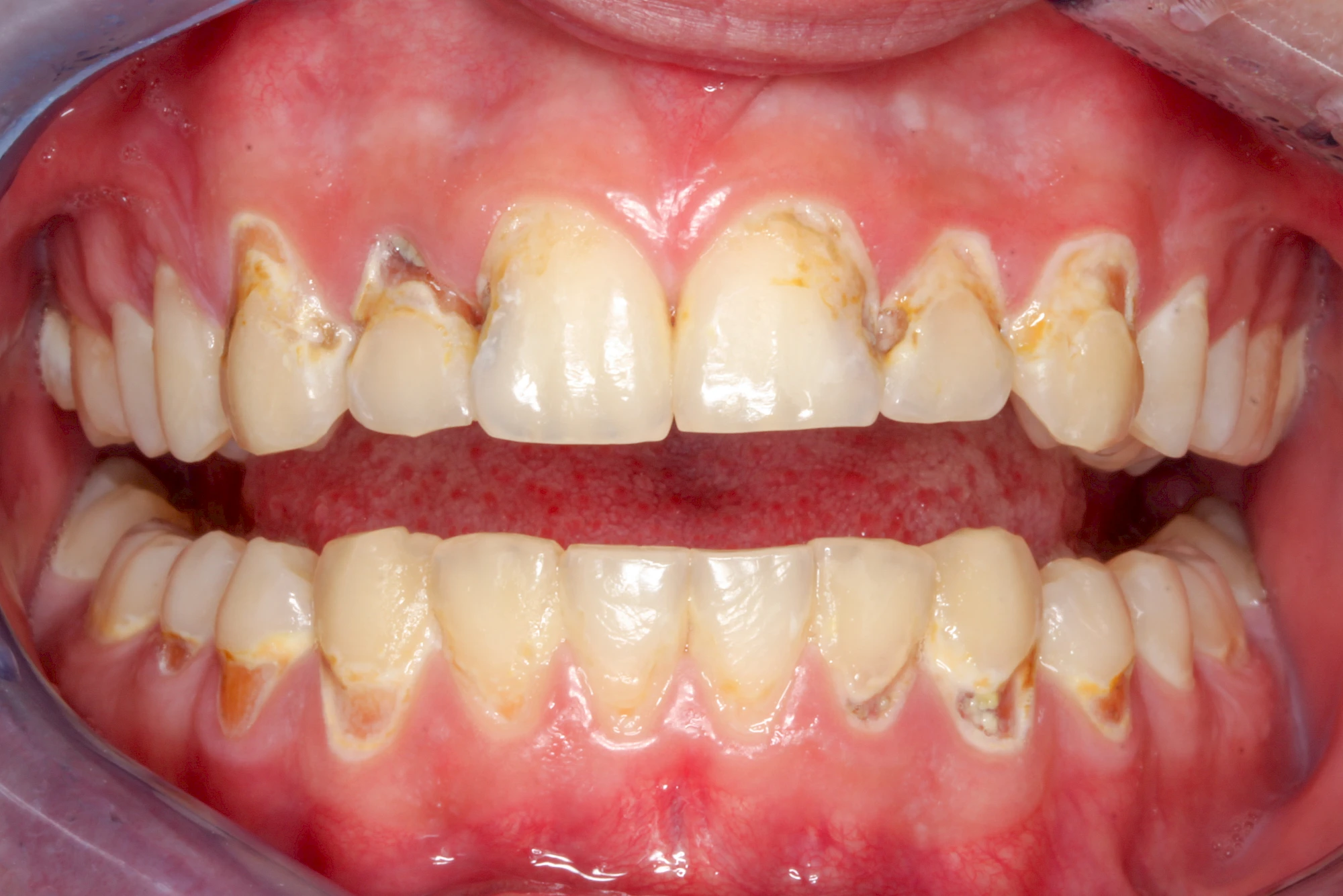
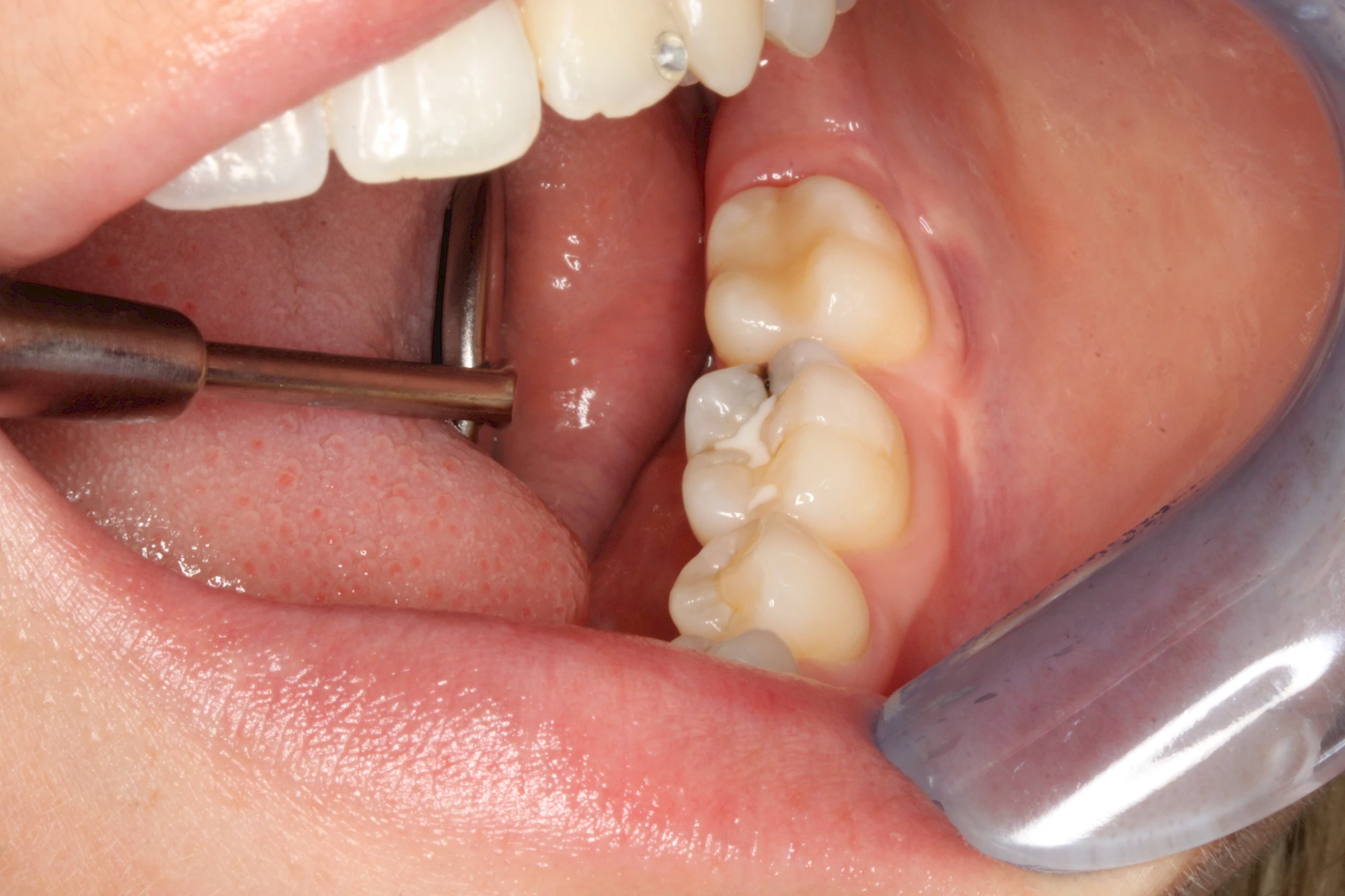
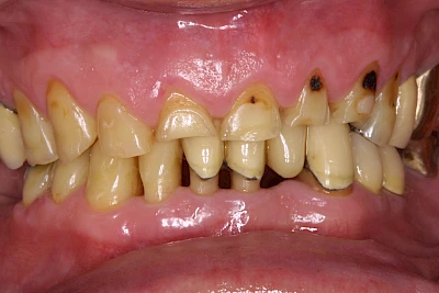
- Defekte (Löcher) in der Zahnoberfläche
- Gelblich-bräunliche Verfärbung
- Karies: Oberfläche wirkt eher weich und "ledrig"
Entstehung
Karies ist ein Demineralisationsprozess der Zähne, bei dem bestimmte Bakterien Zucker zu Säuren verstoffwechseln und diese Säuren über die Zeit die mineralische Zahnoberfläche anlösen.
Bestimmte Bakterien (Mutans-Streptokokken und Laktobazillen) in der Plaque bzw. dem Biofilm auf der Zahnoberfläche benötigen Zucker (z. B. aus der Nahrung) für ihren Stoffwechsel. Dabei entstehen Säuren. Diese Säuren werden von den Bakterien an die Umgebung abgegeben. Über die Zeit lösen die Säuren die mineralischen Zahnoberflächen auf (Demineralisierung). Diesen Prozess bezeichnet man als Karies.
Zudem vermehren sich mit der Zeit die Bakterienarten, die in der zunehmend sauren Umgebung gut leben können (Selektionsvorteil), die Säurekonzentration steigt weiter an, und die Karies schreitet immer schneller voran.
Alle Süßigkeiten und versteckten Zucker in der Nahrung (z. B. in Ketchup, Joghurt, …) können bei unzureichender Mundhygiene Karies verursachen.
Karies ist vermeidbar!
Durch regelmäßige Mundhygiene bzw. Mundpflege sowie durch angepasste Ernährungsgewohnheiten (Zuckerimpulse) kann Karies vergebeugt werden. Karies ist also keine Infektionserkrankung.
Karies: Entstehung
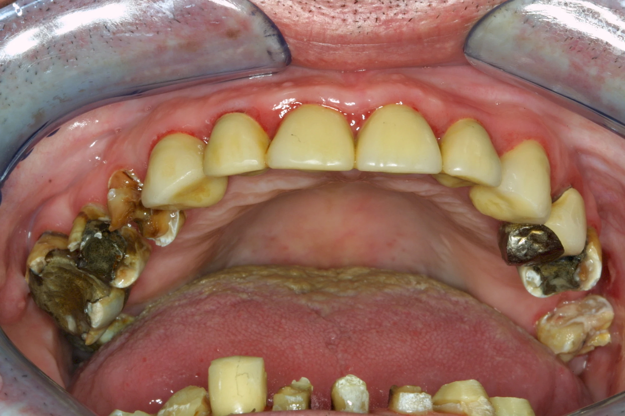
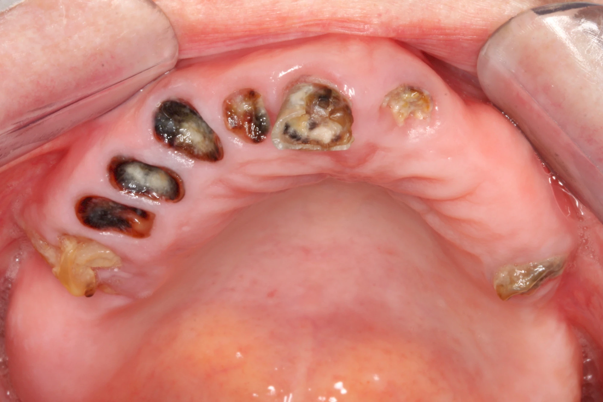
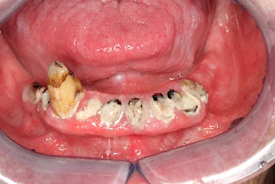
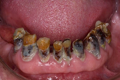
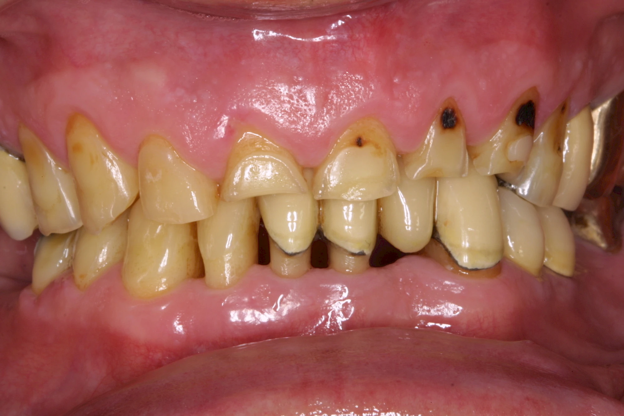
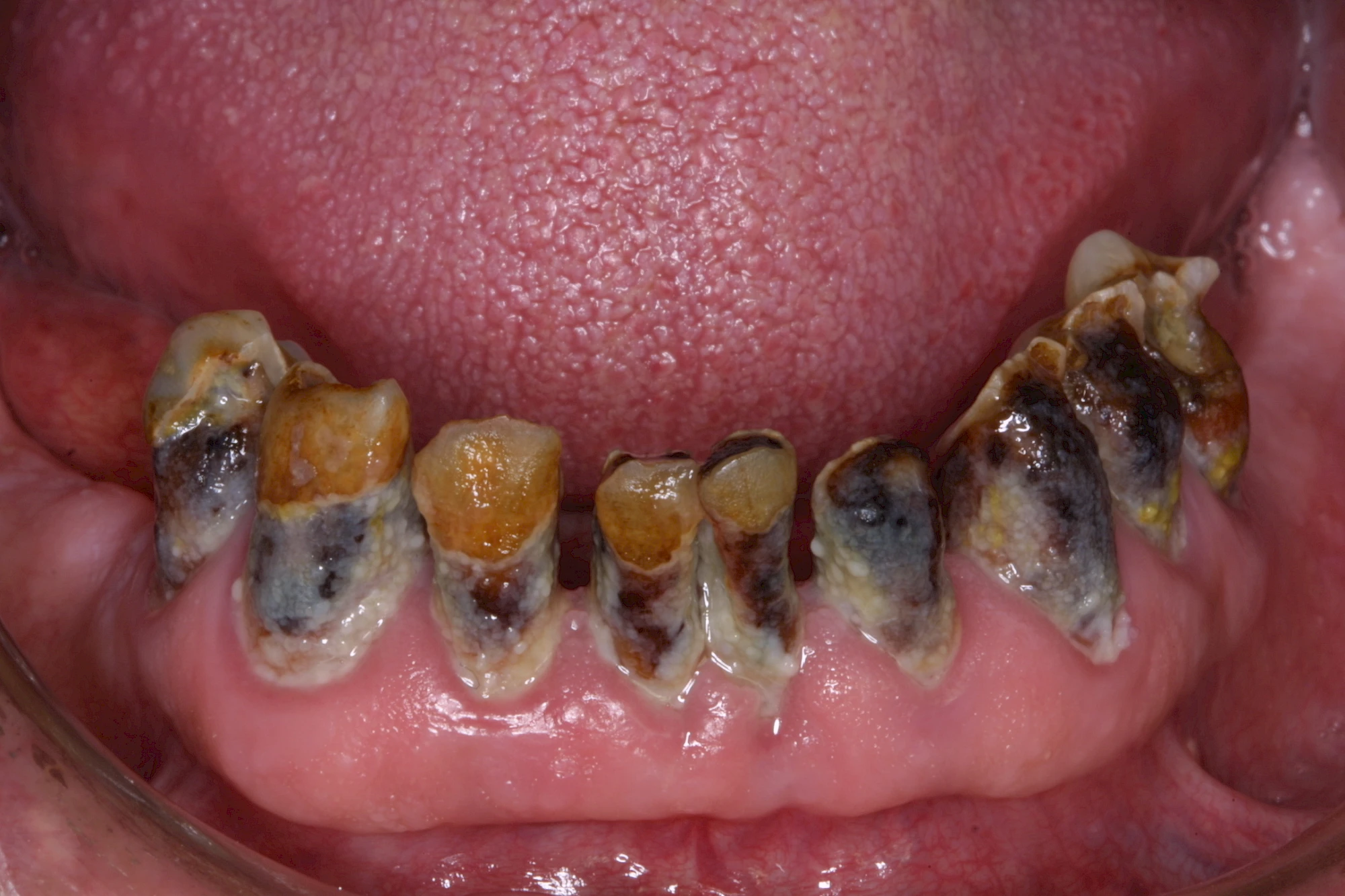
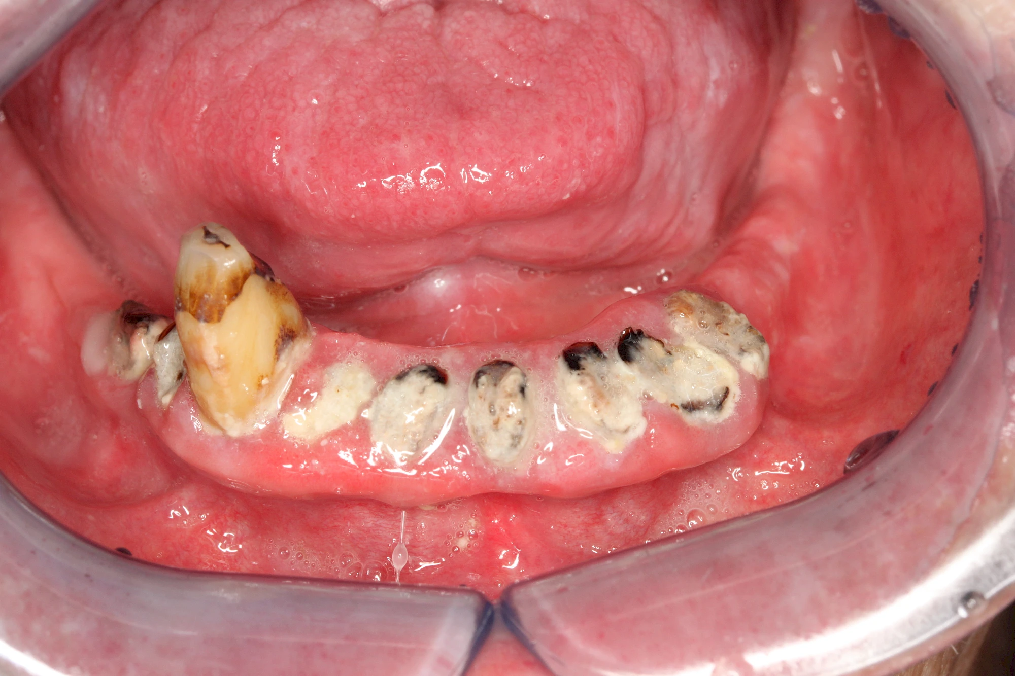
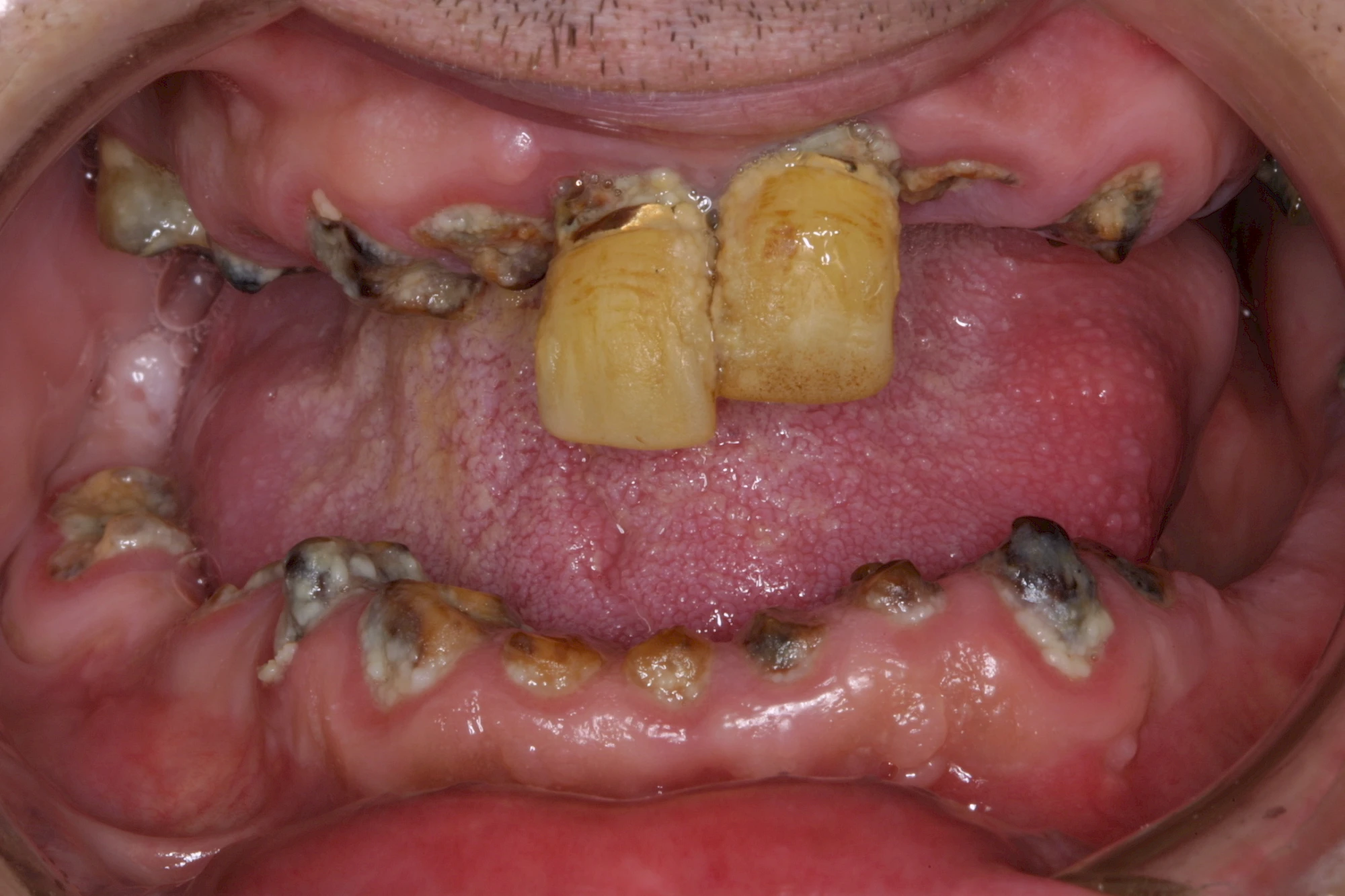
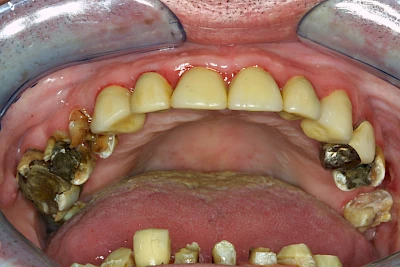
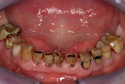
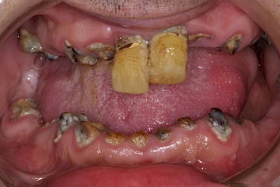
Wird ein kariöser Prozess lange nicht bemerkt oder aber aufgrund besonderer Umstände wie z. B. der Einnahme von Medikamenten, die den Speichelfluss mindern, besonderer Erkrankungen wie Depression und in der Folge die Vernachlässigung der Mundhygiene oder besonderer Behandlungen wie einer Strahlentherapie im Kopf-Hals-Bereich können in kurzer Zeit starke kariöse Schäden an den Zähnen verursachen. Ist die gesamte Zahnkrone zerstört und nur noch die Wurzel im Knochen sichtbar, spricht man von Wurzelresten.
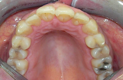
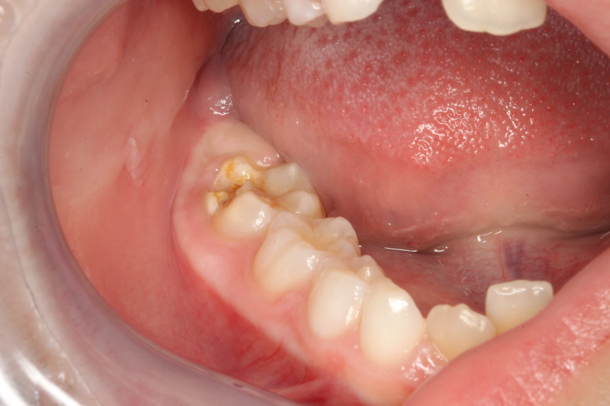
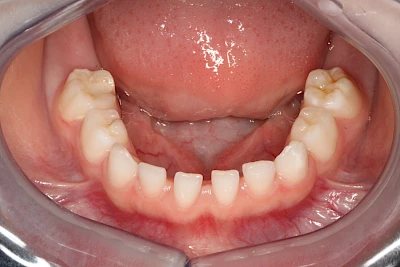
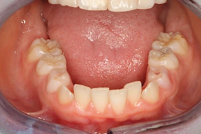
Prädilektionsstellen
In den Nischenbereichen der Zähne kommt es bevorzugt zu Karies (Prädilektionsstellen):
- Zahnzwischenräume (approximal)
- Vertiefungen der Zähne (Fissuren & Grübchen)
- Zahnhälse (zervikal)
- Füllungsrändern
Karies entsteht selten im Bereich der Glattflächen außen oder innen an den Zähnen – hier kommt die Zahnbürste gut hin und die Selbstreinigungsmechanismen (Abgleiten der Speisen beim Kauen, Zungenreinigung und Speichel) sind hier besser wirksam.
Karies: Prädilektionsstellen
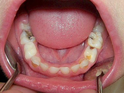
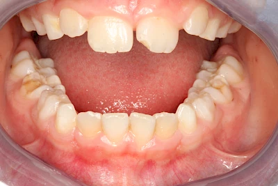
Karies bei Kindern
Bei Kindern unter 3 Jahren spricht man von Fläschchenkaries (Nuckelkaries), weil häufig nicht beachtet wird, dass auch Säfte und gesüßte Tees viel Zucker enthalten und das Fläschchen regelmäßig über den ganzen Tag gegeben wird. Aber selbst wenn nur Wasser im Fläschchen gegeben wird, kann an den Schneidezähnen im Oberkiefer Karies entstehen. Wenn den ganzen Tag über am Fläschchen genuckelt wird, verhindert das ständige Umspülen der Zähne mit Wasser, dass der Speichel die Zahnoberflächen wieder regenerieren kann.
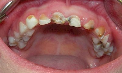
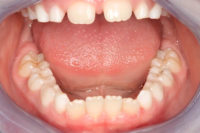
Kreidezähne (MIH)
Kreidezähne zeigen die typischen Veränderungen (gelblich-bräunliche Verfärbungen, Unregelmäßigkeiten in der Oberfläche) bereits ab dem Zahndruchbruch und sind nicht wie bei Karies durch Bakterien verursacht. Die genauen Ursachen sind noch nicht geklärt, im Verdacht stehen Weichmacher in Kunststoffen, die auf die Zähne bei Ihrer Entstehung und Reifung im Kieferknochen wirken.
Die sogenannten Kreidezähne (Molaren-Inzisiven-Hypomineralisation / MIH) werden zunehmend bei Kindern beobachtet. 2014 waren in Deutschland 30 % der Kinder betroffen, weltweit waren es ca. 15 %.
Die Kreidezähne fallen auf, weil meist nur einzelne Backenzähne oder Schneidezähne im Milchgebiss und auch nach dem Zahnwechsel bei ansonsten guter Mundhygiene und Mundgesundheit betroffen sind. Nicht selten sind die Zähne empfindlich auf Reize (Kälte, Wärme, süß oder sauer).
Diese Seite wurde zuletzt am 27.11.2025 geändert.