
- Startseite >
- >
- Auffälligkeiten im Mund
Auffälligkeiten im Mund
Welche Symptome gibt es und wie reagiert man darauf?
Schwellungen sowie Schmerzen sind eindeutige Anzeichen für schlechte Mundgesundheit. Daneben gibt es jedoch viele weitere Auffälligkeiten, die beachtet werden sollten. Die Unterthemen am Ende der Seite geben dazu einen strukturierten Überblick.
Auffälligkeiten im Zweifelsfall von einem Zahnarzt abklären lassen.
Insbesondere scharfe Kanten an Zähnen oder Prothesen, Schwellungen oder Druckstellen im Bereich der Auflageflächen von Prothesen.
Häufigste Fragen und Antworten zu Auffälligkeiten und Problemen
-
Was sind die häufigsten Auffälligkeiten im Mund und wie erkenne ich diese?
Zu den häufigsten Auffälligkeiten gehören Schmerzen, Schwellungen, Rötungen, Mundgeruch, Mundtrockenheit und Geschmacksveränderungen. Diese können auf Probleme wie Zahnfleischerkrankungen, Karies oder Infektionen hinweisen. Achten Sie auf Symptome wie Zahnfleischbluten, rote oder geschwollene Stellen im Mund, anhaltenden Mundgeruch oder das Gefühl eines trockenen Mundes. Wenn solche Auffälligkeiten auftreten, sollte umgehend ein Zahnarzt oder eine Zahnärztin aufgesucht werden, um mögliche Probleme frühzeitig zu behandeln.
-
Wie reagiert man auf Schmerzen oder Schwellungen im Mundbereich?
Mundschmerzen oder Schwellungen sind oft ein Hinweis auf eine Entzündung oder Infektion der Zahnnerven oder des Zahnfleischs. Kühlen und Schmerzmittel (soweit verfügbar und verträglich) können Linderung bringen. Es ist zudem wichtig, schnellstmöglich einen Zahnarzt aufzusuchen, da unbehandelte Entzündungen zu schwerwiegenden gesundheitlichen Problemen führen können.
-
Was können Gründe für Mundtrockenheit oder Mundgeruch sein und wann sollte man den Arzt oder Zahnarzt hinzuziehen?
Mundtrockenheit und anhaltender Mundgeruch sind Beschwerden, die das Wohlbefinden stark einschränken. Unzureichende Trinkmenge, Medikamente, eine schlechte Mundgesundheit oder auch systemische Erkrankungen wie Diabetes können die Ursache sein. Ausreichende Flüssigkeitszuführ und eine gute Mundhygiene sind wichtige Voraussetzungen für eine gute Mundgesundheit. Bei ausbleibender Besserung sollten der Hauszahnarzt oder der Hausarzt aufgesucht werden, um die Ursache zu klären und eine passende Behandlung einzuleiten.
Nicht alle Auffälligkeiten sind Probleme
Füllungen, Kronen und Brücken oder herausnehmbare Zahnprothesen fallen beim Blick in die Mundhöhle auf und müssen gepflegt werden. Diese Versorgungen stellen aber, wenn sie intakt und funktionstüchtig sind, keine "Probleme"dar.
Zudem gibt es "Spielarten der Natur" wie z. B. die Haarzunge, die nicht unbedingt zahnärztliche Behandlung, jedoch erhöhte Aufmerksamtkeit im Verlauf und manchmal besondere Pflegemaßnahmen erfordern.
Auffälligkeiten: Früher & Heute
Früher waren die meisten älteren und pflegebedürftigen Menschen zahnlos bzw. mit Totalprothesen versorgt.
Häufige Auffälligkeiten waren früher:
- Pilzbefall (Soor) und Entzündungen der Ohrspeicheldrüse (Parotitis)
- Probleme mit Prothesen: Schlechter Halt, Bruch / Sprung, Druckstelle
40 Jahre zahnärztliche Prävention (Individualprophylaxe und Gruppenprophyaxe bei Kindern) und professionelle Zahnreinigungen bei Erwachsenen haben dazu geführt, dass heute auch ältere und pflegebedürftige Menschen viele eigene Zähne, zunehmend auch Implantate oder technisch aufwendigen Zahnersatz im Mund tragen.
Häufige Auffälligkeiten sind heute (zusätzlich):
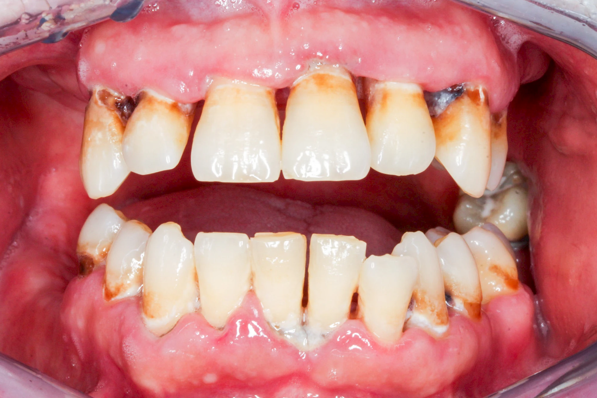
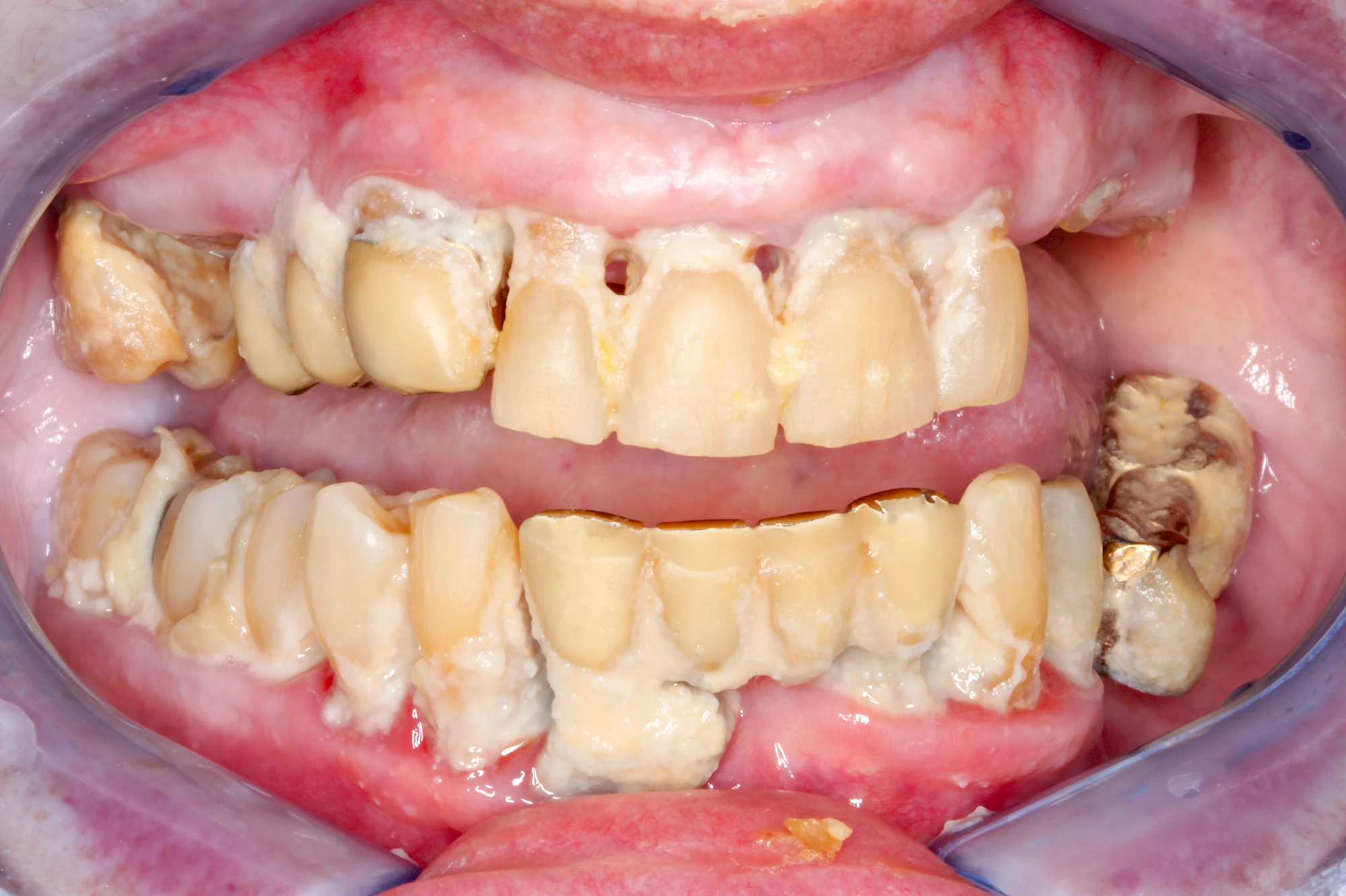
- Beläge an Zähnen und in den Zahnzwischenräumen
- Karies, Gingivitis, Parodontitis, Peri-Implantatitis
- Wurzelreste & scharfe Zahnkanten
- Prothesen in der Handhabung technisch komplizierter Prothesen schwierige Aus- und Eingliederung)
Unterthemen
Diese Seite wurde zuletzt am 27.11.2025 geändert.









