
- Startseite >
- >
- Auffälligkeiten im Mund >
- Zahnfleisch
Zahnfleisch
Auffälligkeiten im Mund
Auf dieser Seite erfahren Sie, welche Auffälligkeiten im Bereich des Zahnfleisches zu beobachten sind. Was ist der Unterschied zwischen Zahnfleischentzündung (Gingivitis) und der Entzündung des gesamten Zahnhalteapparates (Parodontitis)? Was versteht man unter den Sonderformen Fistel, Wucherung und Schlupfwinkelinfektion im Bereich des Zahnfleisches?
Gingivitis & Parodontitis: Multifaktorielles Geschehen
Multifaktorielles Geschehen
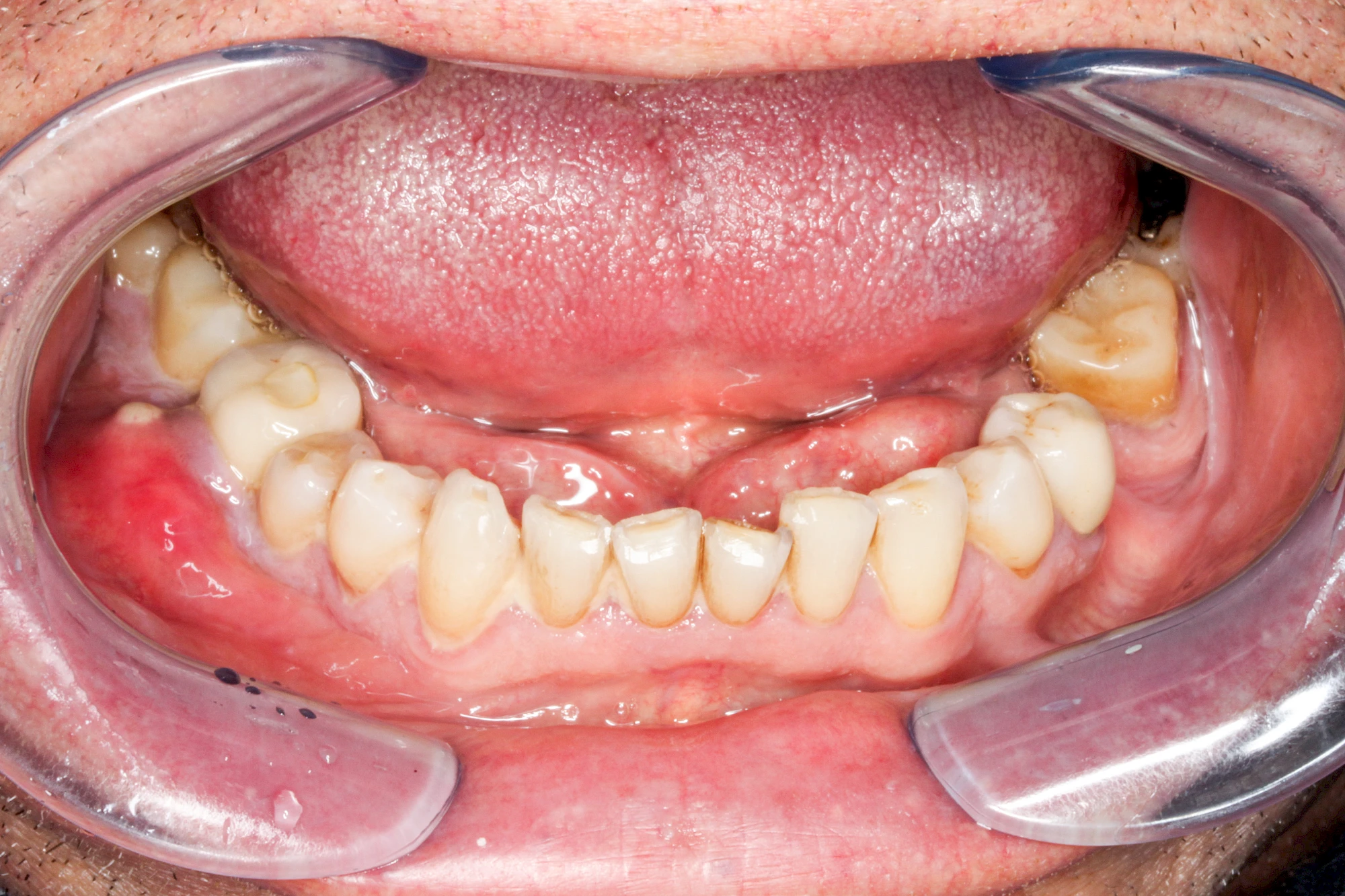
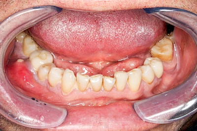
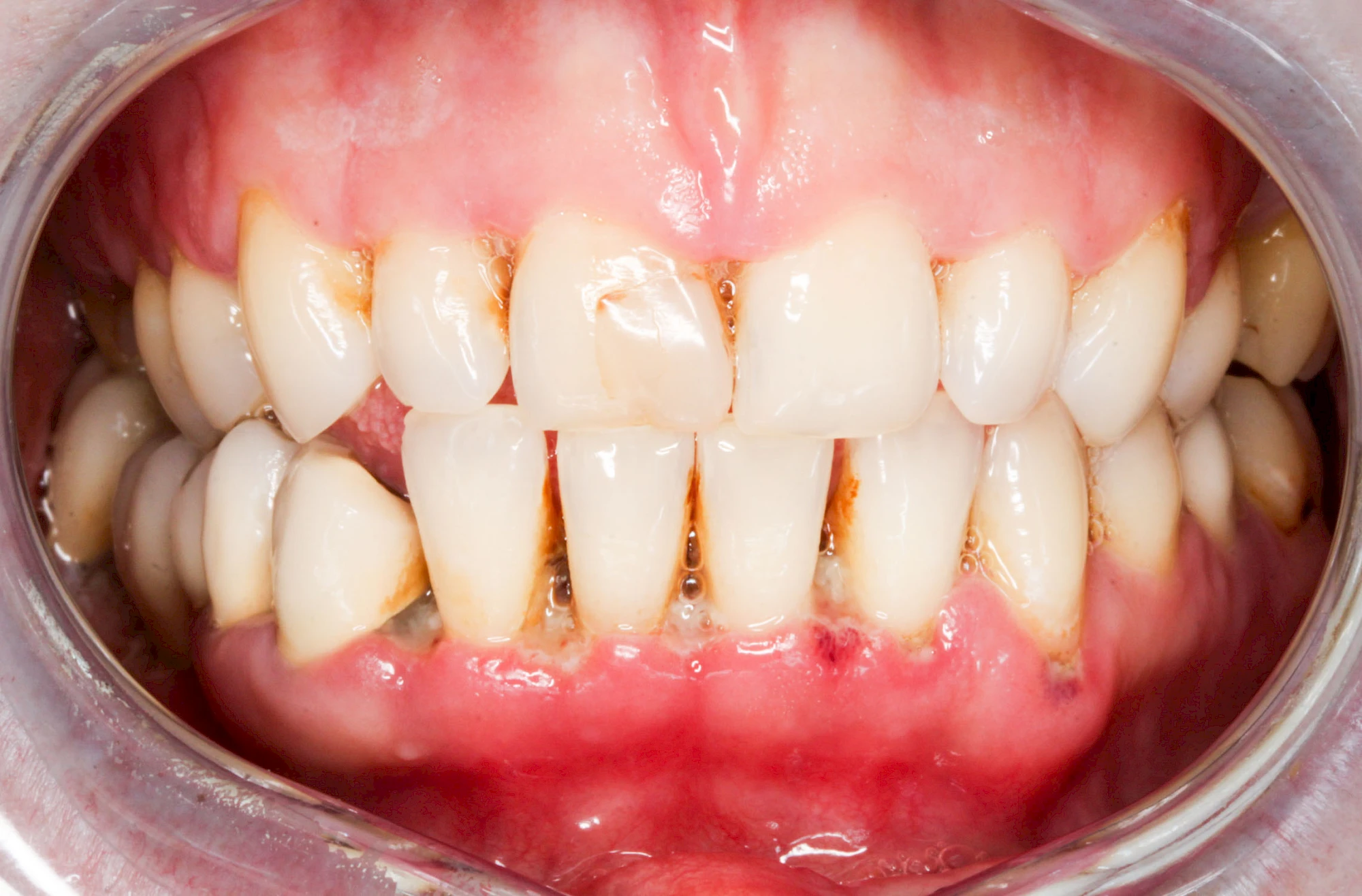
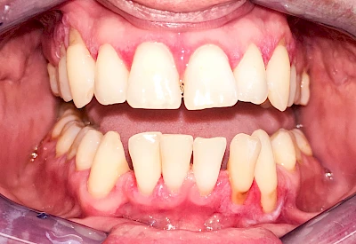
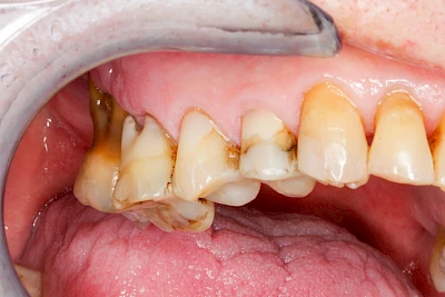
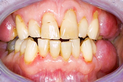
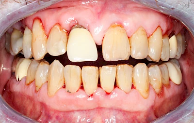
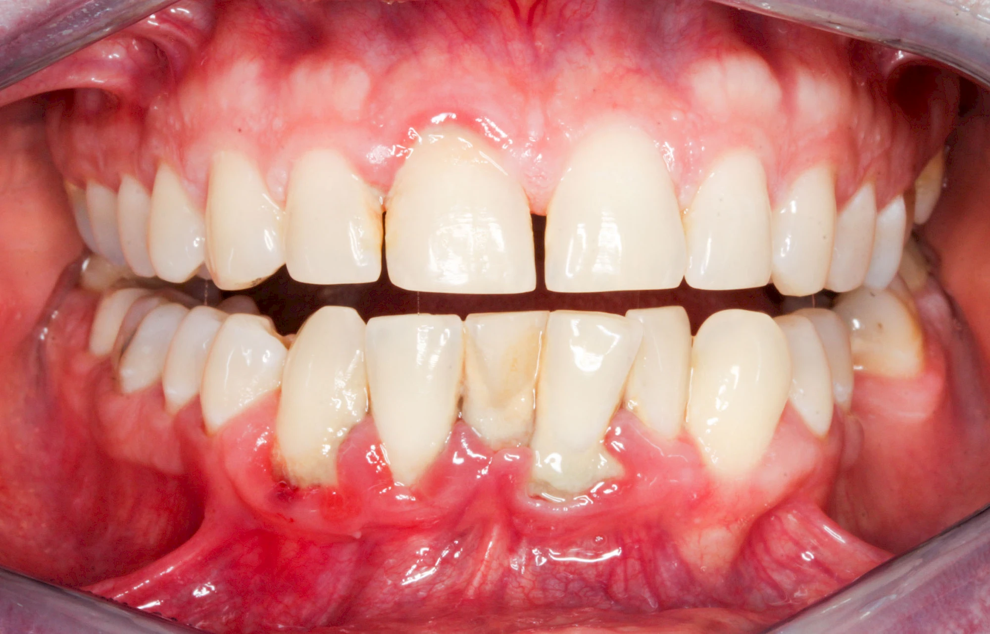
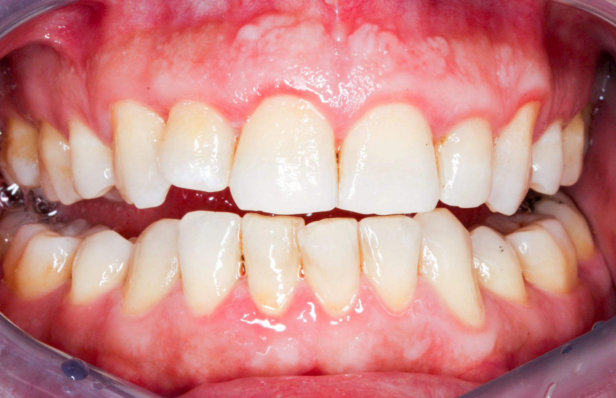
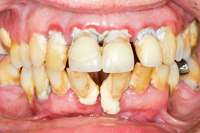
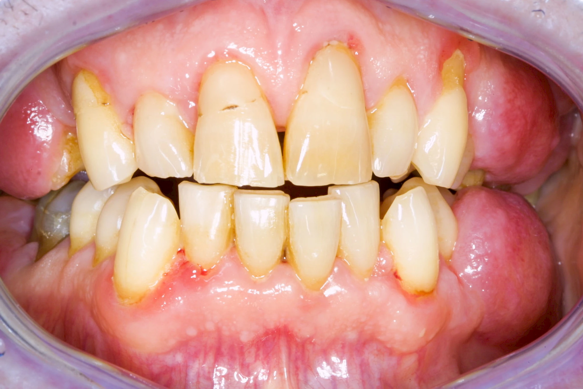
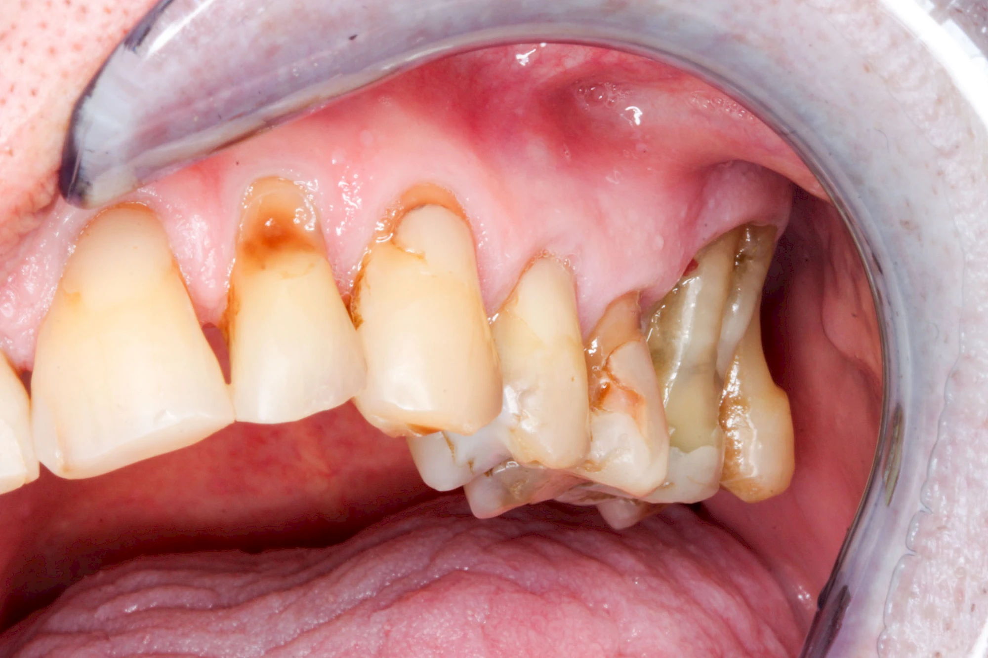
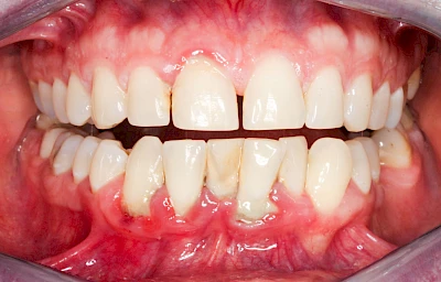
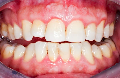
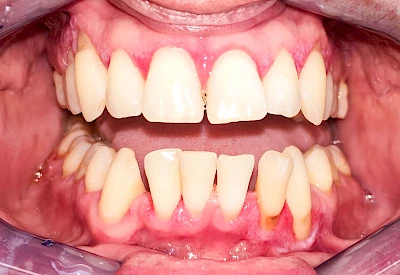
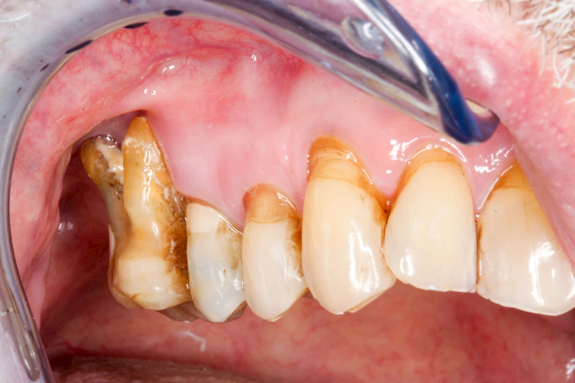
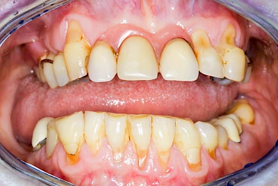
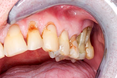
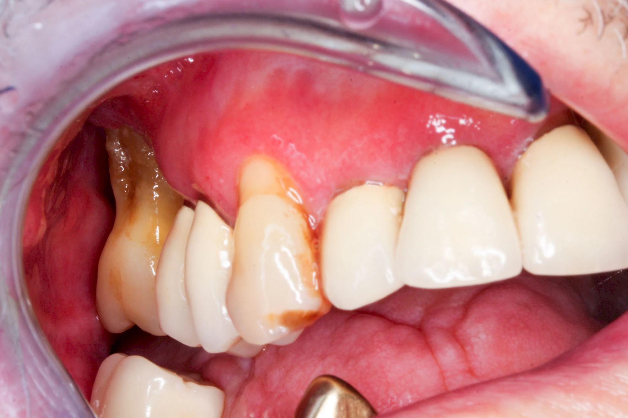
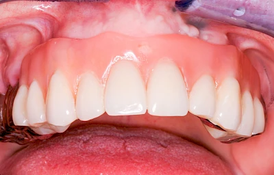
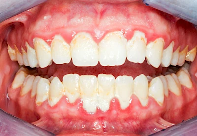
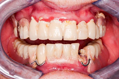
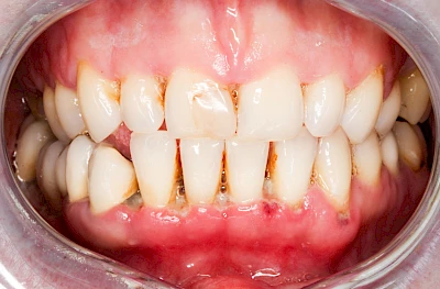
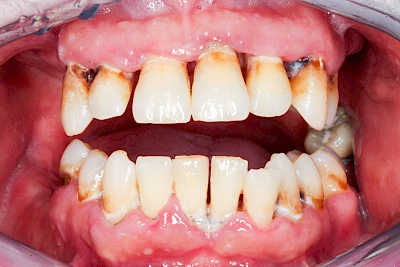
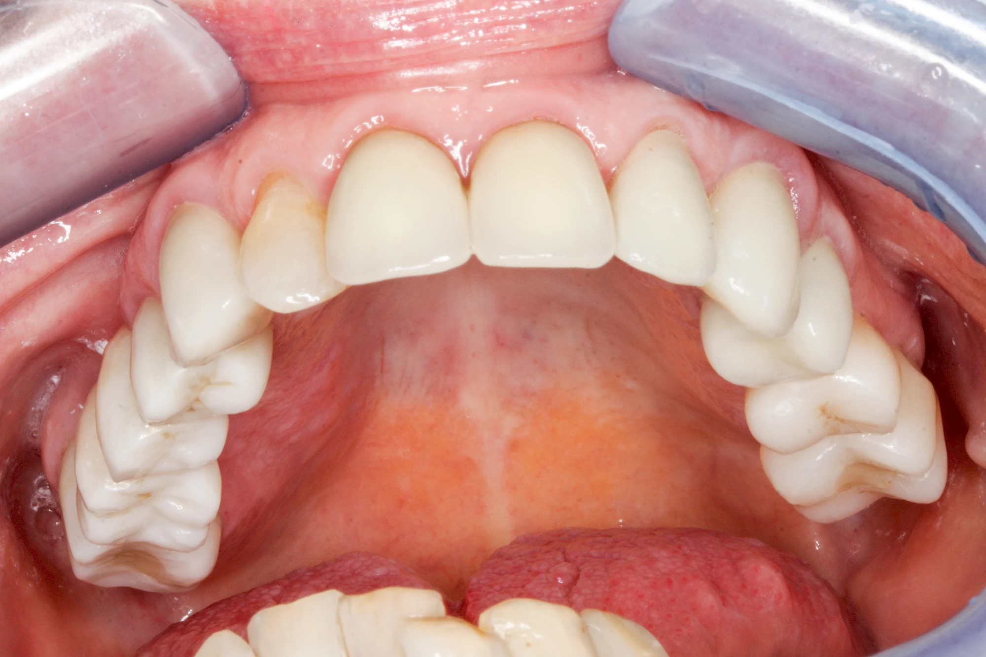
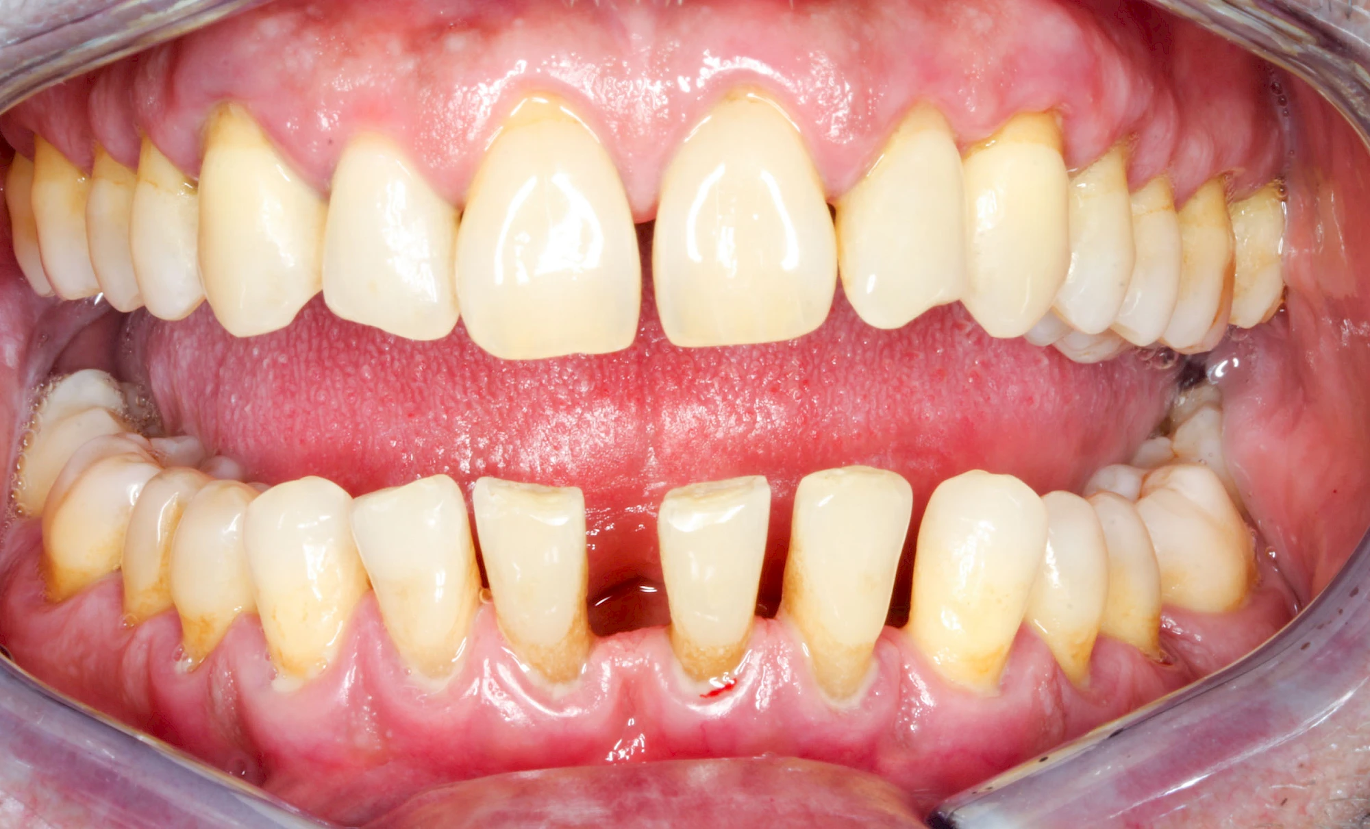
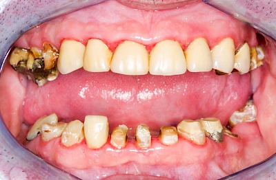
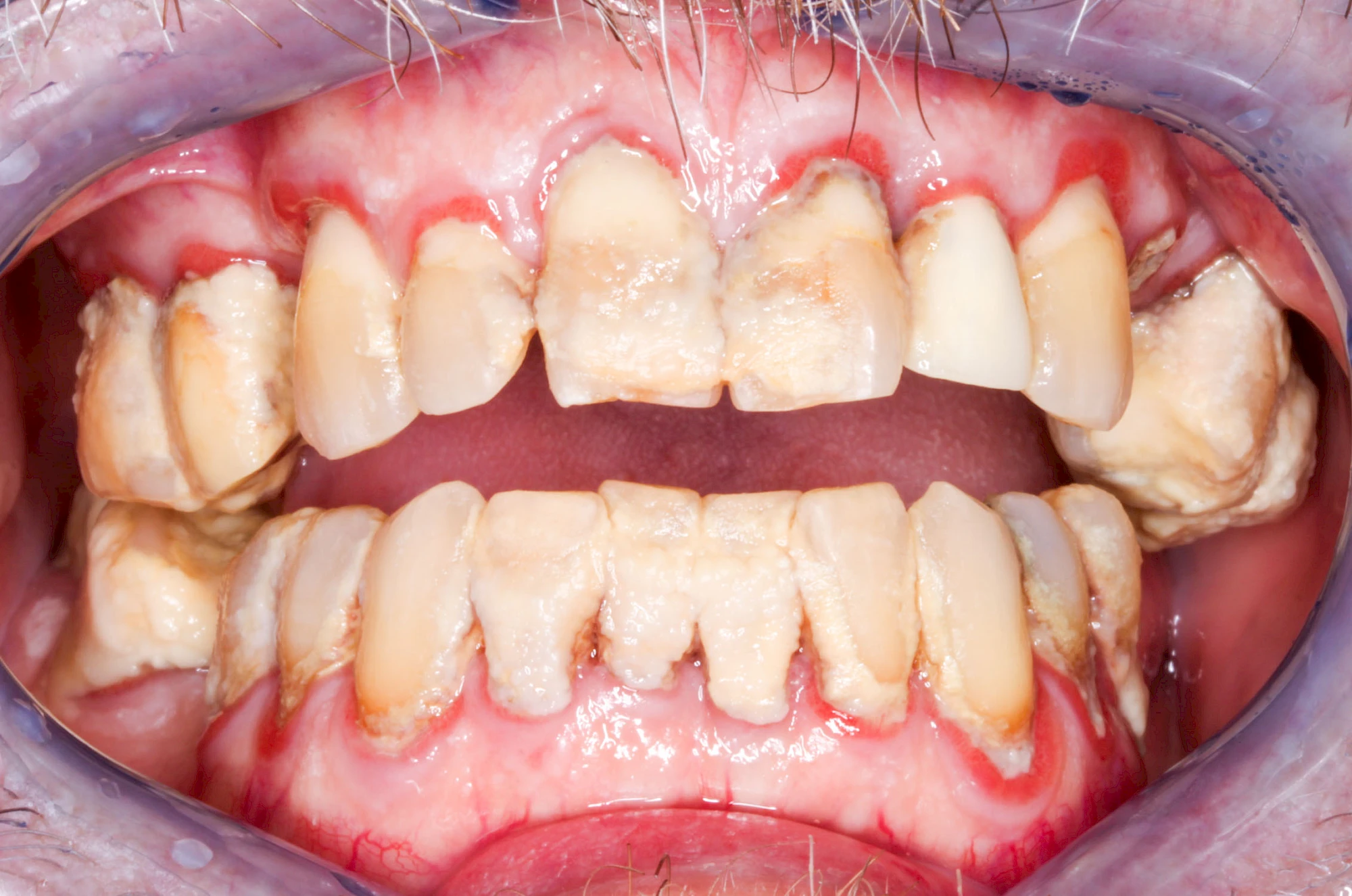
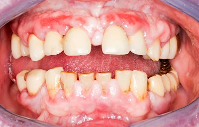
Bakterien in den Zahnbelägen greifen neben den Zähnen auch das Zahnfleisch (Gingiva) und den gesamten Zahnhalteapparat (Parodont) an. Der Körper reagiert mit einer Entzündung, sichtbar als Rötung und Schwellung. Meist blutet das Zahnfleisch z .B. beim Essen oder auch beim Putzen der Zähne.
Ein schlecht eingestellter Diabetes kann das Entzündungsgeschehen noch verstärken. Raucher haben ein 3-5x höheres Risiko für Parodontitis. Das Zahnfleisch ist schlechter durchblutet, weshalb der Körper die Bakterien nicht so gut abwehren kann. So schreitet die Erkrankung schneller voran. Auch E-Zigaretten und Vapes schaden dem Zahnfleisch.
Gingivitis & Parodontitis: Multifaktorielles Geschehen
Gingivitis & Parodontitis: Stadien
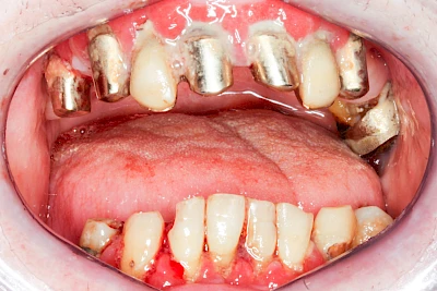
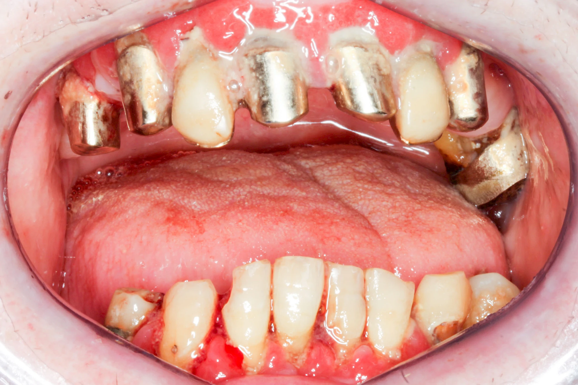
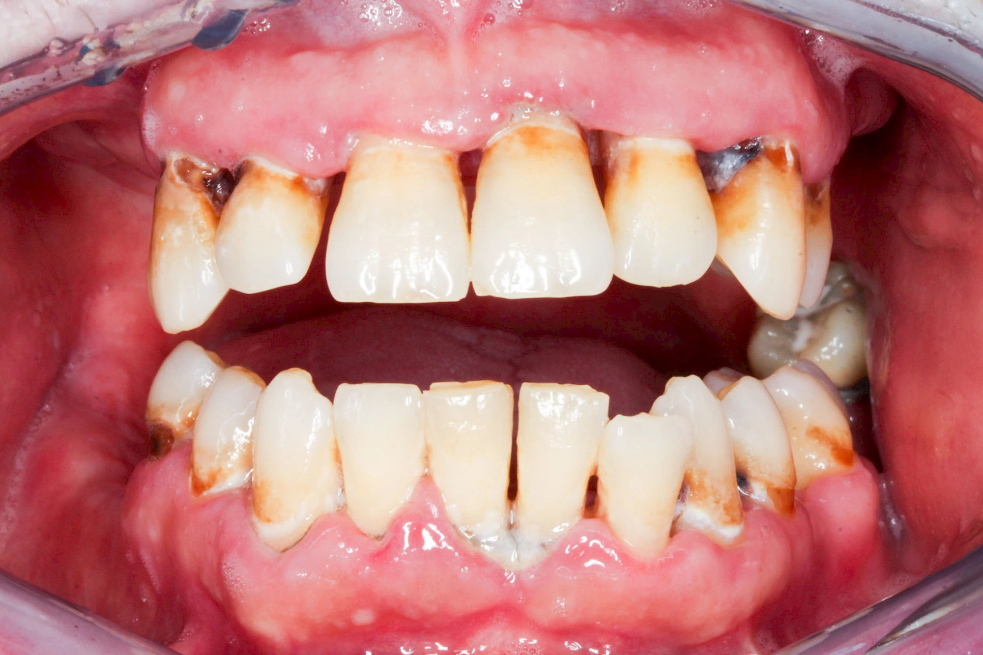
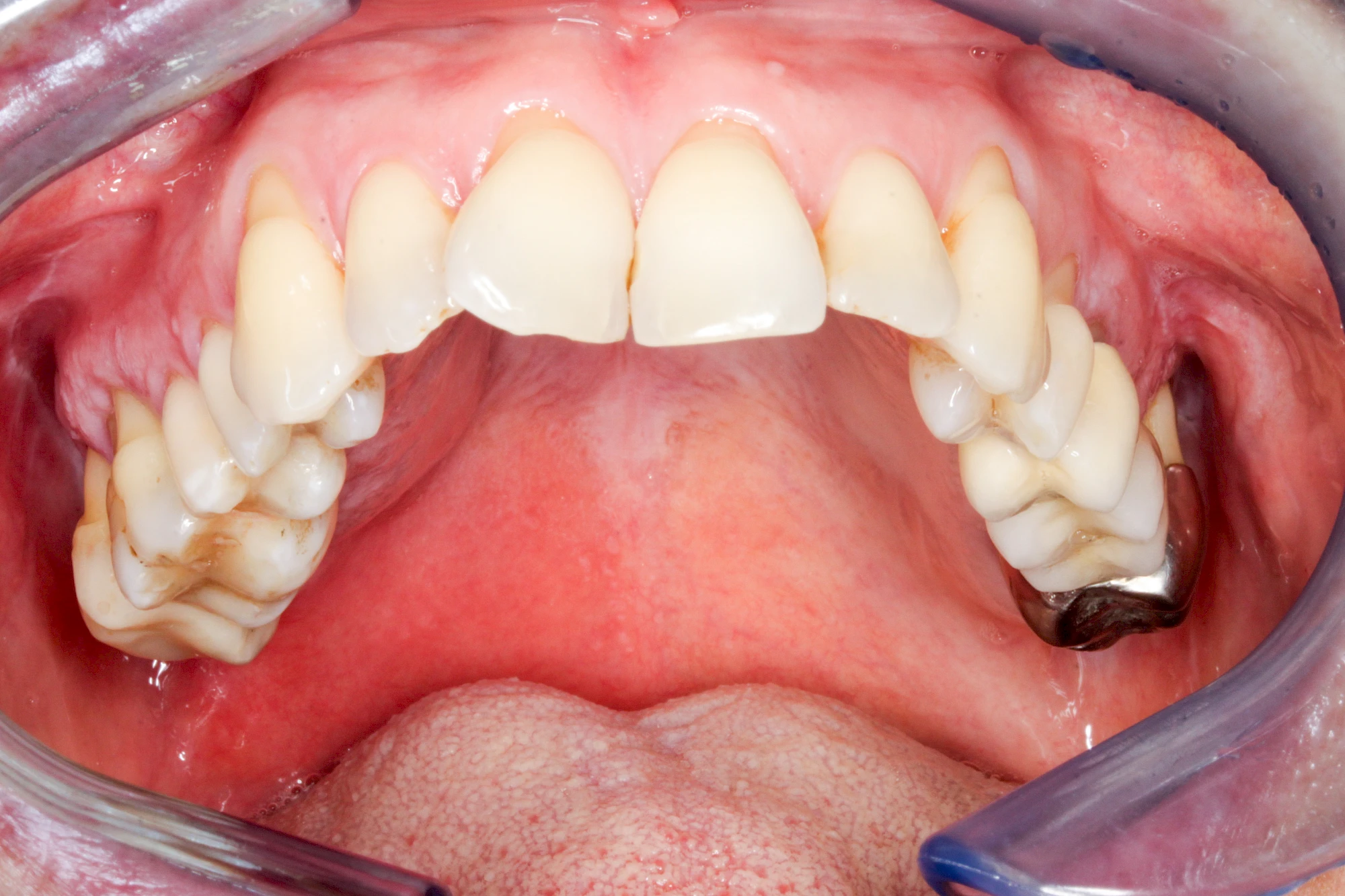
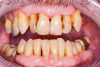
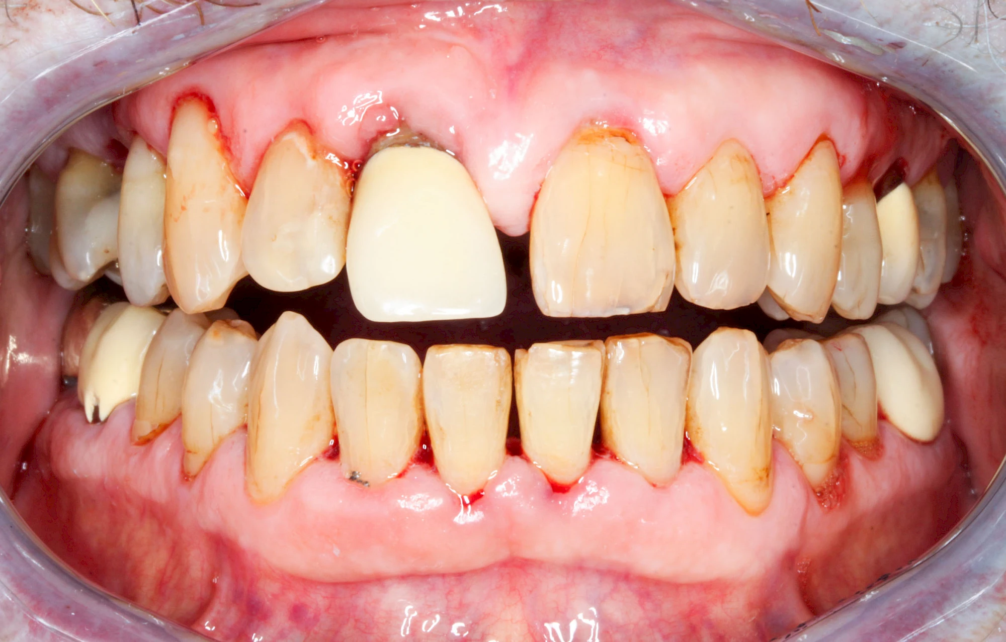
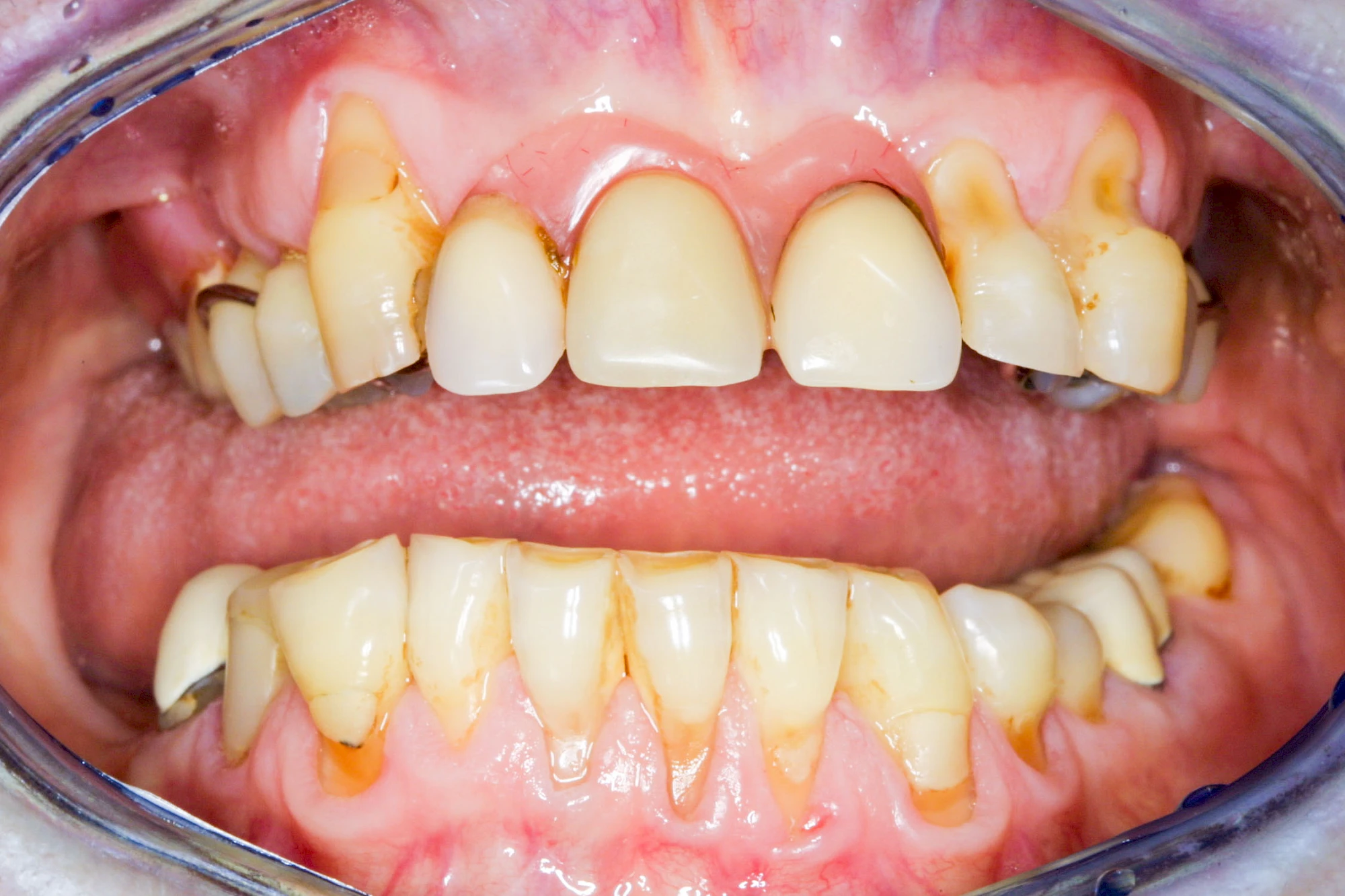
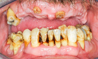
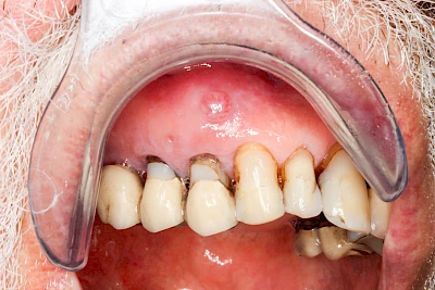
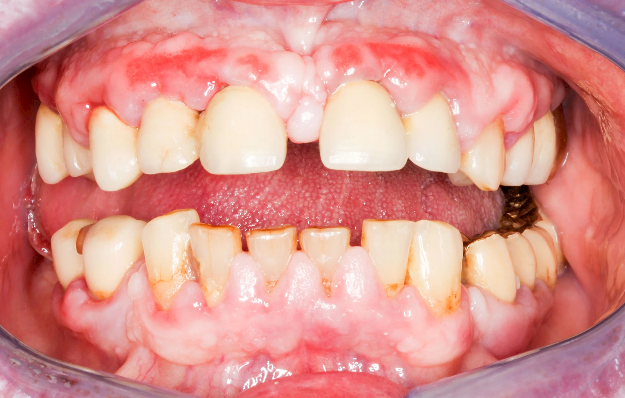
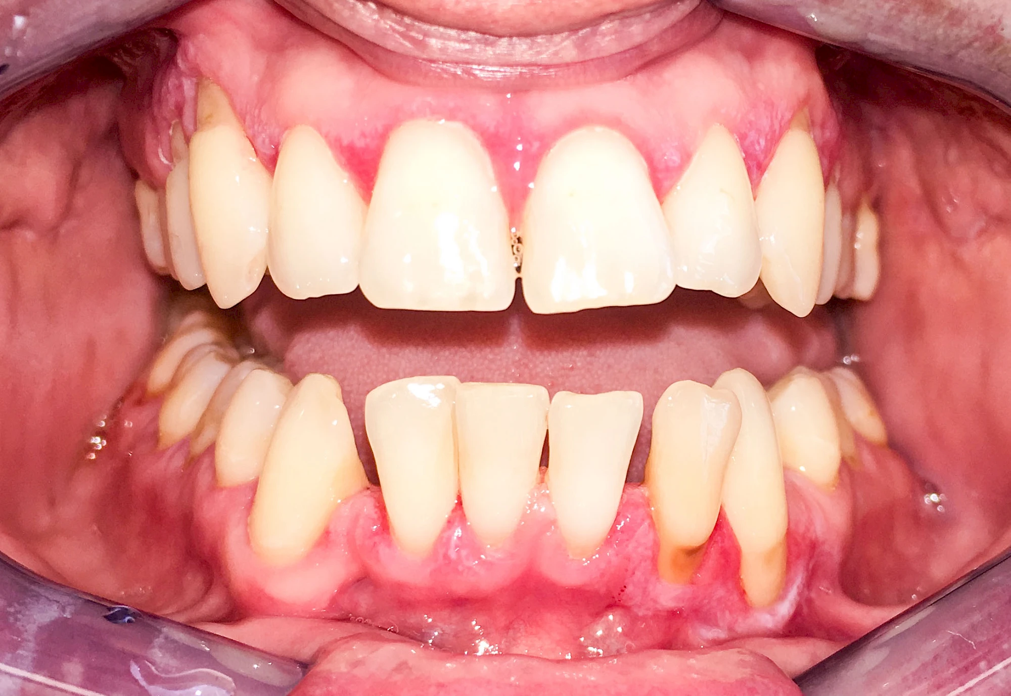
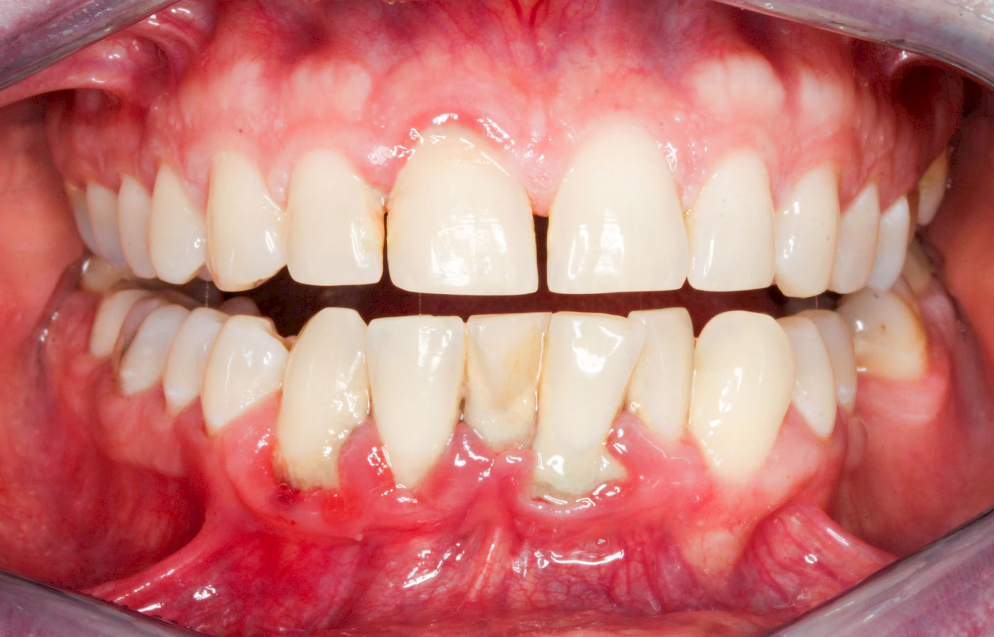
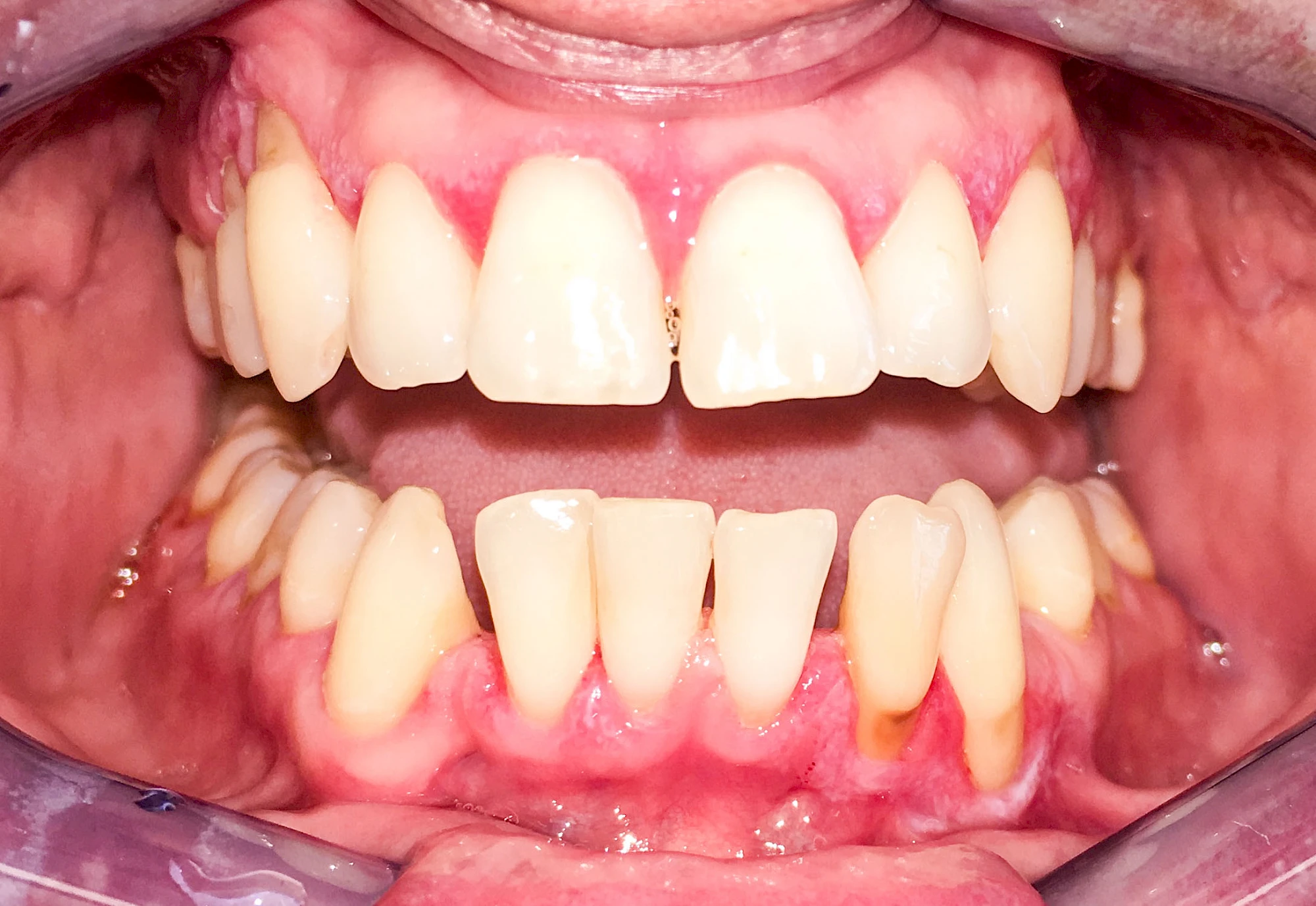
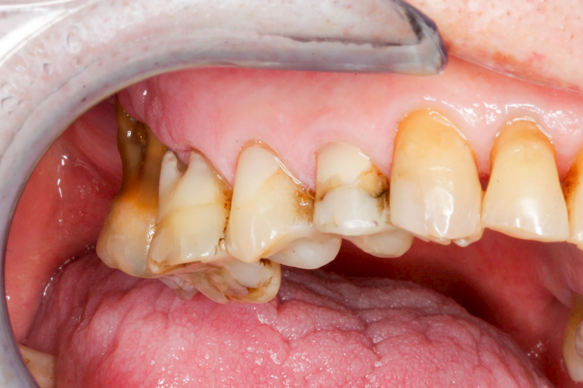
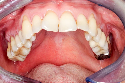
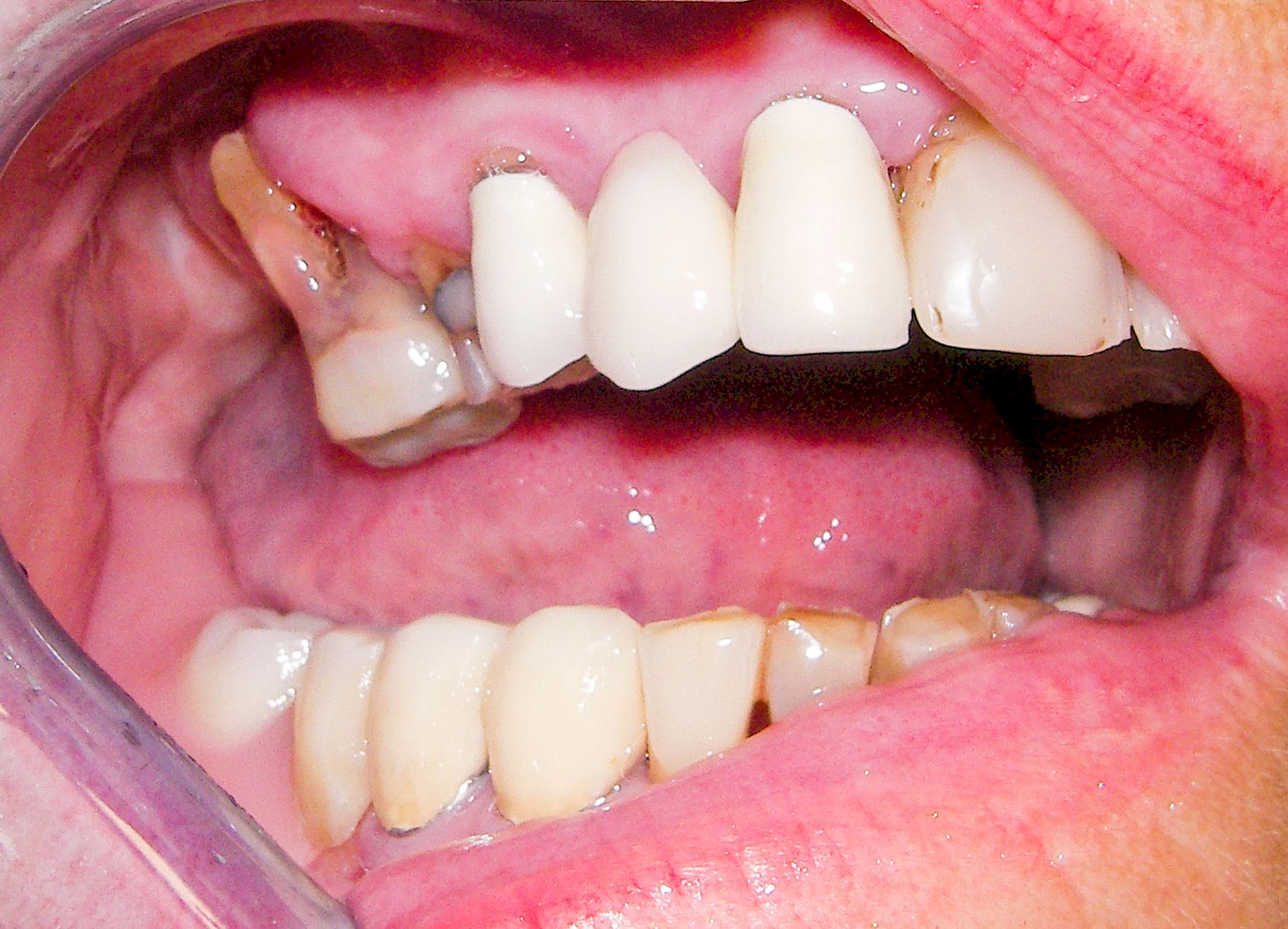
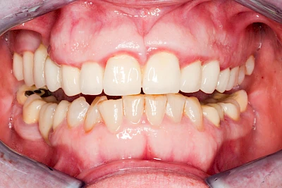
Ist zunächst nur das Zahnfleisch von der Entzündung betroffen, spricht man von Gingivitis. Später, wenn auch der Knochen um die Zähne herum entzündet ist, spricht man von einer Parodontitis. Bei der Parodontitis wird der Knochen nach und nach abgebaut und das Zahnfleisch zieht sich zurück. Die Zahnhälse und Zahnwurzeloberflächen liegen mehr und mehr frei. Die Zähne werden zunehmend lockerer und fallen schließlich aus.
Bei Implantaten – also operativ eingebrachten künstlichen Zahnwurzeln – kann der Körper die Bakterien auch nicht so gut abwehren. Hier spricht man im Fall einer Entzündung von einer Peri-Implantitis, also einer Entzündung um das Implantat herum.
Umgekehrt hat eine Parodontitis vielfältige Auswirkungen auf die allgemeine Gesundheit.
Bei Schwellung, Rötung oder Blutung des Zahnfleisches sollte neben der Intensivierung und Optimierung der Mundhyiene der Zahnarzt kontaktiert werden.
Gingivitis & Parodontitis: Stadien
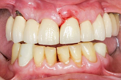
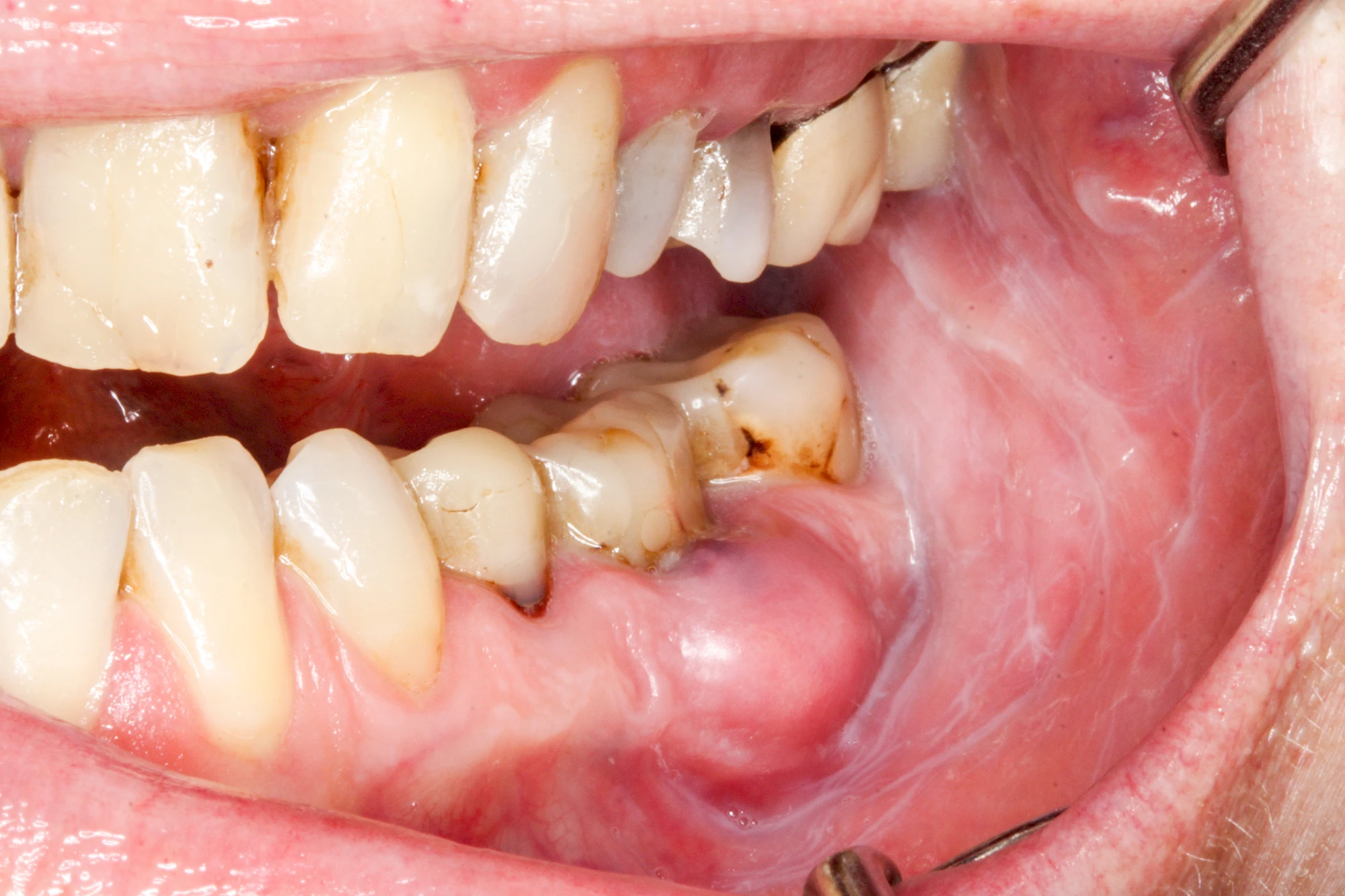
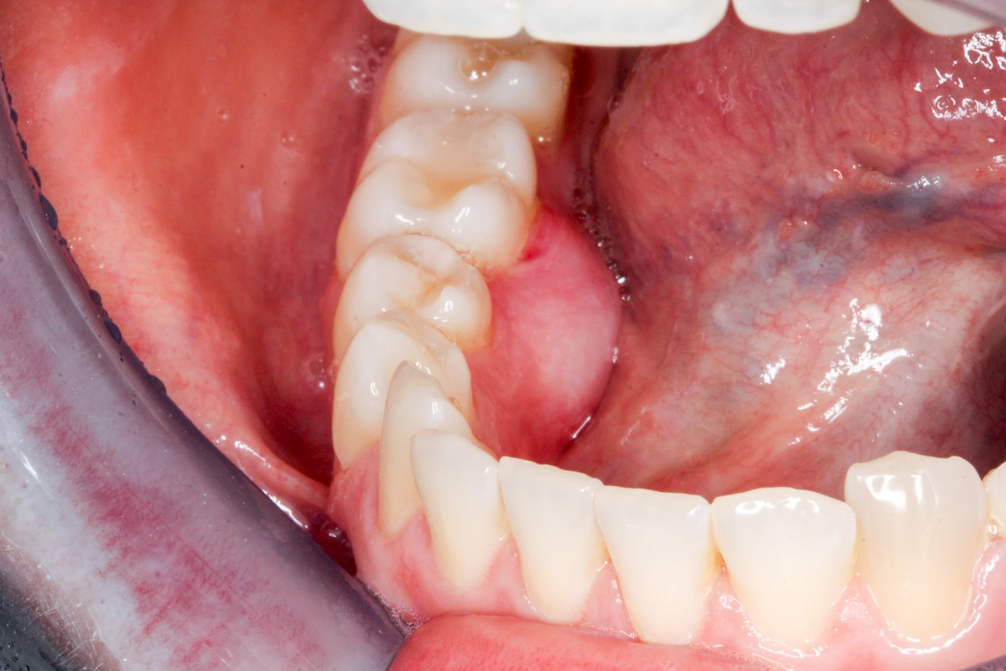
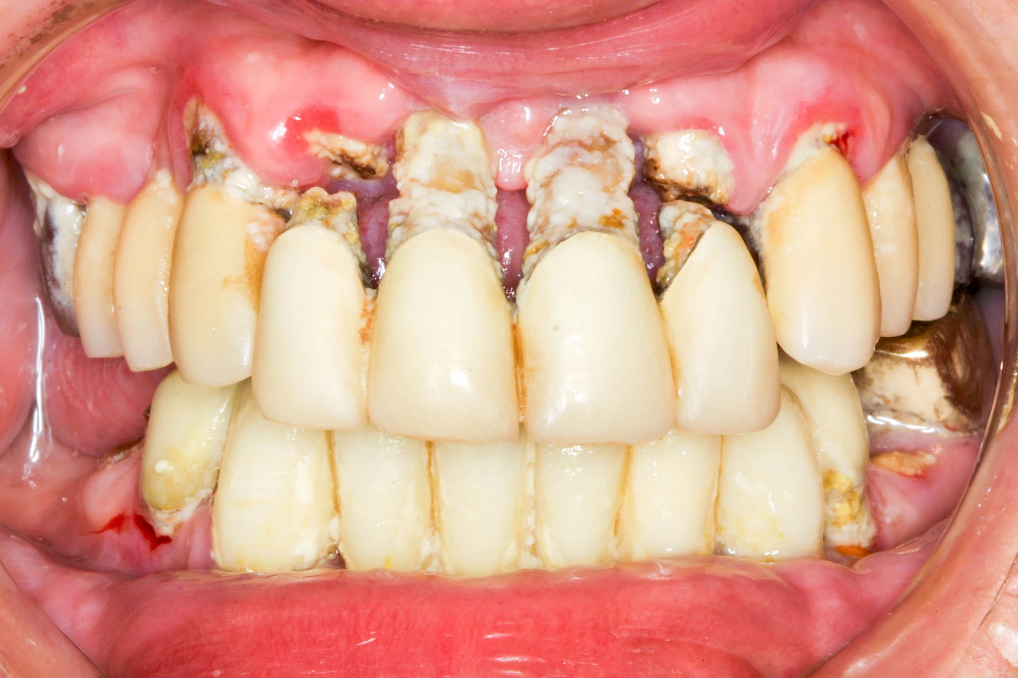
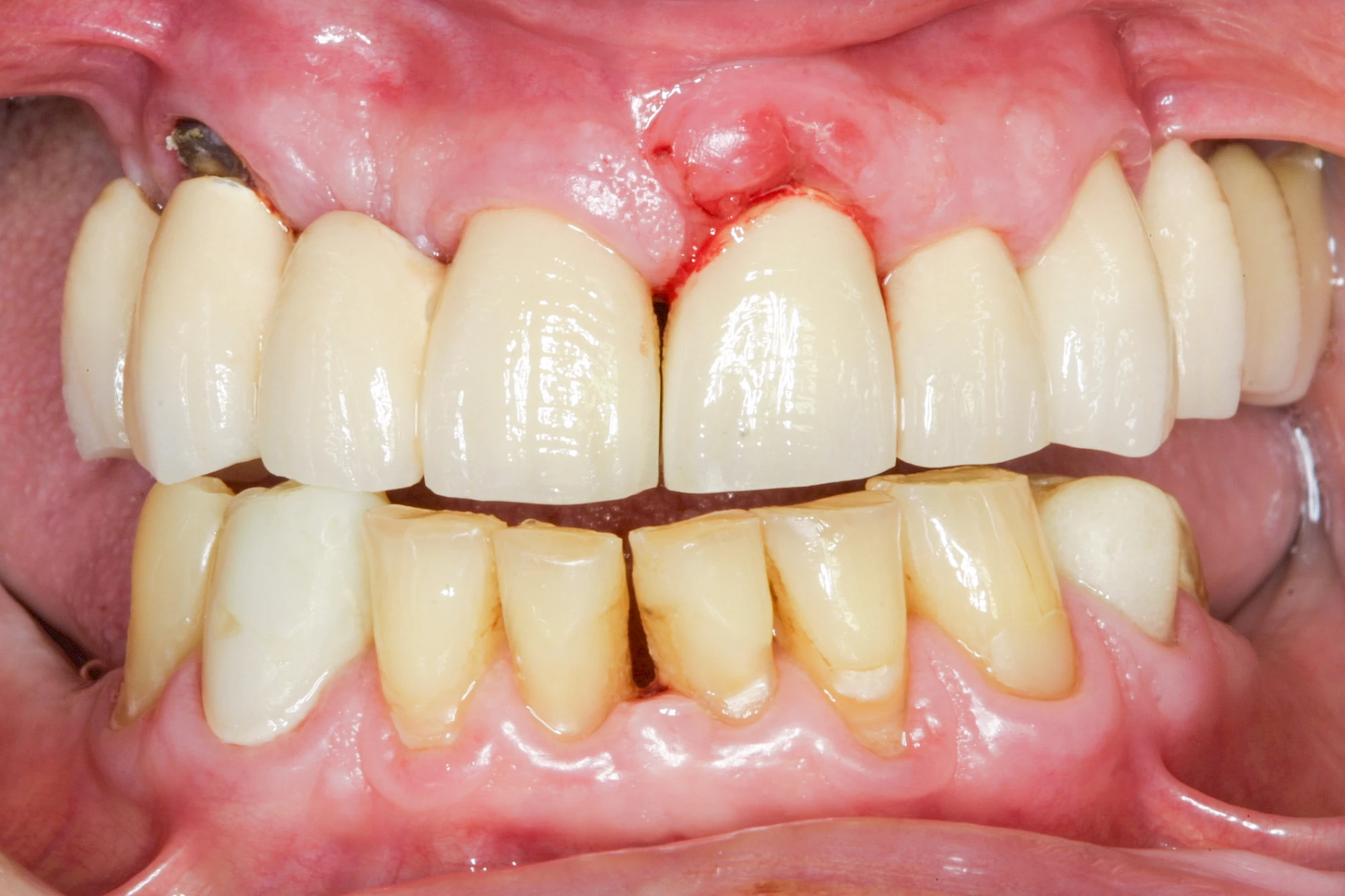
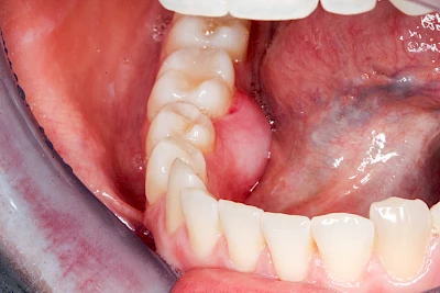
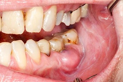
Sonderform: Abszess / Schwellung
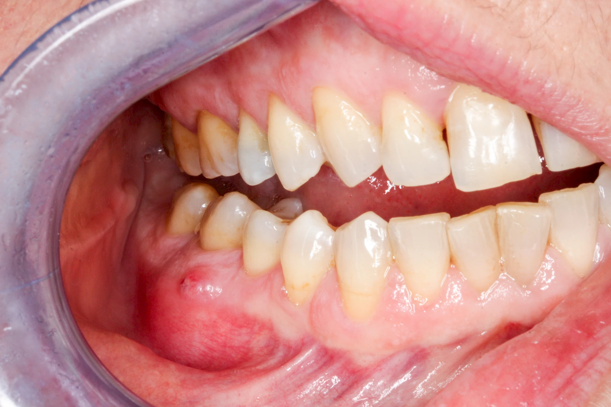
Bei einem Abszess breiten sich Bakterien oder andere Erreger im Bereich der Kiefer und aufliegenden Weichteile aus, ohne gleich in die Mundhöhle durchzubrechen (siehe Fistel). Die schnelle starke Vermehrung und Einschmelzung von Bakerien und anderen Erregern führt zu einer meist sehr schmerzhaften und häufig sichtbaren Schwellung. Im weiteren Verlauf können Abszesse auch durch die Weichteile durchbrechen und Fisteln bilden. Zudem können im Kopf-Halsbereich Schwellungen (Ödeme) als sichtbares Zeichen der Körperabwehr auftreten.
Abszesse können, vor allem, wenn die Ausbreitung der Erreger im Körper über die Faszien und Logen voranschreitet, schnell zu einer Verschlechterung des Allgemeinzustands führen (z. B. Fieber) und sogar lebensbedrohlich werden. Deshalb ist sofort der Zahnarzt zu verständigen. Ist dieser nicht erreichbar, sollte der Notarzt gerufen werden.
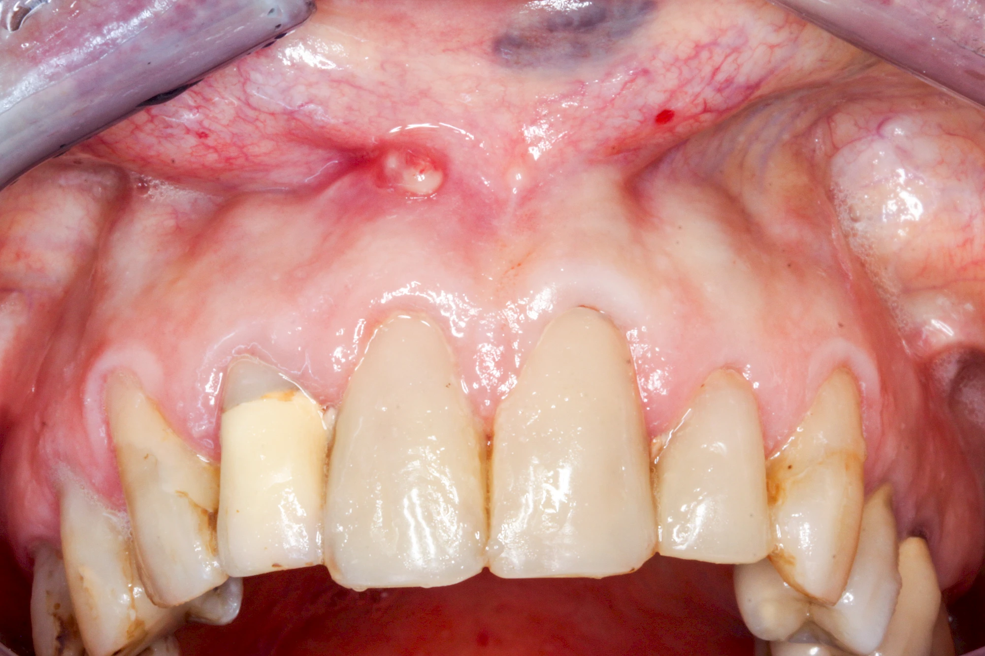
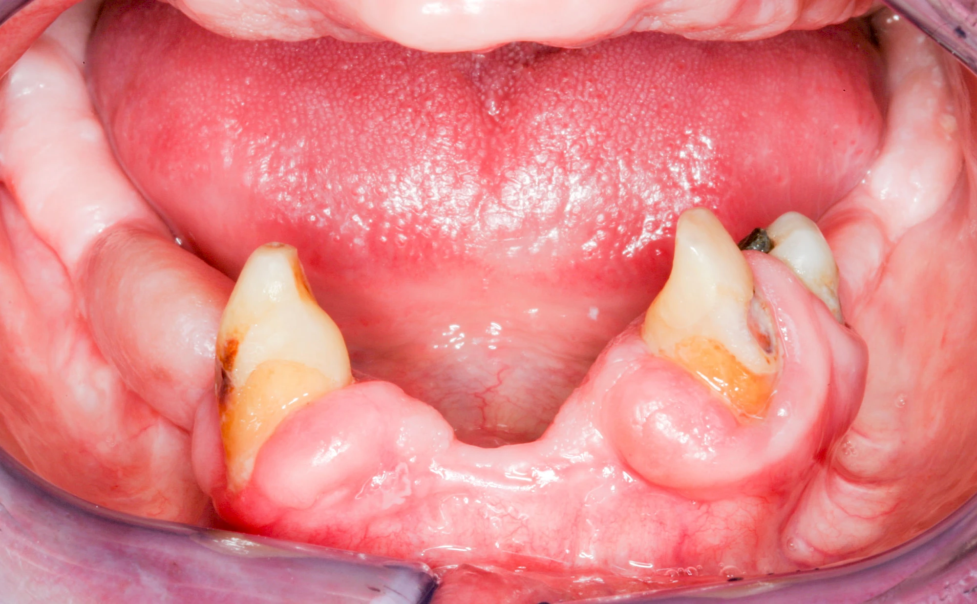
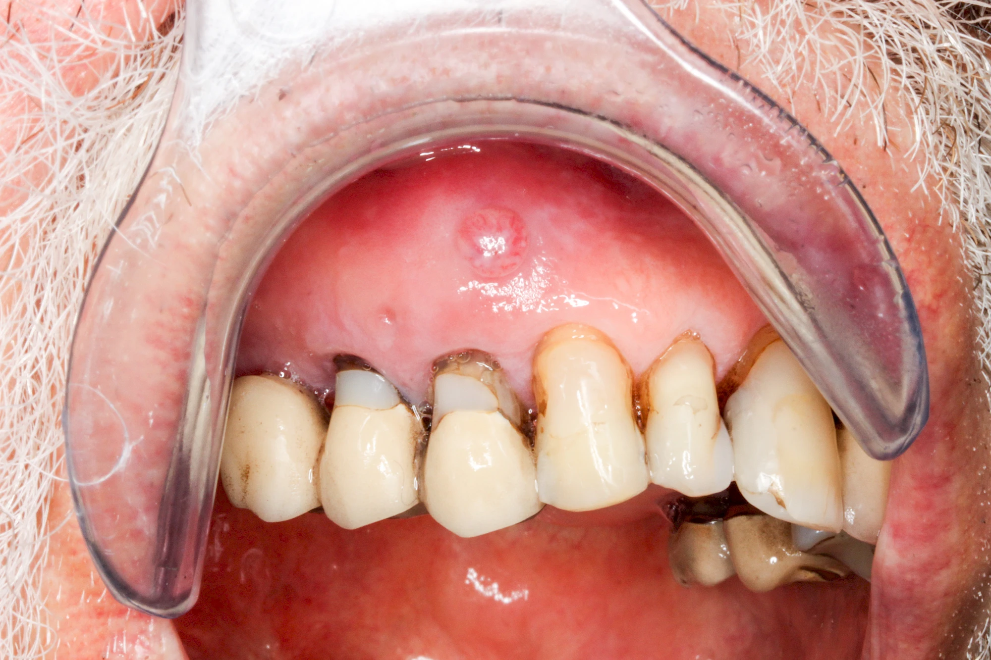
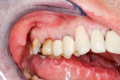
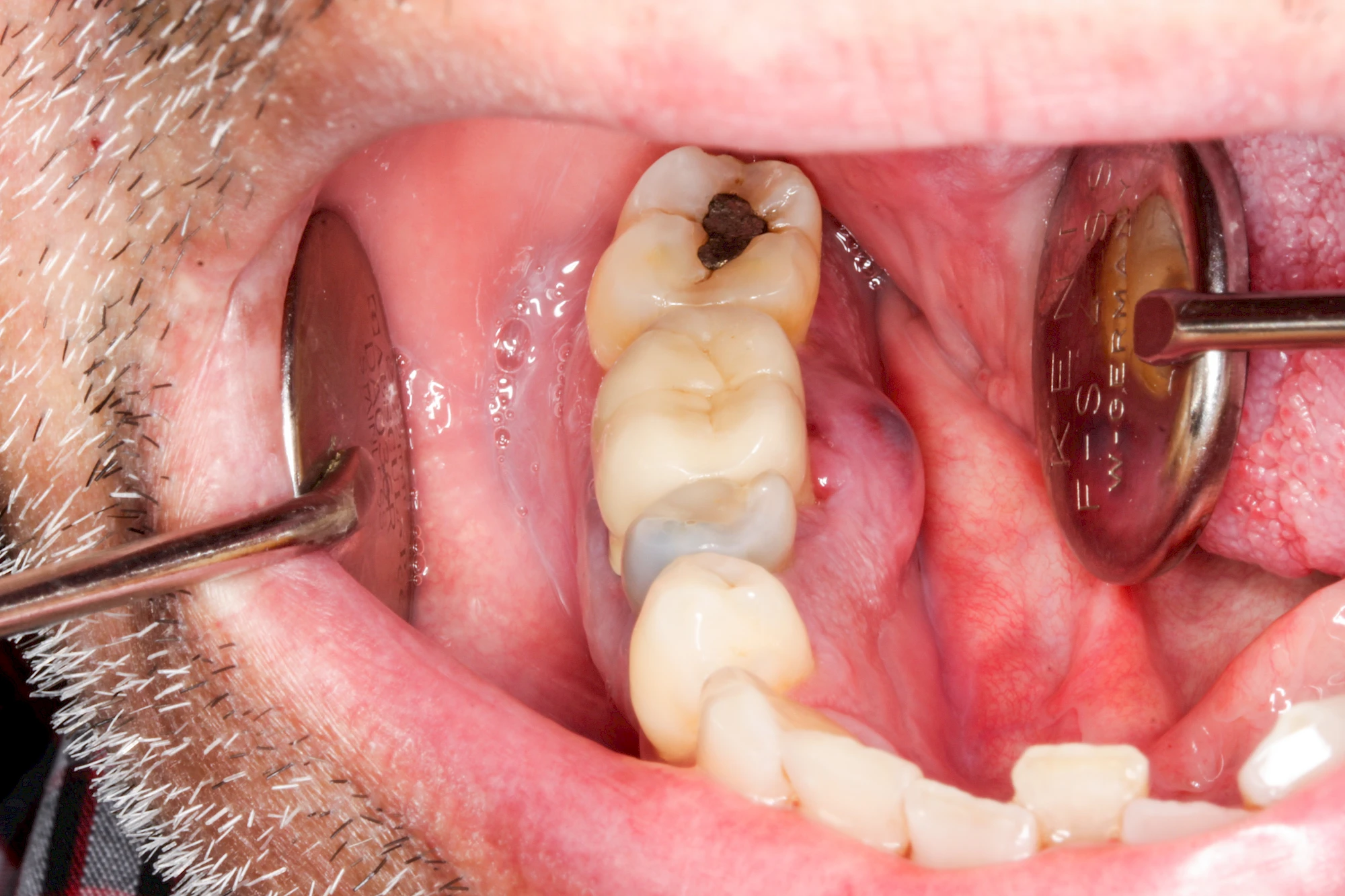
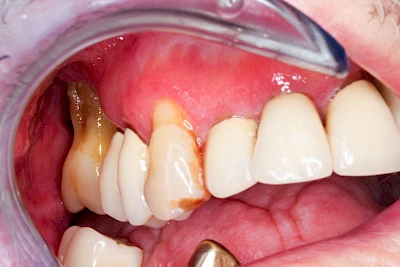
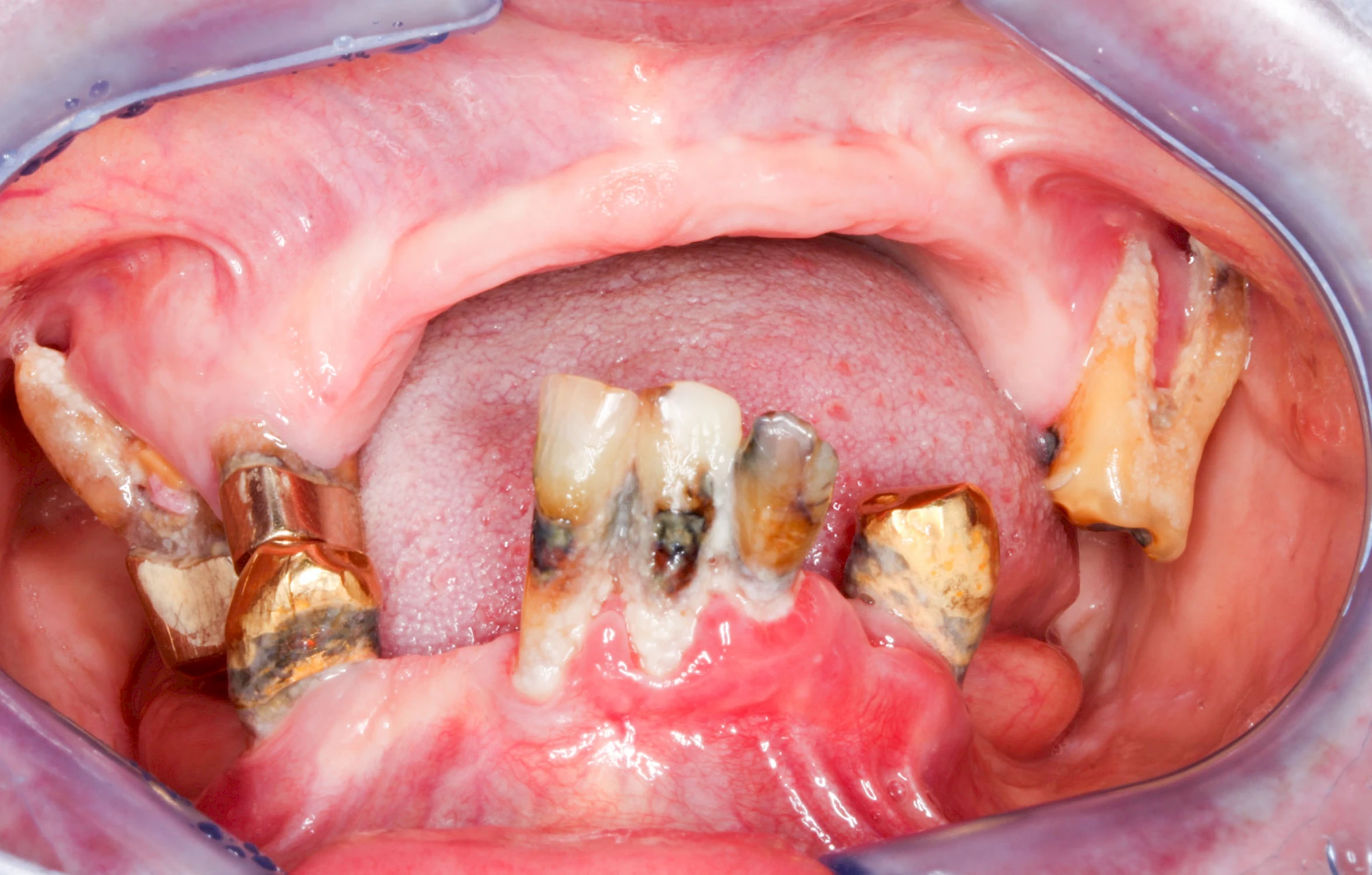
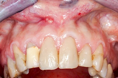
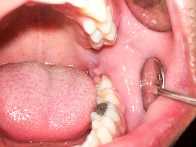
Sonderform: Fistel
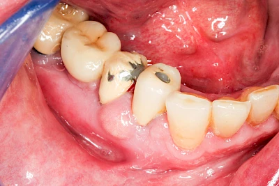
Bei einer Fistel hat sich meist eine Entzündung (manchmal auch Erreger selbst) z. B. aufgrund von Karies oder aufgrund eines Unfalls über den Zahnnerv und die Wurzelspitze (Apex) in den umliegenden Knochen ausgebreitet (apikale Parodontitis) und schnell einen Weg durch den umgebenden Knochen und die aufliegende Schleimhaut in die Mundhöhle gebahnt.
Fisteln sind in der Regel nicht schmerzhaft und fallen häufig als kleine Öffnung weiter entfernt vom Zahnfleisch nahe der Umschlagfalte auf. Aus der Fistelöffnung entleert sich spontan gelbliches Sekret (Eiter) oder es lässt sich mit dem Finger ausstreichen. Manchmal beschreiben die betroffenen Menschen immer wieder einen komischen Geschmack im Mund.
Im fortgeschrittenen Stadium kann die Schleimhaut sich weiter zurückgezogen haben und die Wurzelspitze sichtbar sein. In der Regel treten bei Fisteln keine Schwellungen auf, weil sich die Entzündung nicht im Gewebe ausbreitet.
Bei Fisteln sollte zeitnah der Zahnarzt kontaktiert werden. Treten Fisteln im Zusammenhang mit Schwellungen auf, ist sofort der Zahnarzt zu kontaktieren. Ist der Zahnarzt nicht zu erreichen und es verschlechtert sich der Allgemeinzustand (z. B. Fieber) sollte der Notarzt gerufen werden.
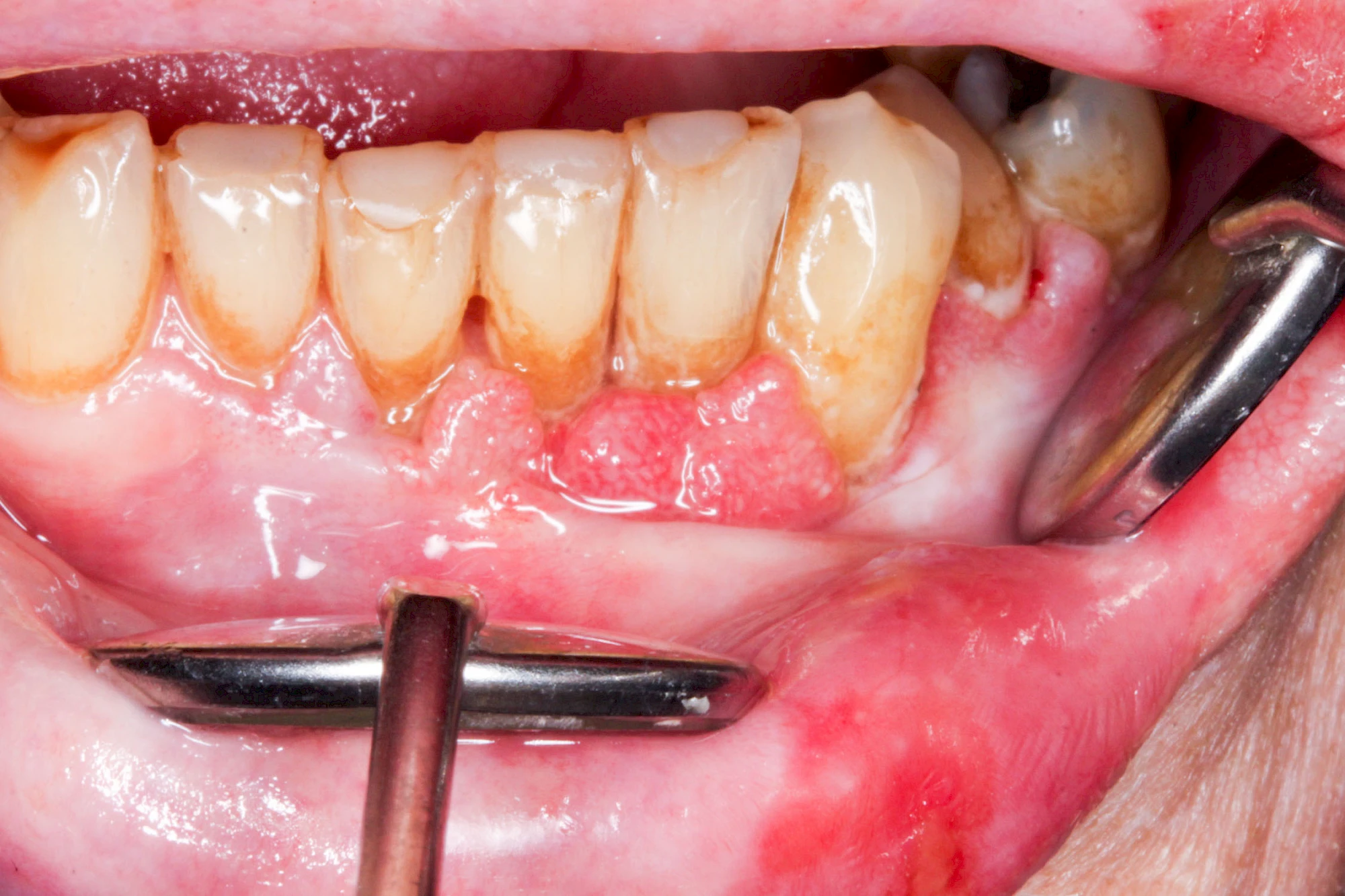
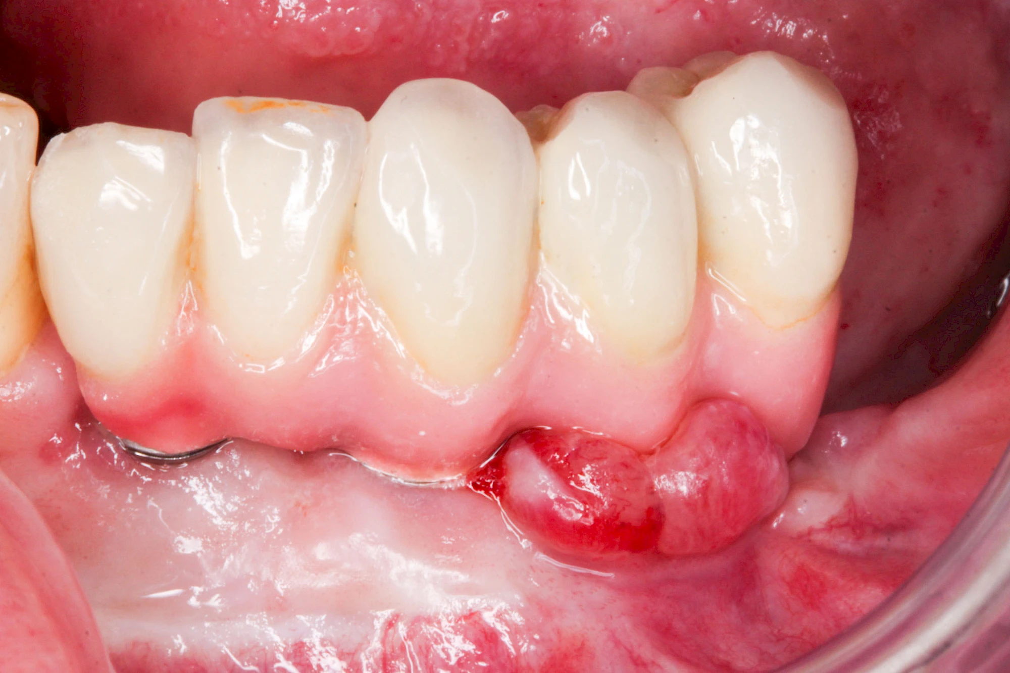
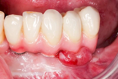
Sonderform: Wucherung
Epulis
Diese Vermehrung von Bindegewebe im Bereich des Zahnfleisches kann auf folgende Ursachen zurückgeführt werden:
- Nebenwirkung von Medikamenten: Immunsuppressiva (Cyclosporin A), Antihypertonika (Kalziumantagonisten/Kalziumkanalblocker: Nifedipin, Amlodipin sowie Diltiazem, Verapamil) und Antiepileptika (Phenytoin)
- Hormonschwankung im Rahmen der Schwangerschaft (Schwangerschaftsepulis)
Vakatwucherung
Diese Vermehrung von Bindegewebe in einem frei gewordenen Raum ist eine Sonderform der Anpassungsreaktion menschlicher Zellen und wird als Vakatwucherung bezeichnet.
Früher wurden im Unterkiefer mitunter Brücken zum Ersatz fehlender Zähne als sogenannte "Schwebebrücken" gestaltet. Die Idee dabei war, dass man die Brücke insgesamt besser reinigen kann. Allerdings war das für die Patienten mitunter irritierend für die Zunge und vor allem beim Essen gewöhnungsbedürftig. Teilweise haben sich hier reaktiv Vakatwucherungen der Kieferkammschleimhaut gebildet und den Raum unter der Brücke wieder verschlossen.
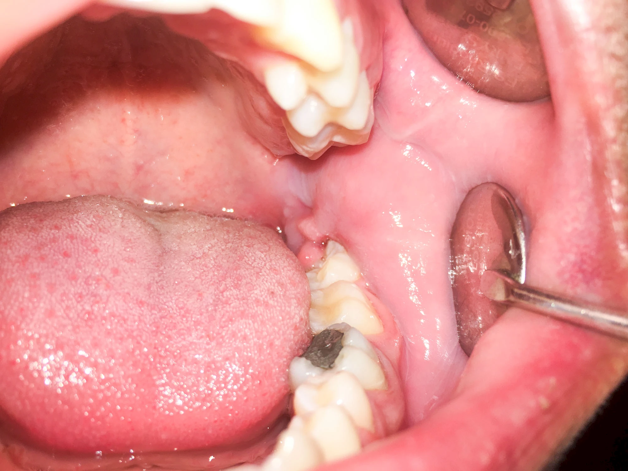
Sonderform: Schlupfwinkelinfektion
Im Laufe der menschlichen Entwicklung haben sich die Kiefer aufgrund unserer Nahrungsumstellung rückgebildet. Die Weisheitszähne haben daher oft keinen Platz mehr. Bei ca. 30 % der Menschen sind diese Zähne schon gar nicht mehr angelegt. Zum Teil liegen die Zähne versteckt (retiniert) im Kiefer und sind nicht sichtbar. Hin und wieder brechen die Zähne zwar durch die Schleimhaut, aber nicht vollständig – es handelt sich um einen erschwerten Zahndurchbruch (dentitio difficilis). Dann sind die Zähne noch teilweise bedeckt von einer "Schleimhautkapuze". Gehen hier Speisereste und Bakterien unter die Schleimhautkapuze kann sich eine sogenannte Schlupfwinkelinfektion bilden. Diese Entzündungen treten spontan auf, sind häufig sehr schmerzhaft und die Mundöffnung ist eingeschränkt. Hier ist umgehend der Zahnarzt zu kontaktieren.
Immunseneszenz & persisitierende Keime
Im Alter lässt die Leistungsfähigkeit des Immunsystems nach. Chronische Erkrankungen nehmen unter anderem durch die ausbleibende Reifung der T-Lymphozyten in Folge der Thymusalterung sowie der gesteigerten Ausschüttung von proinflammatorischen Zytokinen zu. Die vermehrte Freisetzung von Radikalen in den Zellen (oxidativer Stress) hat zudem einen negativen Einfuss auf die Ablesefähigkeit proteincodierter Genabschnitte. Die Folge ist eine sogenannte Dysbiose – eine Gleichgewichtsstörung der bakteriellen Zusammensetzung der Biofilme im menschlichen Organismus und in der Folge kommt es zur Stoffwechselentzündung (Metaflammation). Die individuelle Immunreaktion – so viel ist heute klar – spielt mit die größte Rolle – auch bei der Entwicklung der Parodontitis.
Selbst die gründlichste Reinigung der Mundhöhle (Full mouth desinfection) schafft es nicht, alle Bakterien in den Poren der Zähne, auf der Zunge und den Schleimhäuten zu eliminieren.
Um so wichtiger ist es, durch tägliche Mundpflege den Körper und das Immunsystem dabei zu unterstützen, die Keimbelastung täglich so weit es geht zu senken.
Diese Seite wurde zuletzt am 17.10.2025 geändert.